Impact of Skeletal Muscle Depletion on Patients with Myelodysplastic Syndrome Treated with Azacitidine.

IF 1.2 Q4 HEMATOLOGY
Eri Takada, Nobuhiko Nakamura, Yuto Kaneda, Kenji Fukuno, Shin Lee, Kei Fujita, Tetsuji Morishita, Yoshikazu Ikoma, Takuro Matsumoto, Hiroshi Nakamura, Junichi Kitagawa, Nobuhiro Kanemura, Senji Kasahara, Takeshi Hara, Hisashi Tsurumi, Masahito Shimizu
{"title":"Impact of Skeletal Muscle Depletion on Patients with Myelodysplastic Syndrome Treated with Azacitidine.","authors":"Eri Takada, Nobuhiko Nakamura, Yuto Kaneda, Kenji Fukuno, Shin Lee, Kei Fujita, Tetsuji Morishita, Yoshikazu Ikoma, Takuro Matsumoto, Hiroshi Nakamura, Junichi Kitagawa, Nobuhiro Kanemura, Senji Kasahara, Takeshi Hara, Hisashi Tsurumi, Masahito Shimizu","doi":"10.3390/hematolrep16010012","DOIUrl":null,"url":null,"abstract":"<p><strong>Background: </strong>Azacitidine (AZA) is the standard treatment for patients with high-risk myelodysplastic syndromes (MDS). The impact of skeletal muscle depletion (SMD), which is associated with outcomes of hematological malignancies, on the clinical course of MDS patients treated with AZA was investigated.</p><p><strong>Methods: </strong>This retrospective, observational study included 50 MDS patients treated with AZA. Muscle mass was evaluated using the skeletal muscle index (SMI), which is the area of muscle mass at the third lumbar vertebra on CT images divided by the square of the height.</p><p><strong>Results: </strong>Of the enrolled patients, 39 were males, and their median age was 69.5 years. Twenty-seven (20 male and 7 female) patients showed SMD. The median survival was 13.4 months in the SMD group and 15.2 months in the non-SMD group, with no significant difference and no significant association between the response rate or severe non-hematological toxicities and the presence of SMD. By contrast, grade 3-4 anemia and thrombocytopenia were significantly more frequent in the SMD group than in the non-SMD group. SMD was associated with severe anemia and thrombocytopenia in MDS patients treated with AZA.</p><p><strong>Conclusion: </strong>Reduced skeletal muscle mass may predict severe hematological toxicity in MDS patients treated with AZA.</p>","PeriodicalId":12829,"journal":{"name":"Hematology Reports","volume":"16 1","pages":"114-124"},"PeriodicalIF":1.2000,"publicationDate":"2024-02-28","publicationTypes":"Journal Article","fieldsOfStudy":null,"isOpenAccess":false,"openAccessPdf":"https://www.ncbi.nlm.nih.gov/pmc/articles/PMC10970390/pdf/","citationCount":"0","resultStr":null,"platform":"Semanticscholar","paperid":null,"PeriodicalName":"Hematology Reports","FirstCategoryId":"1085","ListUrlMain":"https://doi.org/10.3390/hematolrep16010012","RegionNum":0,"RegionCategory":null,"ArticlePicture":[],"TitleCN":null,"AbstractTextCN":null,"PMCID":null,"EPubDate":"","PubModel":"","JCR":"Q4","JCRName":"HEMATOLOGY","Score":null,"Total":0}
引用次数: 0

Abstract

Background: Azacitidine (AZA) is the standard treatment for patients with high-risk myelodysplastic syndromes (MDS). The impact of skeletal muscle depletion (SMD), which is associated with outcomes of hematological malignancies, on the clinical course of MDS patients treated with AZA was investigated.

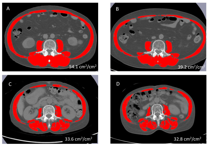
Methods: This retrospective, observational study included 50 MDS patients treated with AZA. Muscle mass was evaluated using the skeletal muscle index (SMI), which is the area of muscle mass at the third lumbar vertebra on CT images divided by the square of the height.

Results: Of the enrolled patients, 39 were males, and their median age was 69.5 years. Twenty-seven (20 male and 7 female) patients showed SMD. The median survival was 13.4 months in the SMD group and 15.2 months in the non-SMD group, with no significant difference and no significant association between the response rate or severe non-hematological toxicities and the presence of SMD. By contrast, grade 3-4 anemia and thrombocytopenia were significantly more frequent in the SMD group than in the non-SMD group. SMD was associated with severe anemia and thrombocytopenia in MDS patients treated with AZA.

Conclusion: Reduced skeletal muscle mass may predict severe hematological toxicity in MDS patients treated with AZA.

Abstract Image

Abstract Image

Abstract Image

骨骼肌消耗对接受阿扎胞苷治疗的骨髓增生异常综合征患者的影响
背景:阿扎胞苷(AZA)是治疗高危骨髓增生异常综合征(MDS)患者的标准疗法。骨骼肌耗竭(SMD)与血液恶性肿瘤的预后有关,本研究调查了骨骼肌耗竭对接受阿扎胞苷治疗的 MDS 患者临床病程的影响:这项回顾性观察研究包括 50 名接受 AZA 治疗的 MDS 患者。采用骨骼肌指数(SMI)对肌肉质量进行评估,SMI是CT图像上第三腰椎处肌肉质量的面积除以身高的平方:入组患者中有 39 名男性,中位年龄为 69.5 岁。27名患者(20名男性和7名女性)出现了SMD。SMD组患者的中位生存期为13.4个月,非SMD组患者的中位生存期为15.2个月,无明显差异,反应率或严重非血液学毒性与是否存在SMD无明显关联。相比之下,SMD组出现3-4级贫血和血小板减少的频率明显高于非SMD组。在接受AZA治疗的MDS患者中,SMD与严重贫血和血小板减少有关:结论:骨骼肌质量下降可能预示着接受 AZA 治疗的 MDS 患者会出现严重的血液学毒性。
本文章由计算机程序翻译,如有差异,请以英文原文为准。
求助全文
约1分钟内获得全文 求助全文
来源期刊
Hematology Reports
Hematology Reports HEMATOLOGY-
CiteScore
0.90
自引率
0.00%
发文量
47
审稿时长
10 weeks
×
引用
GB/T 7714-2015
复制
MLA
复制
APA
复制
导出至
BibTeX EndNote RefMan NoteFirst NoteExpress
×
提示
您的信息不完整,为了账户安全,请先补充。
现在去补充
×
提示
您因"违规操作"
具体请查看互助需知
我知道了
×
提示
确定
请完成安全验证×
copy
已复制链接
快去分享给好友吧!
我知道了
右上角分享
点击右上角分享
0
联系我们:info@booksci.cn Book学术提供免费学术资源搜索服务,方便国内外学者检索中英文文献。致力于提供最便捷和优质的服务体验。 Copyright © 2023 布克学术 All rights reserved.
京ICP备2023020795号-1
ghs 京公网安备 11010802042870号
Book学术文献互助
Book学术文献互助群
群 号:604180095
Book学术官方微信