Immunoexpression of Ki67, P16 and Beta-catenin in precursor lesions of cutaneous squamous cell carcinoma.

IF 1.5 4区 医学 Q4 DEVELOPMENTAL BIOLOGY
Alina Maria Vîlcea, Loredana Elena Stoica, Bianca Cătălina Andreiana, Cecil Sorin Mirea, Tiberiu Ştefăniţă Ţenea Cojan, Ioana Cristina Vîlcea, Claudiu Mărgăritescu
{"title":"Immunoexpression of Ki67, P16 and Beta-catenin in precursor lesions of cutaneous squamous cell carcinoma.","authors":"Alina Maria Vîlcea, Loredana Elena Stoica, Bianca Cătălina Andreiana, Cecil Sorin Mirea, Tiberiu Ştefăniţă Ţenea Cojan, Ioana Cristina Vîlcea, Claudiu Mărgăritescu","doi":"10.47162/RJME.65.1.03","DOIUrl":null,"url":null,"abstract":"<p><p>Cutaneous squamous cell carcinoma (CSCC) is the second most common type of skin cancer, after basal cell carcinoma, representing about 10-20% of all malignant skin tumors. The mortality rates of CSCC approach those of renal and oropharyngeal carcinomas, as well as melanoma, with the increasing of the risk once metastases and perineural invasion occur. Both actinic keratosis (AK) and Bowen's disease (BD) are direct precursors with the potential for progression to CSCC. In this study, we analyzed the expression of Ki67, P16 and Beta-catenin in the precursor lesions of CSCC in relation to histological prognostic parameters, respectively between them, with the aim of identifying possible correlations with a role in prognosis. Ki67 and P16 presented higher scores in advanced precancerous lesions, such as keratinocyte intraepithelial neoplasia (KIN) III and BD and low scores in seborrheic keratosis (SK). The immunoreactivity to the investigated markers confirms the multistage skin carcinogenesis, and their involvement starting from the initiation phase of the cancer process. The importance of the studied markers in the evolution and prognosis of precancerous lesions of CSCC is also supported by the linear correlations revealed between the immunoexpressions of P16, Ki67 and the membranous immunoexpression of Beta-catenin in AK.</p>","PeriodicalId":54447,"journal":{"name":"Romanian Journal of Morphology and Embryology","volume":"65 1","pages":"19-25"},"PeriodicalIF":1.5000,"publicationDate":"2024-01-01","publicationTypes":"Journal Article","fieldsOfStudy":null,"isOpenAccess":false,"openAccessPdf":"https://www.ncbi.nlm.nih.gov/pmc/articles/PMC11146555/pdf/","citationCount":"0","resultStr":null,"platform":"Semanticscholar","paperid":null,"PeriodicalName":"Romanian Journal of Morphology and Embryology","FirstCategoryId":"3","ListUrlMain":"https://doi.org/10.47162/RJME.65.1.03","RegionNum":4,"RegionCategory":"医学","ArticlePicture":[],"TitleCN":null,"AbstractTextCN":null,"PMCID":null,"EPubDate":"","PubModel":"","JCR":"Q4","JCRName":"DEVELOPMENTAL BIOLOGY","Score":null,"Total":0}
引用次数: 0

