Primary Bone Lymphoma of the Scapula.

IF 1.2 Q4 HEMATOLOGY
Josip Lovaković, Inga Mandac Smoljanović, Andro Matković, Tomislav Smoljanović
{"title":"Primary Bone Lymphoma of the Scapula.","authors":"Josip Lovaković, Inga Mandac Smoljanović, Andro Matković, Tomislav Smoljanović","doi":"10.3390/hematolrep16010011","DOIUrl":null,"url":null,"abstract":"<p><p>Primary bone lymphoma of the scapula is a rare tumor that usually causes local pain. The presented patient suffered for two years from paresthesia, tingling, numbness, and edema of the little and ring fingers. The 45-year-old man underwent several radiological and neurological assessments of the palm, elbow, and neck before radiographs revealed a tumor of the left shoulder. Once diffuse large B-cell lymphoma was confirmed, immunochemotherapy with rituximab, cyclophosphamide, doxorubicin, vincristine, and methylprednisolone (R-CHOP) started. The treatment was accompanied by antiviral treatment with lamivudine due to positive hepatitis B virus serology, specifically anti-HBs (hepatitis B surface) antibody, total anti-HBc (hepatitis B core) antibody, and anti-HBe (hepatitis B e antigen) antibody, together with bisphosphonate treatment for the prevention of bone resorption. Once immunochemotherapy was finished, the treatment was supplemented by radiotherapy of the shoulder. After more than three years of remission, the patient had an ischemic stroke manifesting with right-sided hemiparesis. Following physical therapy, the patient is currently in the process of evaluation for thrombophilia, as well as further cardiac assessment due to the positive transcranial Doppler bubble test, setting high suspicion for the presence of patent foramen ovale.</p>","PeriodicalId":12829,"journal":{"name":"Hematology Reports","volume":"16 1","pages":"106-113"},"PeriodicalIF":1.2000,"publicationDate":"2024-02-28","publicationTypes":"Journal Article","fieldsOfStudy":null,"isOpenAccess":false,"openAccessPdf":"https://www.ncbi.nlm.nih.gov/pmc/articles/PMC10970100/pdf/","citationCount":"0","resultStr":null,"platform":"Semanticscholar","paperid":null,"PeriodicalName":"Hematology Reports","FirstCategoryId":"1085","ListUrlMain":"https://doi.org/10.3390/hematolrep16010011","RegionNum":0,"RegionCategory":null,"ArticlePicture":[],"TitleCN":null,"AbstractTextCN":null,"PMCID":null,"EPubDate":"","PubModel":"","JCR":"Q4","JCRName":"HEMATOLOGY","Score":null,"Total":0}
引用次数: 0

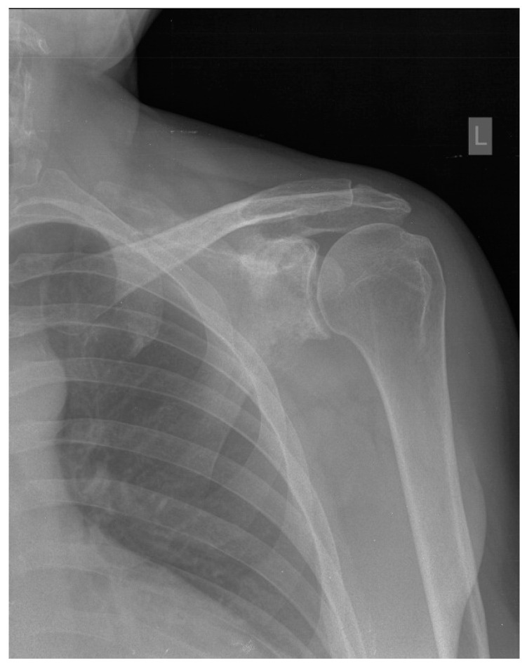
Abstract

Primary bone lymphoma of the scapula is a rare tumor that usually causes local pain. The presented patient suffered for two years from paresthesia, tingling, numbness, and edema of the little and ring fingers. The 45-year-old man underwent several radiological and neurological assessments of the palm, elbow, and neck before radiographs revealed a tumor of the left shoulder. Once diffuse large B-cell lymphoma was confirmed, immunochemotherapy with rituximab, cyclophosphamide, doxorubicin, vincristine, and methylprednisolone (R-CHOP) started. The treatment was accompanied by antiviral treatment with lamivudine due to positive hepatitis B virus serology, specifically anti-HBs (hepatitis B surface) antibody, total anti-HBc (hepatitis B core) antibody, and anti-HBe (hepatitis B e antigen) antibody, together with bisphosphonate treatment for the prevention of bone resorption. Once immunochemotherapy was finished, the treatment was supplemented by radiotherapy of the shoulder. After more than three years of remission, the patient had an ischemic stroke manifesting with right-sided hemiparesis. Following physical therapy, the patient is currently in the process of evaluation for thrombophilia, as well as further cardiac assessment due to the positive transcranial Doppler bubble test, setting high suspicion for the presence of patent foramen ovale.

Abstract Image

Abstract Image

肩胛原发性骨淋巴瘤
肩胛原发性骨淋巴瘤是一种罕见的肿瘤,通常会引起局部疼痛。这位患者的小指和无名指出现麻痹、刺痛、麻木和水肿已有两年之久。这名 45 岁的男子接受了手掌、肘部和颈部的多项放射学和神经学评估,然后拍片发现左肩有肿瘤。确诊为弥漫大B细胞淋巴瘤后,患者开始接受利妥昔单抗、环磷酰胺、多柔比星、长春新碱和甲基强的松龙(R-CHOP)免疫化疗。由于乙型肝炎病毒血清学检测呈阳性,特别是抗乙型肝炎表面抗体、总抗乙型肝炎核心抗体和抗乙型肝炎e抗原抗体呈阳性,因此在治疗的同时使用拉米夫定进行抗病毒治疗,并使用双膦酸盐治疗以防止骨吸收。免疫化疗结束后,又辅以肩部放疗。经过三年多的缓解后,患者发生了缺血性中风,表现为右侧偏瘫。在接受物理治疗后,患者目前正在接受血栓性疾病的评估,由于经颅多普勒气泡试验呈阳性,高度怀疑存在卵圆孔未闭,因此还需要进一步的心脏评估。
本文章由计算机程序翻译,如有差异,请以英文原文为准。
求助全文
约1分钟内获得全文 求助全文
来源期刊
Hematology Reports
Hematology Reports HEMATOLOGY-
CiteScore
0.90
自引率
0.00%
发文量
47
审稿时长
10 weeks
×
引用
GB/T 7714-2015
复制
MLA
复制
APA
复制
导出至
BibTeX EndNote RefMan NoteFirst NoteExpress
×
提示
您的信息不完整,为了账户安全,请先补充。
现在去补充
×
提示
您因"违规操作"
具体请查看互助需知
我知道了
×
提示
确定
请完成安全验证×
copy
已复制链接
快去分享给好友吧!
我知道了
右上角分享
点击右上角分享
0
联系我们:info@booksci.cn Book学术提供免费学术资源搜索服务,方便国内外学者检索中英文文献。致力于提供最便捷和优质的服务体验。 Copyright © 2023 布克学术 All rights reserved.
京ICP备2023020795号-1
ghs 京公网安备 11010802042870号
Book学术文献互助
Book学术文献互助群
群 号:604180095
Book学术官方微信