Epidemiological and histopathological aspects of ocular melanomas in Northeastern Romania.

IF 1.5 4区 医学 Q4 DEVELOPMENTAL BIOLOGY
Claudia Florida Costea, Andrei Ionuţ Cucu, Gabriela Florenţa Dumitrescu, Anca Sava, Gabriela Dimitriu, Tina Boţoc, Mihaela Roxana Popescu, Cătălin Mihai Buzdugă, Ana Maria Dumitrescu, Alexandra Stărică, Georgiana Macovei, Iulian Prutianu, Laurenţiu Andrei Blaj, Daniela Maria Tănase, Dragoş Viorel Scripcariu
{"title":"Epidemiological and histopathological aspects of ocular melanomas in Northeastern Romania.","authors":"Claudia Florida Costea, Andrei Ionuţ Cucu, Gabriela Florenţa Dumitrescu, Anca Sava, Gabriela Dimitriu, Tina Boţoc, Mihaela Roxana Popescu, Cătălin Mihai Buzdugă, Ana Maria Dumitrescu, Alexandra Stărică, Georgiana Macovei, Iulian Prutianu, Laurenţiu Andrei Blaj, Daniela Maria Tănase, Dragoş Viorel Scripcariu","doi":"10.47162/RJME.65.1.05","DOIUrl":null,"url":null,"abstract":"<p><p>Ocular melanoma is a rare but complex disease in current medical practice. Our retrospective study spans over a period of 28 years and analyzed uveal and conjunctival melanomas that were consecutively admitted, diagnosed, and treated in the 2nd Ophthalmology Clinic of Prof. Dr. Nicolae Oblu Emergency Clinical Hospital, Iaşi, Romania. The patients were selected from the records of the Department of Pathology of our Hospital, being diagnosed by standard histopathological techniques. The aim of this study was to summarize the epidemiological and pathological aspects of uveal and conjunctival melanomas in Northeastern region of Romania. In our study, we did not notice a predilection of uveal and conjunctival melanoma to one particular gender. The most common histological subtypes of ocular melanomas were the heavily pigmented spindle cell subtype, followed by the epithelioid subtype. Our patients sought medical help in a timely manner, before the systemic invasion of the disease could develop.</p>","PeriodicalId":54447,"journal":{"name":"Romanian Journal of Morphology and Embryology","volume":"65 1","pages":"35-44"},"PeriodicalIF":1.5000,"publicationDate":"2024-01-01","publicationTypes":"Journal Article","fieldsOfStudy":null,"isOpenAccess":false,"openAccessPdf":"https://www.ncbi.nlm.nih.gov/pmc/articles/PMC11146456/pdf/","citationCount":"0","resultStr":null,"platform":"Semanticscholar","paperid":null,"PeriodicalName":"Romanian Journal of Morphology and Embryology","FirstCategoryId":"3","ListUrlMain":"https://doi.org/10.47162/RJME.65.1.05","RegionNum":4,"RegionCategory":"医学","ArticlePicture":[],"TitleCN":null,"AbstractTextCN":null,"PMCID":null,"EPubDate":"","PubModel":"","JCR":"Q4","JCRName":"DEVELOPMENTAL BIOLOGY","Score":null,"Total":0}
引用次数: 0

