Uncommon Presentation of Sarcoidosis with Severe Thrombocytopenia and Hemorrhagic Diathesis.

IF 1.2 Q4 HEMATOLOGY
Dorela Lame, Michelangelo Pianelli, Shahram Kordasti, Erika Morsia, Attilio Olivieri, Antonella Poloni
{"title":"Uncommon Presentation of Sarcoidosis with Severe Thrombocytopenia and Hemorrhagic Diathesis.","authors":"Dorela Lame, Michelangelo Pianelli, Shahram Kordasti, Erika Morsia, Attilio Olivieri, Antonella Poloni","doi":"10.3390/hematolrep16010013","DOIUrl":null,"url":null,"abstract":"<p><p>Sarcoidosis, a multi-organ system disease, often presents insidiously. Thrombocytopenia in sarcoidosis is frequent because of hypersplenism, granulomas infiltrating the bone marrow, or immune thrombocytopenia (ITP). The diagnosis of ITP relies on exclusionary criteria, given the absence of a definitive laboratory diagnostic feature. In the era prior to modern ITP management, sarcoidosis-associated ITP was known to manifest severely, often showing resistance to treatment and an increased risk of mortality. In this case, we present a young male who was admitted to a district hospital's emergency room, displaying symptoms of hematuria, gingival bleeding, and a petechial rash. Blood tests revealed severe thrombocytopenia with a platelet count of 0, while all other metabolic and serological exams returned normal results. Infectious and autoimmune causes were ruled out, and a bone marrow examination excluded any hematological disorder. Initial management, including platelet transfusion and presumptive treatment for ITP with dexamethasone and Human Immunoglobulin IV (IVIG), failed to improve the patient's platelet count or alleviate the hemorrhagic diathesis. Second-line therapy with Rituximab and Methylprednisolone was initiated with no benefit. Considering the hemorrhagic signs and the delayed response of Rituximab, we shifted to third-line therapy with Romiplostim at the maximal dose and continued Methylprednisolone. The platelet count recovered completely after the second Romiplostim administration (over 350 × 10<sup>9</sup> platelets/L) and Methylprednisolone was rapidly tapered. To further study the causes of thrombocytopenia a total body CT scan was performed and it identified non-homogeneously hypodense tissue in the bilateral hilar area extending medially to the subcarinal area, suggesting possible lymphatic origin and raising suspicion of sarcoidosis. Further investigations, including Angiotensin Converting Enzyme (ACE) titration, bronchoscopy, bronchoalveolar lavage, and EndoBronchial UltraSound-guided TransBronchial Needle Aspiration (EBUS-TBNA), confirmed the diagnosis of sarcoidosis. Despite a mild restrictive insufficiency noted in spirometry, the patient remained asymptomatic with only a mild respiratory insufficiency, and hence, was enlisted for follow-up. As for the ITP, the platelet count remained normal over a year. Notably, while sarcoidosis onset often predates ITP onset by an average of 48 months, in our case the onset of the two diseases was simultaneously. Our case adds valuable information to the limited body of knowledge regarding the treatment of sarcoidosis-associated ITP.</p>","PeriodicalId":12829,"journal":{"name":"Hematology Reports","volume":"16 1","pages":"125-131"},"PeriodicalIF":1.2000,"publicationDate":"2024-03-04","publicationTypes":"Journal Article","fieldsOfStudy":null,"isOpenAccess":false,"openAccessPdf":"https://www.ncbi.nlm.nih.gov/pmc/articles/PMC10970292/pdf/","citationCount":"0","resultStr":null,"platform":"Semanticscholar","paperid":null,"PeriodicalName":"Hematology Reports","FirstCategoryId":"1085","ListUrlMain":"https://doi.org/10.3390/hematolrep16010013","RegionNum":0,"RegionCategory":null,"ArticlePicture":[],"TitleCN":null,"AbstractTextCN":null,"PMCID":null,"EPubDate":"","PubModel":"","JCR":"Q4","JCRName":"HEMATOLOGY","Score":null,"Total":0}
引用次数: 0

