Middle Meningeal Artery Embolization in Acute Leukemia Patients Presenting With Subdural Hematoma.

IF 1.3 Q4 HEMATOLOGY
Journal of hematology Pub Date : 2024-04-01 Epub Date: 2024-01-10 DOI:10.14740/jh1215
Binoy Yohannan, Juan Carlos Martinez Gutierrez, Peng Roc Chen, Adan Rios
{"title":"Middle Meningeal Artery Embolization in Acute Leukemia Patients Presenting With Subdural Hematoma.","authors":"Binoy Yohannan, Juan Carlos Martinez Gutierrez, Peng Roc Chen, Adan Rios","doi":"10.14740/jh1215","DOIUrl":null,"url":null,"abstract":"<p><p>Intracerebral hemorrhage is a potentially fatal complication in patients with acute leukemia and contributing factors include thrombocytopenia and coagulopathy. Patients with acute leukemia may develop subdural hematoma (SDH) spontaneously or secondary to trauma. In patients with acute leukemia and SDH, the surgical evacuation of the hematoma causes significant morbidity and mortality. New approaches and strategies to reduce the need for surgical evacuation are needed to improve outcomes in patients with acute leukemia and intracerebral hemorrhage. We report two cases of acute SDH in patients with acute leukemia successfully treated with middle meningeal artery embolization, a minimally invasive interventional radiology technique, obviating the need for a surgical intervention. The first patient with acute promyelocytic leukemia (APL) presented with coagulopathy and developed an acute SDH after a fall. The second patient with acute myeloid leukemia presented with gum bleeding and also sustained an acute SDH after a fall. Both patients underwent middle meningeal artery embolization for treating their SDHs while actively receiving induction chemotherapy for acute leukemia. Both patients had resolution of their acute SDH and are in remission from their acute leukemia. Middle meningeal artery embolization is a very effective, and within the context of this setting, a novel, minimally invasive technique for management of SDH in acute leukemia patients, which can prevent the need for surgical interventions with its associated comorbidities and high risk of fatal outcomes in patients with acute leukemia and acute SDH.</p>","PeriodicalId":15964,"journal":{"name":"Journal of hematology","volume":"13 1-2","pages":"39-45"},"PeriodicalIF":1.3000,"publicationDate":"2024-04-01","publicationTypes":"Journal Article","fieldsOfStudy":null,"isOpenAccess":false,"openAccessPdf":"https://www.ncbi.nlm.nih.gov/pmc/articles/PMC11027772/pdf/","citationCount":"0","resultStr":null,"platform":"Semanticscholar","paperid":null,"PeriodicalName":"Journal of hematology","FirstCategoryId":"1085","ListUrlMain":"https://doi.org/10.14740/jh1215","RegionNum":0,"RegionCategory":null,"ArticlePicture":[],"TitleCN":null,"AbstractTextCN":null,"PMCID":null,"EPubDate":"2024/1/10 0:00:00","PubModel":"Epub","JCR":"Q4","JCRName":"HEMATOLOGY","Score":null,"Total":0}
引用次数: 0

