Pancreatic Parenchymal Atrophy and Pancreatic Fat Accumulation Measured by Multidetector Computed Tomography as a Stable Marker of Chronic Progressive Type 2 Diabetes Mellitus-A Cross Sectional Observational Study.

Avicenna Journal of Medicine Pub Date : 2024-02-27 eCollection Date: 2024-01-01 DOI:10.1055/s-0044-1779667
Kshipra Devadiga, Khanak K Nandolia, Mahendra Singh, Pankaj Sharma, Udit Chauhan, Ravi Kant
{"title":"Pancreatic Parenchymal Atrophy and Pancreatic Fat Accumulation Measured by Multidetector Computed Tomography as a Stable Marker of Chronic Progressive Type 2 Diabetes Mellitus-A Cross Sectional Observational Study.","authors":"Kshipra Devadiga, Khanak K Nandolia, Mahendra Singh, Pankaj Sharma, Udit Chauhan, Ravi Kant","doi":"10.1055/s-0044-1779667","DOIUrl":null,"url":null,"abstract":"<p><p><b>Background</b>  The most crucial step in the management of type 2 diabetes is identifying its pathogenesis and progression. Fat accumulation in the pancreas and decreased parenchymal volume can influence pancreatic function due to insulin resistance or β-cell dysfunction. This study aims to find out the difference in pancreatic volume and fat content by using contrast-enhanced computed tomography (CECT) between normal subjects and patients with different durations of type 2 diabetes mellitus (T2DM). <b>Methods</b>  This was a cross-sectional study. Patients who underwent CECT abdomen for the evaluation of conditions other than pancreatic origin were included. The study group was divided into three subgroups according to the duration of diabetes as <5 years, 5 to 10 years, and >10 years. In total, 40 nondiabetic controls were included. Pancreatic fat volume and parenchymal volume were measured in cm <sup>3</sup> using CECT. Correlation between pancreatic parenchymal and fat volume with the duration of T2DM as well as with levels of hemoglobin A1c, random blood sugar, serum triglyceride, low-density lipoproteins, and high-density lipoproteins was done. <b>Results</b>  T2DM patients had significantly ( <i>p</i>  < 0.001) lower pancreatic parenchymal volume (mean value of 57.08 ± 8.26 cm <sup>3</sup> in diabetics and 72.23 ± 3.41 cm <sup>3</sup> in controls) and higher pancreatic fat volume (mean value of 3.08 ± 1.90 cm <sup>3</sup> in diabetics and 0.67 ± 0.27cm <sup>3</sup> in controls) as compared to nondiabetic controls. In patients with T2DM, as the duration of T2DM increased, pancreatic parenchymal volume decreased and pancreatic fat volume increased. <b>Conclusion</b>  Reduction in pancreatic volume and fat deposition may have a role in the onset and progression of diabetes. Determining the pancreatic volume and fat content would be useful for identifying high-risk patients and determining the pathogenesis of the development of diabetes.</p>","PeriodicalId":32889,"journal":{"name":"Avicenna Journal of Medicine","volume":"14 1","pages":"60-68"},"PeriodicalIF":0.0000,"publicationDate":"2024-02-27","publicationTypes":"Journal Article","fieldsOfStudy":null,"isOpenAccess":false,"openAccessPdf":"https://www.ncbi.nlm.nih.gov/pmc/articles/PMC11057896/pdf/","citationCount":"0","resultStr":null,"platform":"Semanticscholar","paperid":null,"PeriodicalName":"Avicenna Journal of Medicine","FirstCategoryId":"1085","ListUrlMain":"https://doi.org/10.1055/s-0044-1779667","RegionNum":0,"RegionCategory":null,"ArticlePicture":[],"TitleCN":null,"AbstractTextCN":null,"PMCID":null,"EPubDate":"2024/1/1 0:00:00","PubModel":"eCollection","JCR":"","JCRName":"","Score":null,"Total":0}
引用次数: 0