Abstract

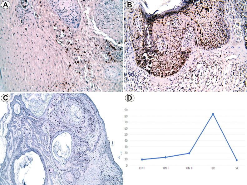
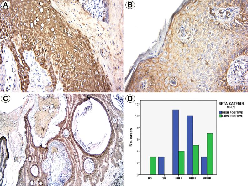
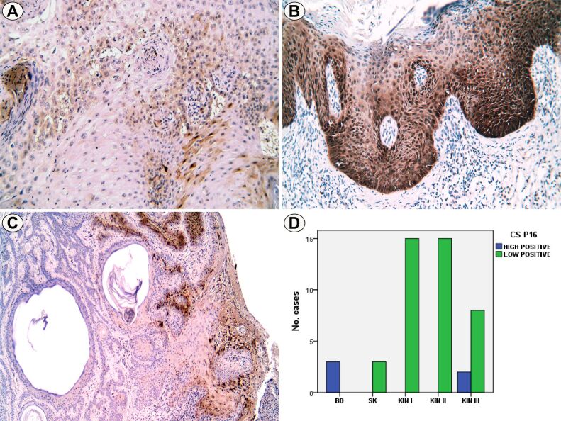
Cutaneous squamous cell carcinoma (CSCC) is the second most common type of skin cancer, after basal cell carcinoma, representing about 10-20% of all malignant skin tumors. The mortality rates of CSCC approach those of renal and oropharyngeal carcinomas, as well as melanoma, with the increasing of the risk once metastases and perineural invasion occur. Both actinic keratosis (AK) and Bowen's disease (BD) are direct precursors with the potential for progression to CSCC. In this study, we analyzed the expression of Ki67, P16 and Beta-catenin in the precursor lesions of CSCC in relation to histological prognostic parameters, respectively between them, with the aim of identifying possible correlations with a role in prognosis. Ki67 and P16 presented higher scores in advanced precancerous lesions, such as keratinocyte intraepithelial neoplasia (KIN) III and BD and low scores in seborrheic keratosis (SK). The immunoreactivity to the investigated markers confirms the multistage skin carcinogenesis, and their involvement starting from the initiation phase of the cancer process. The importance of the studied markers in the evolution and prognosis of precancerous lesions of CSCC is also supported by the linear correlations revealed between the immunoexpressions of P16, Ki67 and the membranous immunoexpression of Beta-catenin in AK.

Abstract Image

Abstract Image

Abstract Image

皮肤鳞状细胞癌前驱病变中 Ki67、P16 和 Beta-catenin 的免疫表达。
皮肤鳞状细胞癌(CSCC)是仅次于基底细胞癌的第二大常见皮肤癌,约占所有恶性皮肤肿瘤的 10-20%。皮肤鳞状细胞癌的死亡率接近肾癌、口咽癌和黑色素瘤,一旦发生转移和神经周围浸润,风险就会增加。光化性角化病(AK)和鲍温氏病(BD)都是有可能发展为 CSCC 的直接前兆。在这项研究中,我们分析了 CSCC 前体病变中 Ki67、P16 和 Beta-catenin 的表达与组织学预后参数之间的关系,目的是找出它们在预后中可能存在的相关性。Ki67和P16在晚期癌前病变(如角朊细胞上皮内瘤变(KIN)III和BD)中得分较高,而在脂溢性角化病(SK)中得分较低。所研究标记物的免疫反应性证实了皮肤癌的多阶段发生,它们从癌症过程的起始阶段就开始参与。在 AK 中,P16、Ki67 的免疫表达与 Beta-catenin 的膜免疫表达呈线性相关,这也证明了所研究标记物在 CSCC 癌前病变的演变和预后中的重要性。
本文章由计算机程序翻译,如有差异,请以英文原文为准。
求助全文
约1分钟内获得全文 求助全文
来源期刊
CiteScore
1.70
自引率
20.00%
发文量
221
审稿时长
3-8 weeks
期刊介绍: Romanian Journal of Morphology and Embryology (Rom J Morphol Embryol) publishes studies on all aspects of normal morphology and human comparative and experimental pathology. The Journal accepts only researches that utilize modern investigation methods (studies of anatomy, pathology, cytopathology, immunohistochemistry, histochemistry, immunology, morphometry, molecular and cellular biology, electronic microscopy, etc.).
×
引用
GB/T 7714-2015
复制
MLA
复制
APA
复制
导出至
BibTeX EndNote RefMan NoteFirst NoteExpress
×
提示
您的信息不完整,为了账户安全,请先补充。
现在去补充
×
提示
您因"违规操作"
具体请查看互助需知
我知道了
×
提示
确定
请完成安全验证×
copy
已复制链接
快去分享给好友吧!
我知道了
右上角分享
点击右上角分享
0
联系我们:info@booksci.cn Book学术提供免费学术资源搜索服务,方便国内外学者检索中英文文献。致力于提供最便捷和优质的服务体验。 Copyright © 2023 布克学术 All rights reserved.
京ICP备2023020795号-1
ghs 京公网安备 11010802042870号
Book学术文献互助
Book学术文献互助群
群 号:604180095
Book学术官方微信