Pulmonary Epstein-Barr virus-associated smooth muscle tumor after kidney transplantation: two case reports with review of differential diagnosis.

IF 1.5 4区 医学 Q4 DEVELOPMENTAL BIOLOGY
Xiao-Yu Fu, Xia Gao, Chun-Lei Zhao, Xing-Feng Qi, Xiao-Juan Ouyang, Ling-Hua Zhu, Dong Wang, Li-Juan Qu, Xian-Zong Ye
{"title":"Pulmonary Epstein-Barr virus-associated smooth muscle tumor after kidney transplantation: two case reports with review of differential diagnosis.","authors":"Xiao-Yu Fu, Xia Gao, Chun-Lei Zhao, Xing-Feng Qi, Xiao-Juan Ouyang, Ling-Hua Zhu, Dong Wang, Li-Juan Qu, Xian-Zong Ye","doi":"10.47162/RJME.65.1.13","DOIUrl":null,"url":null,"abstract":"<p><p>Pulmonary nodules are a common complication in solid organ transplant recipients, and may have various underlying causes, with Epstein-Barr virus-associated smooth muscle tumor (EBV-SMT) being one of them. Given the rarity of this entity, we describe the diagnosis and therapeutic interventions for post-transplant EBV-SMT in two individuals. Both cases involved female patients who were diagnosed with multiple pulmonary nodules 60 months and 116 months, respectively, after receiving living-related kidney transplantation. Pathological examination revealed a spindle cell tumor, with immunophenotype and EBV in situ hybridization supporting the diagnosis of EBV-SMT. After diagnosis, these two patients underwent intervention by decreasing their intake of immunosuppressants. As of the latest follow-up, the patients' lesion size remained stable, and their overall condition was favorable. We also reviewed literature about the morphological and molecular pathological features of EBV-SMT and highlighted the diagnosis and differential diagnosis of pulmonary spindle cell lesions especially in the setting of immunosuppression.</p>","PeriodicalId":54447,"journal":{"name":"Romanian Journal of Morphology and Embryology","volume":"65 1","pages":"107-112"},"PeriodicalIF":1.5000,"publicationDate":"2024-01-01","publicationTypes":"Journal Article","fieldsOfStudy":null,"isOpenAccess":false,"openAccessPdf":"https://www.ncbi.nlm.nih.gov/pmc/articles/PMC11146452/pdf/","citationCount":"0","resultStr":null,"platform":"Semanticscholar","paperid":null,"PeriodicalName":"Romanian Journal of Morphology and Embryology","FirstCategoryId":"3","ListUrlMain":"https://doi.org/10.47162/RJME.65.1.13","RegionNum":4,"RegionCategory":"医学","ArticlePicture":[],"TitleCN":null,"AbstractTextCN":null,"PMCID":null,"EPubDate":"","PubModel":"","JCR":"Q4","JCRName":"DEVELOPMENTAL BIOLOGY","Score":null,"Total":0}
引用次数: 0

