MPIG6B Gene-Related Myelofibrosis: A Rare Inherited Disease That Is Frequently Described in Arab Population.

Avicenna Journal of Medicine Pub Date : 2024-02-23 eCollection Date: 2024-01-01 DOI:10.1055/s-0044-1779697
Leen Jihad Attar, Almothana Alelaimat, Alaa Alshorman, Tariq N Aladily
{"title":"MPIG6B Gene-Related Myelofibrosis: A Rare Inherited Disease That Is Frequently Described in Arab Population.","authors":"Leen Jihad Attar, Almothana Alelaimat, Alaa Alshorman, Tariq N Aladily","doi":"10.1055/s-0044-1779697","DOIUrl":null,"url":null,"abstract":"<p><p>The megakaryocyte and platelet inhibitory receptor gene G6P (MPIG6B) is located on chromosome 6p21.33. It encodes G6b-B; an inhibitory receptor expressed on the surface of platelets. It regulates platelets production, aggregation, and activation. We describe a case of a 31-year-old man who presented with a long history of thrombocytopenia, anemia, and hepatosplenomegaly. The patient received multiple blood transfusions and his clinical course was stable. A bone marrow biopsy showed morphologic features similar to primary myelofibrosis. Whole exome sequencing study was performed and revealed homozygous pathogenic mutation in exon 2 of MPIG6B gene (c.324C > A, p.Cys108Ter) that is the second reported case in literature. In this report, we describe the main clinical and pathologic features of this disease and review the literature of previously documented cases.</p>","PeriodicalId":32889,"journal":{"name":"Avicenna Journal of Medicine","volume":"14 1","pages":"69-72"},"PeriodicalIF":0.0000,"publicationDate":"2024-02-23","publicationTypes":"Journal Article","fieldsOfStudy":null,"isOpenAccess":false,"openAccessPdf":"https://www.ncbi.nlm.nih.gov/pmc/articles/PMC11057892/pdf/","citationCount":"0","resultStr":null,"platform":"Semanticscholar","paperid":null,"PeriodicalName":"Avicenna Journal of Medicine","FirstCategoryId":"1085","ListUrlMain":"https://doi.org/10.1055/s-0044-1779697","RegionNum":0,"RegionCategory":null,"ArticlePicture":[],"TitleCN":null,"AbstractTextCN":null,"PMCID":null,"EPubDate":"2024/1/1 0:00:00","PubModel":"eCollection","JCR":"","JCRName":"","Score":null,"Total":0}
引用次数: 0

Abstract

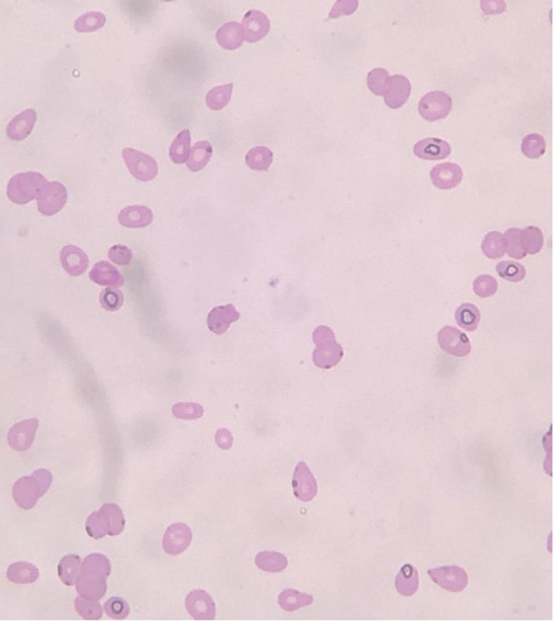
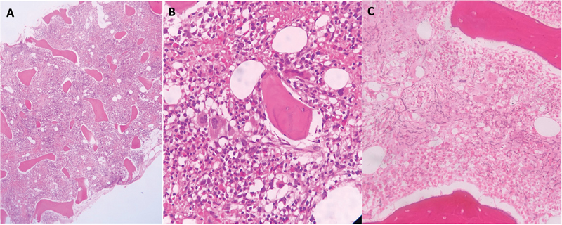
The megakaryocyte and platelet inhibitory receptor gene G6P (MPIG6B) is located on chromosome 6p21.33. It encodes G6b-B; an inhibitory receptor expressed on the surface of platelets. It regulates platelets production, aggregation, and activation. We describe a case of a 31-year-old man who presented with a long history of thrombocytopenia, anemia, and hepatosplenomegaly. The patient received multiple blood transfusions and his clinical course was stable. A bone marrow biopsy showed morphologic features similar to primary myelofibrosis. Whole exome sequencing study was performed and revealed homozygous pathogenic mutation in exon 2 of MPIG6B gene (c.324C > A, p.Cys108Ter) that is the second reported case in literature. In this report, we describe the main clinical and pathologic features of this disease and review the literature of previously documented cases.

Abstract Image

Abstract Image

MPIG6B基因相关骨髓纤维化:阿拉伯人群中常见的罕见遗传病
巨核细胞和血小板抑制受体基因 G6P(MPIG6B)位于染色体 6p21.33。它编码 G6b-B,这是一种表达在血小板表面的抑制性受体。它能调节血小板的生成、聚集和活化。我们描述了一例 31 岁男性患者的病例,他有长期的血小板减少、贫血和肝脾肿大病史。患者接受了多次输血,临床病程稳定。骨髓活检显示其形态特征与原发性骨髓纤维化相似。进行了全外显子组测序研究,发现 MPIG6B 基因第 2 外显子存在同基因致病性突变(c.324C > A, p.Cys108Ter),这是文献中报道的第二个病例。在本报告中,我们描述了该病的主要临床和病理特征,并回顾了以往有文献记载的病例。
本文章由计算机程序翻译,如有差异,请以英文原文为准。
求助全文
约1分钟内获得全文 求助全文
来源期刊
自引率
0.00%
发文量
28
审稿时长
26 weeks
×
引用
GB/T 7714-2015
复制
MLA
复制
APA
复制
导出至
BibTeX EndNote RefMan NoteFirst NoteExpress
×
提示
您的信息不完整,为了账户安全,请先补充。
现在去补充
×
提示
您因"违规操作"
具体请查看互助需知
我知道了
×
提示
确定
请完成安全验证×
copy
已复制链接
快去分享给好友吧!
我知道了
右上角分享
点击右上角分享
0
联系我们:info@booksci.cn Book学术提供免费学术资源搜索服务,方便国内外学者检索中英文文献。致力于提供最便捷和优质的服务体验。 Copyright © 2023 布克学术 All rights reserved.
京ICP备2023020795号-1
ghs 京公网安备 11010802042870号
Book学术文献互助
Book学术文献互助群
群 号:604180095
Book学术官方微信