Abstract

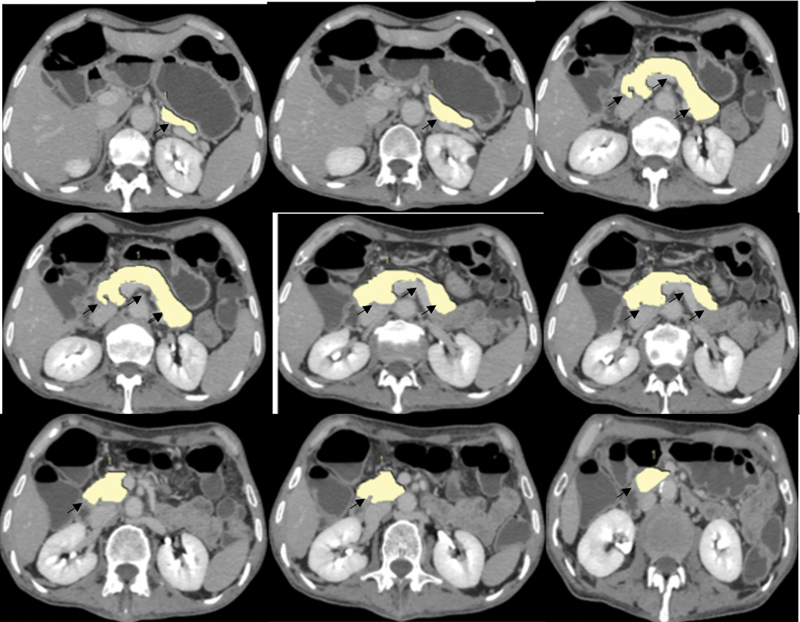
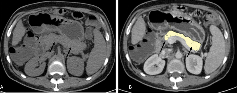
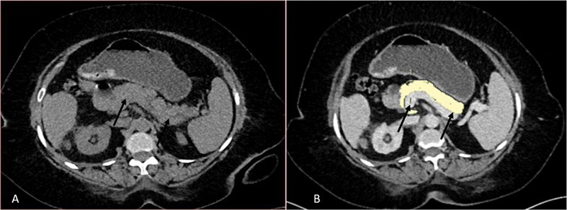
Background  The most crucial step in the management of type 2 diabetes is identifying its pathogenesis and progression. Fat accumulation in the pancreas and decreased parenchymal volume can influence pancreatic function due to insulin resistance or β-cell dysfunction. This study aims to find out the difference in pancreatic volume and fat content by using contrast-enhanced computed tomography (CECT) between normal subjects and patients with different durations of type 2 diabetes mellitus (T2DM). Methods  This was a cross-sectional study. Patients who underwent CECT abdomen for the evaluation of conditions other than pancreatic origin were included. The study group was divided into three subgroups according to the duration of diabetes as <5 years, 5 to 10 years, and >10 years. In total, 40 nondiabetic controls were included. Pancreatic fat volume and parenchymal volume were measured in cm 3 using CECT. Correlation between pancreatic parenchymal and fat volume with the duration of T2DM as well as with levels of hemoglobin A1c, random blood sugar, serum triglyceride, low-density lipoproteins, and high-density lipoproteins was done. Results  T2DM patients had significantly ( p  < 0.001) lower pancreatic parenchymal volume (mean value of 57.08 ± 8.26 cm 3 in diabetics and 72.23 ± 3.41 cm 3 in controls) and higher pancreatic fat volume (mean value of 3.08 ± 1.90 cm 3 in diabetics and 0.67 ± 0.27cm 3 in controls) as compared to nondiabetic controls. In patients with T2DM, as the duration of T2DM increased, pancreatic parenchymal volume decreased and pancreatic fat volume increased. Conclusion  Reduction in pancreatic volume and fat deposition may have a role in the onset and progression of diabetes. Determining the pancreatic volume and fat content would be useful for identifying high-risk patients and determining the pathogenesis of the development of diabetes.

Abstract Image

Abstract Image

Abstract Image

多载体计算机断层扫描测量的胰腺实质萎缩和胰腺脂肪堆积是慢性进展型 2 型糖尿病的稳定标志--一项横断面观察研究
背景 2型糖尿病治疗中最关键的一步是确定其发病机制和进展。由于胰岛素抵抗或β细胞功能障碍,胰腺中的脂肪堆积和实质体积减少会影响胰腺功能。本研究旨在通过对比增强计算机断层扫描(CECT)找出正常人与不同病程的 2 型糖尿病(T2DM)患者之间胰腺体积和脂肪含量的差异。方法 这是一项横断面研究。研究对象包括接受腹部 CECT 检查以评估胰腺以外疾病的患者。研究组按糖尿病病程 10 年分为三个亚组。共纳入 40 名非糖尿病对照者。使用 CECT 测量胰腺脂肪体积和实质体积,单位为厘米 3。胰腺实质和脂肪体积与 T2DM 病程以及血红蛋白 A1c、随机血糖、血清甘油三酯、低密度脂蛋白和高密度脂蛋白水平之间存在相关性。结果 与非糖尿病对照组相比,T2DM 患者的胰腺脂肪体积(糖尿病患者为 3.08 ± 1.90 cm 3,对照组为 0.67 ± 0.27 cm 3)明显增大(p 3,对照组为 72.23 ± 3.41 cm 3),胰腺脂肪体积也明显增大(糖尿病患者为 3.08 ± 1.90 cm 3,对照组为 0.67 ± 0.27 cm 3)。在 T2DM 患者中,随着 T2DM 病程的延长,胰腺实质体积减少,胰腺脂肪体积增加。结论 胰腺体积和脂肪沉积的减少可能与糖尿病的发病和进展有关。测定胰腺体积和脂肪含量有助于识别高危患者和确定糖尿病的发病机制。
本文章由计算机程序翻译,如有差异,请以英文原文为准。
求助全文
约1分钟内获得全文 求助全文
来源期刊
自引率
0.00%
发文量
28
审稿时长
26 weeks
×
引用
GB/T 7714-2015
复制
MLA
复制
APA
复制
导出至
BibTeX EndNote RefMan NoteFirst NoteExpress
×
提示
您的信息不完整,为了账户安全,请先补充。
现在去补充
×
提示
您因"违规操作"
具体请查看互助需知
我知道了
×
提示
确定
请完成安全验证×
copy
已复制链接
快去分享给好友吧!
我知道了
右上角分享
点击右上角分享
0
联系我们:info@booksci.cn Book学术提供免费学术资源搜索服务,方便国内外学者检索中英文文献。致力于提供最便捷和优质的服务体验。 Copyright © 2023 布克学术 All rights reserved.
京ICP备2023020795号-1
ghs 京公网安备 11010802042870号
Book学术文献互助
Book学术文献互助群
群 号:604180095
Book学术官方微信