Abstract

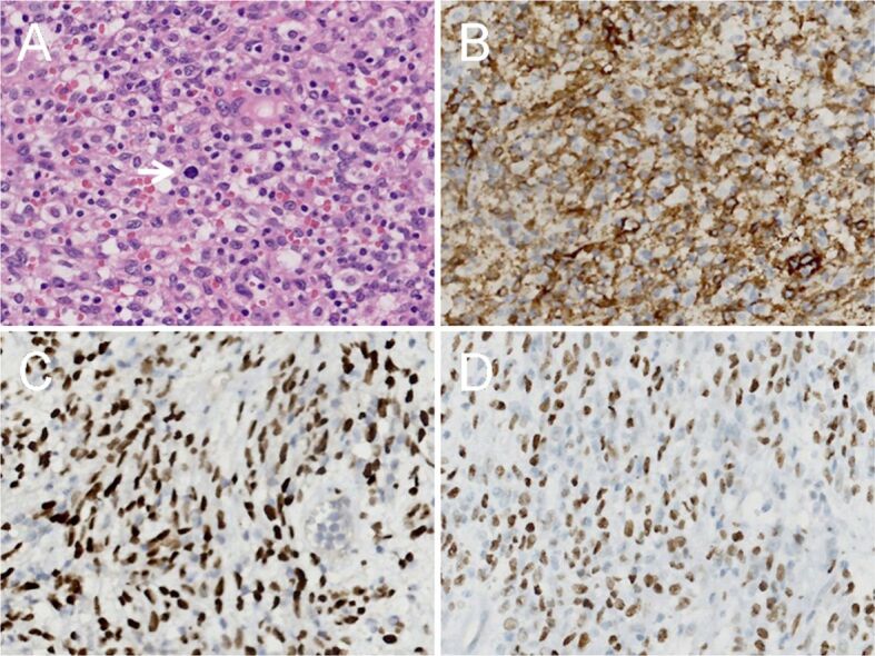
Pulmonary nodules are a common complication in solid organ transplant recipients, and may have various underlying causes, with Epstein-Barr virus-associated smooth muscle tumor (EBV-SMT) being one of them. Given the rarity of this entity, we describe the diagnosis and therapeutic interventions for post-transplant EBV-SMT in two individuals. Both cases involved female patients who were diagnosed with multiple pulmonary nodules 60 months and 116 months, respectively, after receiving living-related kidney transplantation. Pathological examination revealed a spindle cell tumor, with immunophenotype and EBV in situ hybridization supporting the diagnosis of EBV-SMT. After diagnosis, these two patients underwent intervention by decreasing their intake of immunosuppressants. As of the latest follow-up, the patients' lesion size remained stable, and their overall condition was favorable. We also reviewed literature about the morphological and molecular pathological features of EBV-SMT and highlighted the diagnosis and differential diagnosis of pulmonary spindle cell lesions especially in the setting of immunosuppression.

Abstract Image

Abstract Image

Abstract Image

肾移植后肺部 Epstein-Barr 病毒相关平滑肌瘤:两例病例报告及鉴别诊断回顾。
肺部结节是实体器官移植受者的常见并发症,可能有多种潜在病因,EBV-SMT(爱泼斯坦-巴氏病毒相关平滑肌瘤)就是其中之一。鉴于这种疾病的罕见性,我们介绍了两例移植后 EBV-SMT 的诊断和治疗干预。两例患者均为女性,分别在接受活体相关肾移植后 60 个月和 116 个月被诊断出患有多发性肺结节。病理检查显示为纺锤形细胞肿瘤,免疫表型和 EBV 原位杂交支持 EBV-SMT 的诊断。确诊后,这两名患者接受了干预治疗,减少了免疫抑制剂的摄入量。最近一次随访时,患者的病灶大小保持稳定,总体情况良好。我们还回顾了有关 EBV-SMT 形态学和分子病理学特征的文献,并强调了肺纺锤形细胞病变的诊断和鉴别诊断,尤其是在免疫抑制的情况下。
本文章由计算机程序翻译,如有差异,请以英文原文为准。
求助全文
约1分钟内获得全文 求助全文
来源期刊
CiteScore
1.70
自引率
20.00%
发文量
221
审稿时长
3-8 weeks
期刊介绍: Romanian Journal of Morphology and Embryology (Rom J Morphol Embryol) publishes studies on all aspects of normal morphology and human comparative and experimental pathology. The Journal accepts only researches that utilize modern investigation methods (studies of anatomy, pathology, cytopathology, immunohistochemistry, histochemistry, immunology, morphometry, molecular and cellular biology, electronic microscopy, etc.).
×
引用
GB/T 7714-2015
复制
MLA
复制
APA
复制
导出至
BibTeX EndNote RefMan NoteFirst NoteExpress
×
提示
您的信息不完整,为了账户安全,请先补充。
现在去补充
×
提示
您因"违规操作"
具体请查看互助需知
我知道了
×
提示
确定
请完成安全验证×
copy
已复制链接
快去分享给好友吧!
我知道了
右上角分享
点击右上角分享
0
联系我们:info@booksci.cn Book学术提供免费学术资源搜索服务,方便国内外学者检索中英文文献。致力于提供最便捷和优质的服务体验。 Copyright © 2023 布克学术 All rights reserved.
京ICP备2023020795号-1
ghs 京公网安备 11010802042870号
Book学术文献互助
Book学术文献互助群
群 号:604180095
Book学术官方微信