Estimation of Diameter of Quadrupled Hamstring Graft for ACL Reconstruction using Pre-operative MRI Measurement as a Predictive Tool.

IF 0.6 Q4 ORTHOPEDICS
R S Kuruvilla, C Gunasekaran, T S Jepegnanam, M Kandagaddala, J Panwar
{"title":"Estimation of Diameter of Quadrupled Hamstring Graft for ACL Reconstruction using Pre-operative MRI Measurement as a Predictive Tool.","authors":"R S Kuruvilla, C Gunasekaran, T S Jepegnanam, M Kandagaddala, J Panwar","doi":"10.5704/MOJ.2403.012","DOIUrl":null,"url":null,"abstract":"<p><strong>Introduction: </strong>The diameter of the quadrupled Hamstring graft plays a significant role in the incidence of graft failures for ACL reconstruction. The ability to predict the graft size pre-operatively can prepare the surgeon for alternatives in the event of an inadequate graft diameter.</p><p><strong>Materials and methods: </strong>We retrospectively measured the diameter of the Semitendinosus tendon (ST) on the MRI in all patients who underwent arthroscopic ACL reconstruction using quadrupled Semitendinosus as their graft. We also estimated any correlation between various anthropometric data with pre-operative MRI based Cross Sectional Area (CSA) of the Hamstring tendon and final graft diameter in the South Asian population. The patients were included from Jan 2018 - Dec 2020.</p><p><strong>Results: </strong>The minimum CSA of ST to predict an eventual graft diameter of 7.5mm was 10.7mm2. The MRI based cross-sectional area measurement showed moderate correlation with the intra-operative graft diameter obtained. (r=0.62, p<0.001). The intra-class correlation coefficient between the radiologist and the surgeon was 0.82, 95% CI (0.57, 0.92) and a p-value <0.001.</p><p><strong>Conclusion: </strong>Pre-operative MRI can be a useful tool to predict the graft diameter. This coupled with the anthropometric data of the patient can be used as an adjunct to estimate the probable graft diameter. Thus, the surgeon can be better prepared for the surgery and can seek alternate graft options if the graft size is deemed inadequate pre-operatively.</p>","PeriodicalId":45241,"journal":{"name":"Malaysian Orthopaedic Journal","volume":"18 1","pages":"91-98"},"PeriodicalIF":0.6000,"publicationDate":"2024-03-01","publicationTypes":"Journal Article","fieldsOfStudy":null,"isOpenAccess":false,"openAccessPdf":"https://www.ncbi.nlm.nih.gov/pmc/articles/PMC11023349/pdf/","citationCount":"0","resultStr":null,"platform":"Semanticscholar","paperid":null,"PeriodicalName":"Malaysian Orthopaedic Journal","FirstCategoryId":"1085","ListUrlMain":"https://doi.org/10.5704/MOJ.2403.012","RegionNum":0,"RegionCategory":null,"ArticlePicture":[],"TitleCN":null,"AbstractTextCN":null,"PMCID":null,"EPubDate":"","PubModel":"","JCR":"Q4","JCRName":"ORTHOPEDICS","Score":null,"Total":0}
引用次数: 0

Abstract

Introduction: The diameter of the quadrupled Hamstring graft plays a significant role in the incidence of graft failures for ACL reconstruction. The ability to predict the graft size pre-operatively can prepare the surgeon for alternatives in the event of an inadequate graft diameter.

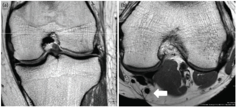
Materials and methods: We retrospectively measured the diameter of the Semitendinosus tendon (ST) on the MRI in all patients who underwent arthroscopic ACL reconstruction using quadrupled Semitendinosus as their graft. We also estimated any correlation between various anthropometric data with pre-operative MRI based Cross Sectional Area (CSA) of the Hamstring tendon and final graft diameter in the South Asian population. The patients were included from Jan 2018 - Dec 2020.

Results: The minimum CSA of ST to predict an eventual graft diameter of 7.5mm was 10.7mm2. The MRI based cross-sectional area measurement showed moderate correlation with the intra-operative graft diameter obtained. (r=0.62, p<0.001). The intra-class correlation coefficient between the radiologist and the surgeon was 0.82, 95% CI (0.57, 0.92) and a p-value <0.001.

Conclusion: Pre-operative MRI can be a useful tool to predict the graft diameter. This coupled with the anthropometric data of the patient can be used as an adjunct to estimate the probable graft diameter. Thus, the surgeon can be better prepared for the surgery and can seek alternate graft options if the graft size is deemed inadequate pre-operatively.

Abstract Image

Abstract Image

Abstract Image

利用术前磁共振成像测量作为预测工具,估算用于前交叉韧带重建的四股腘绳肌移植物的直径。
简介:四股腘绳肌移植物的直径在前交叉韧带重建的移植物失败率中起着重要作用。术前预测移植物大小的能力可为外科医生在移植物直径不足时采取替代方案做好准备:我们回顾性地测量了所有接受关节镜前交叉韧带重建术、使用四倍半腱肌作为移植物的患者在核磁共振成像上的半腱肌腱(ST)直径。我们还估算了南亚人群中各种人体测量数据与术前基于 MRI 的腘绳肌腱横截面积(CSA)和最终移植物直径之间的相关性。患者纳入时间为2018年1月至2020年12月:预测最终移植物直径为7.5毫米的ST最小CSA为10.7平方毫米。基于磁共振成像的横截面积测量结果与术中获得的移植物直径显示出适度的相关性。(r=0.62,p结论:术前磁共振成像是预测移植物直径的有用工具。再加上患者的人体测量数据,可以作为辅助工具来估计可能的移植物直径。因此,外科医生可以为手术做好更充分的准备,如果术前认为移植物的大小不够,还可以寻求其他移植物方案。
本文章由计算机程序翻译,如有差异,请以英文原文为准。
求助全文
约1分钟内获得全文 求助全文
来源期刊
CiteScore
1.30
自引率
0.00%
发文量
104
审稿时长
24 weeks
期刊介绍: The Malaysian Orthopaedic Journal is a peer-reviewed journal that publishes original papers and case reports three times a year in both printed and electronic version. The purpose of MOJ is to disseminate new knowledge and provide updates in Orthopaedics, trauma and musculoskeletal research. It is an Open Access journal that does not require processing fee or article processing charge from the authors. The Malaysian Orthopaedic Journal is the official journal of Malaysian Orthopaedic Association (MOA) and ASEAN Orthopaedic Association (AOA).
×
引用
GB/T 7714-2015
复制
MLA
复制
APA
复制
导出至
BibTeX EndNote RefMan NoteFirst NoteExpress
×
提示
您的信息不完整,为了账户安全,请先补充。
现在去补充
×
提示
您因"违规操作"
具体请查看互助需知
我知道了
×
提示
确定
请完成安全验证×
copy
已复制链接
快去分享给好友吧!
我知道了
右上角分享
点击右上角分享
0
联系我们:info@booksci.cn Book学术提供免费学术资源搜索服务,方便国内外学者检索中英文文献。致力于提供最便捷和优质的服务体验。 Copyright © 2023 布克学术 All rights reserved.
京ICP备2023020795号-1
ghs 京公网安备 11010802042870号
Book学术文献互助
Book学术文献互助群
群 号:604180095
Book学术官方微信