Abstract

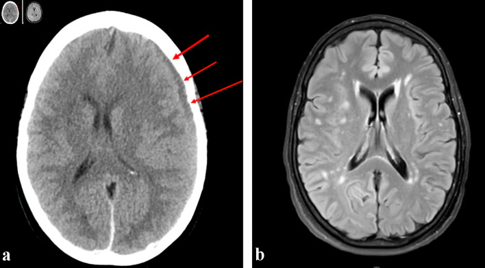
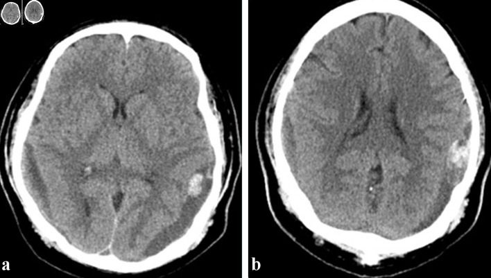
Intracerebral hemorrhage is a potentially fatal complication in patients with acute leukemia and contributing factors include thrombocytopenia and coagulopathy. Patients with acute leukemia may develop subdural hematoma (SDH) spontaneously or secondary to trauma. In patients with acute leukemia and SDH, the surgical evacuation of the hematoma causes significant morbidity and mortality. New approaches and strategies to reduce the need for surgical evacuation are needed to improve outcomes in patients with acute leukemia and intracerebral hemorrhage. We report two cases of acute SDH in patients with acute leukemia successfully treated with middle meningeal artery embolization, a minimally invasive interventional radiology technique, obviating the need for a surgical intervention. The first patient with acute promyelocytic leukemia (APL) presented with coagulopathy and developed an acute SDH after a fall. The second patient with acute myeloid leukemia presented with gum bleeding and also sustained an acute SDH after a fall. Both patients underwent middle meningeal artery embolization for treating their SDHs while actively receiving induction chemotherapy for acute leukemia. Both patients had resolution of their acute SDH and are in remission from their acute leukemia. Middle meningeal artery embolization is a very effective, and within the context of this setting, a novel, minimally invasive technique for management of SDH in acute leukemia patients, which can prevent the need for surgical interventions with its associated comorbidities and high risk of fatal outcomes in patients with acute leukemia and acute SDH.

Abstract Image

Abstract Image

Abstract Image

急性白血病患者出现硬膜下血肿时的中脑膜动脉栓塞术
脑出血是急性白血病患者的一种潜在致命并发症,诱因包括血小板减少和凝血功能障碍。急性白血病患者可能自发或因外伤继发硬膜下血肿(SDH)。对于急性白血病合并 SDH 的患者,手术清除血肿会导致严重的发病率和死亡率。为了改善急性白血病合并脑内出血患者的预后,我们需要新的方法和策略来减少手术清除血肿的需要。我们报告了两例急性白血病患者的急性SDH病例,这两例患者均成功接受了脑膜中动脉栓塞治疗,这是一种微创介入放射学技术,避免了手术干预的需要。第一例急性早幼粒细胞白血病(APL)患者出现凝血功能障碍,摔倒后出现急性 SDH。第二名急性髓细胞白血病患者出现牙龈出血,也是在摔倒后出现急性 SDH。这两名患者在积极接受急性白血病诱导化疗的同时,都接受了脑膜中动脉栓塞治疗。两名患者的急性 SDH 均已缓解,急性白血病也得到了缓解。脑膜中动脉栓塞术是一种非常有效的治疗急性白血病患者SDH的新型微创技术,在这种情况下,它可以避免急性白血病合并急性SDH患者因手术治疗而产生的并发症和致命后果的高风险。
本文章由计算机程序翻译,如有差异,请以英文原文为准。
求助全文
约1分钟内获得全文 求助全文
来源期刊
Journal of hematology
Journal of hematology HEMATOLOGY-
自引率
0.00%
发文量
29
×
引用
GB/T 7714-2015
复制
MLA
复制
APA
复制
导出至
BibTeX EndNote RefMan NoteFirst NoteExpress
×
提示
您的信息不完整,为了账户安全,请先补充。
现在去补充
×
提示
您因"违规操作"
具体请查看互助需知
我知道了
×
提示
确定
请完成安全验证×
copy
已复制链接
快去分享给好友吧!
我知道了
右上角分享
点击右上角分享
0
联系我们:info@booksci.cn Book学术提供免费学术资源搜索服务,方便国内外学者检索中英文文献。致力于提供最便捷和优质的服务体验。 Copyright © 2023 布克学术 All rights reserved.
京ICP备2023020795号-1
ghs 京公网安备 11010802042870号
Book学术文献互助
Book学术文献互助群
群 号:604180095
Book学术官方微信