Abstract

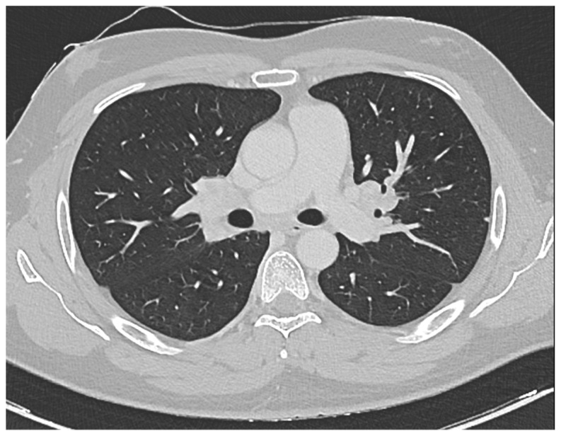
Sarcoidosis, a multi-organ system disease, often presents insidiously. Thrombocytopenia in sarcoidosis is frequent because of hypersplenism, granulomas infiltrating the bone marrow, or immune thrombocytopenia (ITP). The diagnosis of ITP relies on exclusionary criteria, given the absence of a definitive laboratory diagnostic feature. In the era prior to modern ITP management, sarcoidosis-associated ITP was known to manifest severely, often showing resistance to treatment and an increased risk of mortality. In this case, we present a young male who was admitted to a district hospital's emergency room, displaying symptoms of hematuria, gingival bleeding, and a petechial rash. Blood tests revealed severe thrombocytopenia with a platelet count of 0, while all other metabolic and serological exams returned normal results. Infectious and autoimmune causes were ruled out, and a bone marrow examination excluded any hematological disorder. Initial management, including platelet transfusion and presumptive treatment for ITP with dexamethasone and Human Immunoglobulin IV (IVIG), failed to improve the patient's platelet count or alleviate the hemorrhagic diathesis. Second-line therapy with Rituximab and Methylprednisolone was initiated with no benefit. Considering the hemorrhagic signs and the delayed response of Rituximab, we shifted to third-line therapy with Romiplostim at the maximal dose and continued Methylprednisolone. The platelet count recovered completely after the second Romiplostim administration (over 350 × 109 platelets/L) and Methylprednisolone was rapidly tapered. To further study the causes of thrombocytopenia a total body CT scan was performed and it identified non-homogeneously hypodense tissue in the bilateral hilar area extending medially to the subcarinal area, suggesting possible lymphatic origin and raising suspicion of sarcoidosis. Further investigations, including Angiotensin Converting Enzyme (ACE) titration, bronchoscopy, bronchoalveolar lavage, and EndoBronchial UltraSound-guided TransBronchial Needle Aspiration (EBUS-TBNA), confirmed the diagnosis of sarcoidosis. Despite a mild restrictive insufficiency noted in spirometry, the patient remained asymptomatic with only a mild respiratory insufficiency, and hence, was enlisted for follow-up. As for the ITP, the platelet count remained normal over a year. Notably, while sarcoidosis onset often predates ITP onset by an average of 48 months, in our case the onset of the two diseases was simultaneously. Our case adds valuable information to the limited body of knowledge regarding the treatment of sarcoidosis-associated ITP.

Abstract Image

Abstract Image

肉样瘤病伴有严重血小板减少和出血症状的罕见表现。
肉样瘤病是一种多器官系统疾病,常常隐匿发病。由于脾功能亢进、骨髓肉芽肿浸润或免疫性血小板减少症(ITP),肉样瘤病中经常出现血小板减少症。由于缺乏明确的实验室诊断特征,ITP 的诊断依赖于排除性标准。在现代 ITP 治疗之前的时代,肉样瘤病相关的 ITP 表现严重,常常表现出抗药性,死亡风险增加。在本病例中,我们介绍了一名在地区医院急诊室住院的年轻男性,他表现出血尿、牙龈出血和瘀点皮疹等症状。血液化验显示血小板严重减少,血小板计数为 0,而其他代谢和血清学检查结果均正常。排除了感染和自身免疫原因,骨髓检查排除了任何血液病。最初的治疗包括输注血小板以及使用地塞米松和人免疫球蛋白IV(IVIG)对ITP进行假定性治疗,但未能改善患者的血小板计数或缓解出血症状。开始使用利妥昔单抗和甲泼尼龙进行二线治疗,但没有任何效果。考虑到出血症状和利妥昔单抗的延迟反应,我们转而使用最大剂量的罗米波司汀进行三线治疗,并继续使用甲泼尼龙。第二次使用 Romiplostim 后,血小板计数完全恢复(超过 350 × 109 个血小板/升),甲基强的松龙也迅速减量。为了进一步研究血小板减少症的病因,患者接受了全身 CT 扫描,结果发现双侧肝区有非均质性低密度组织,向内侧延伸至心包下区,这表明可能存在淋巴来源,并引起了对肉样瘤病的怀疑。进一步的检查,包括血管紧张素转换酶(ACE)滴定、支气管镜检查、支气管肺泡灌洗和支气管内超声引导下经支气管针吸术(EBUS-TBNA),证实了肉样瘤病的诊断。尽管肺活量检查发现患者有轻度限制性呼吸功能不全,但患者仍无症状,仅有轻度呼吸功能不全,因此被要求进行随访。至于 ITP,血小板计数在一年内保持正常。值得注意的是,肉样瘤病的发病时间通常比 ITP 的发病时间平均早 48 个月,而在我们的病例中,两种疾病是同时发病的。我们的病例为治疗肉样瘤病相关 ITP 的有限知识库增添了宝贵的信息。
本文章由计算机程序翻译,如有差异,请以英文原文为准。
求助全文
约1分钟内获得全文 求助全文
来源期刊
Hematology Reports
Hematology Reports HEMATOLOGY-
CiteScore
0.90
自引率
0.00%
发文量
47
审稿时长
10 weeks
×
引用
GB/T 7714-2015
复制
MLA
复制
APA
复制
导出至
BibTeX EndNote RefMan NoteFirst NoteExpress
×
提示
您的信息不完整,为了账户安全,请先补充。
现在去补充
×
提示
您因"违规操作"
具体请查看互助需知
我知道了
×
提示
确定
请完成安全验证×
copy
已复制链接
快去分享给好友吧!
我知道了
右上角分享
点击右上角分享
0
联系我们:info@booksci.cn Book学术提供免费学术资源搜索服务,方便国内外学者检索中英文文献。致力于提供最便捷和优质的服务体验。 Copyright © 2023 布克学术 All rights reserved.
京ICP备2023020795号-1
ghs 京公网安备 11010802042870号
Book学术文献互助
Book学术文献互助群
群 号:604180095
Book学术官方微信