Abstract

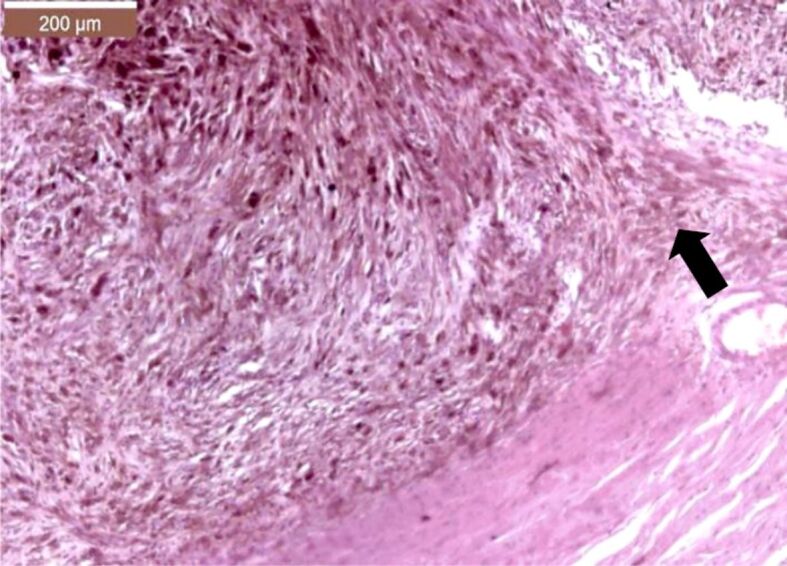
Ocular melanoma is a rare but complex disease in current medical practice. Our retrospective study spans over a period of 28 years and analyzed uveal and conjunctival melanomas that were consecutively admitted, diagnosed, and treated in the 2nd Ophthalmology Clinic of Prof. Dr. Nicolae Oblu Emergency Clinical Hospital, Iaşi, Romania. The patients were selected from the records of the Department of Pathology of our Hospital, being diagnosed by standard histopathological techniques. The aim of this study was to summarize the epidemiological and pathological aspects of uveal and conjunctival melanomas in Northeastern region of Romania. In our study, we did not notice a predilection of uveal and conjunctival melanoma to one particular gender. The most common histological subtypes of ocular melanomas were the heavily pigmented spindle cell subtype, followed by the epithelioid subtype. Our patients sought medical help in a timely manner, before the systemic invasion of the disease could develop.

Abstract Image

Abstract Image

Abstract Image

罗马尼亚东北部眼部黑色素瘤的流行病学和组织病理学方面。
在目前的医疗实践中,眼部黑色素瘤是一种罕见但复杂的疾病。我们的回顾性研究历时 28 年,分析了罗马尼亚亚希市尼古拉-奥布卢教授急救临床医院第二眼科诊所连续收治、诊断和治疗的葡萄膜和结膜黑色素瘤。这些患者是从本医院病理科的记录中挑选出来的,并通过标准的组织病理学技术进行了诊断。这项研究旨在总结罗马尼亚东北部地区葡萄膜和结膜黑色素瘤的流行病学和病理学方面的情况。在我们的研究中,我们没有发现葡萄膜和结膜黑色素瘤偏向于某一特定性别。眼部黑色素瘤最常见的组织学亚型是重色素纺锤细胞亚型,其次是上皮样亚型。我们的患者及时就医,避免了疾病向全身扩散。
本文章由计算机程序翻译,如有差异,请以英文原文为准。
求助全文
约1分钟内获得全文 求助全文
来源期刊
CiteScore
1.70
自引率
20.00%
发文量
221
审稿时长
3-8 weeks
期刊介绍: Romanian Journal of Morphology and Embryology (Rom J Morphol Embryol) publishes studies on all aspects of normal morphology and human comparative and experimental pathology. The Journal accepts only researches that utilize modern investigation methods (studies of anatomy, pathology, cytopathology, immunohistochemistry, histochemistry, immunology, morphometry, molecular and cellular biology, electronic microscopy, etc.).
×
引用
GB/T 7714-2015
复制
MLA
复制
APA
复制
导出至
BibTeX EndNote RefMan NoteFirst NoteExpress
×
提示
您的信息不完整,为了账户安全,请先补充。
现在去补充
×
提示
您因"违规操作"
具体请查看互助需知
我知道了
×
提示
确定
请完成安全验证×
copy
已复制链接
快去分享给好友吧!
我知道了
右上角分享
点击右上角分享
0
联系我们:info@booksci.cn Book学术提供免费学术资源搜索服务,方便国内外学者检索中英文文献。致力于提供最便捷和优质的服务体验。 Copyright © 2023 布克学术 All rights reserved.
京ICP备2023020795号-1
ghs 京公网安备 11010802042870号
Book学术文献互助
Book学术文献互助群
群 号:604180095
Book学术官方微信