Endothelial cell proliferation and vascular patterns in urothelial carcinoma.

IF 1.5 4区 医学 Q4 DEVELOPMENTAL BIOLOGY
Tiberiu Gabriel Adelmann, Amalia Raluca Ceauşu, Nela Puşa Gaje, Marius Raica
{"title":"Endothelial cell proliferation and vascular patterns in urothelial carcinoma.","authors":"Tiberiu Gabriel Adelmann, Amalia Raluca Ceauşu, Nela Puşa Gaje, Marius Raica","doi":"10.47162/RJME.65.1.08","DOIUrl":null,"url":null,"abstract":"<p><strong>Introduction: </strong>The bladder cancer has some characteristics: the sixth most incident neoplasm in the United States, the majority of diagnosed cases in those 55 years of age and older, four times more common in man than women, a reduced five-year survival rate in case of metastatic disease. Despite the beneficial effects of the combination therapy and immunotherapy, the low response rate and drug resistance were reported. The main goal of this work was evaluation of the endothelial cell proliferation from urothelial carcinomas.</p><p><strong>Patients, materials and methods: </strong>Fifty-two cases of T2-T4 infiltrative bladder tumors, aged between 46 and 78 years, were investigated. Morphological, simple and cluster of differentiation 31 (CD31)∕Ki67, CD31∕smooth muscle actin (SMA) double immunostaining were performed.</p><p><strong>Results: </strong>In all the analyzed infiltrative bladder tumors, three types of vessels were noticed: immature, intermediate and mature. In the central part of the tumor area, the following distribution of vessel types was noticed: immature (62.25%), intermediate (35.1%), and mature vessels (2.65%). In the peripheral tumor area, the intermediate vessels increase numerically, up to 54% and the mature ones, up to 18.6%. The peritumoral area was characterized by the absence of immature vessels and the presence of intermediate and mature ones only. It was found the presence of endothelial cell nuclei stained for Ki67 only for immature and intermediate vessels, and never for mature ones.</p><p><strong>Conclusions: </strong>The vascular patterns may contribute to a better stratification of the patient subgroups and antiangiogenic treatment algorithms.</p>","PeriodicalId":54447,"journal":{"name":"Romanian Journal of Morphology and Embryology","volume":"65 1","pages":"61-67"},"PeriodicalIF":1.5000,"publicationDate":"2024-01-01","publicationTypes":"Journal Article","fieldsOfStudy":null,"isOpenAccess":false,"openAccessPdf":"https://www.ncbi.nlm.nih.gov/pmc/articles/PMC11146449/pdf/","citationCount":"0","resultStr":null,"platform":"Semanticscholar","paperid":null,"PeriodicalName":"Romanian Journal of Morphology and Embryology","FirstCategoryId":"3","ListUrlMain":"https://doi.org/10.47162/RJME.65.1.08","RegionNum":4,"RegionCategory":"医学","ArticlePicture":[],"TitleCN":null,"AbstractTextCN":null,"PMCID":null,"EPubDate":"","PubModel":"","JCR":"Q4","JCRName":"DEVELOPMENTAL BIOLOGY","Score":null,"Total":0}
引用次数: 0

Abstract

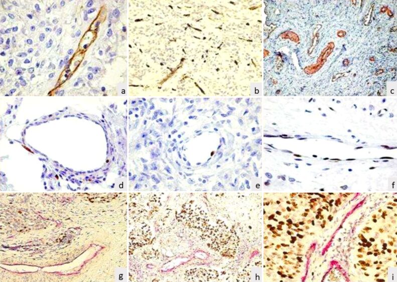
Introduction: The bladder cancer has some characteristics: the sixth most incident neoplasm in the United States, the majority of diagnosed cases in those 55 years of age and older, four times more common in man than women, a reduced five-year survival rate in case of metastatic disease. Despite the beneficial effects of the combination therapy and immunotherapy, the low response rate and drug resistance were reported. The main goal of this work was evaluation of the endothelial cell proliferation from urothelial carcinomas.

Patients, materials and methods: Fifty-two cases of T2-T4 infiltrative bladder tumors, aged between 46 and 78 years, were investigated. Morphological, simple and cluster of differentiation 31 (CD31)∕Ki67, CD31∕smooth muscle actin (SMA) double immunostaining were performed.

Results: In all the analyzed infiltrative bladder tumors, three types of vessels were noticed: immature, intermediate and mature. In the central part of the tumor area, the following distribution of vessel types was noticed: immature (62.25%), intermediate (35.1%), and mature vessels (2.65%). In the peripheral tumor area, the intermediate vessels increase numerically, up to 54% and the mature ones, up to 18.6%. The peritumoral area was characterized by the absence of immature vessels and the presence of intermediate and mature ones only. It was found the presence of endothelial cell nuclei stained for Ki67 only for immature and intermediate vessels, and never for mature ones.

Conclusions: The vascular patterns may contribute to a better stratification of the patient subgroups and antiangiogenic treatment algorithms.

Abstract Image

Abstract Image

尿路上皮细胞癌的内皮细胞增殖和血管形态。
导言:膀胱癌具有一些特点:在美国发病率排名第六,大多数确诊病例发生在 55 岁及以上的人群中,男性发病率是女性的四倍,转移性疾病的五年生存率较低。尽管联合疗法和免疫疗法产生了有益的效果,但仍有反应率低和耐药性的报道。这项工作的主要目的是评估尿路上皮癌细胞的内皮细胞增殖情况:研究对象为 52 例 T2-T4 浸润性膀胱肿瘤患者,年龄在 46 岁至 78 岁之间。进行了形态学、简单和分化簇 31(CD31)∕Ki67、CD31∕平滑肌肌动蛋白(SMA)双重免疫染色:在所有分析的浸润性膀胱肿瘤中,发现了三种类型的血管:未成熟血管、中间血管和成熟血管。在肿瘤中心区域,血管类型分布如下:未成熟血管(62.25%)、中间血管(35.1%)和成熟血管(2.65%)。在肿瘤周边区域,中间血管的数量有所增加,达到 54%,成熟血管的数量增加到 18.6%。瘤周区域的特点是没有未成熟血管,只有中间血管和成熟血管。发现只有未成熟血管和中间血管存在内皮细胞核 Ki67 染色,成熟血管则没有:血管形态有助于更好地对患者亚组进行分层和制定抗血管生成治疗算法。
本文章由计算机程序翻译,如有差异,请以英文原文为准。
求助全文
约1分钟内获得全文 求助全文
来源期刊
CiteScore
1.70
自引率
20.00%
发文量
221
审稿时长
3-8 weeks
期刊介绍: Romanian Journal of Morphology and Embryology (Rom J Morphol Embryol) publishes studies on all aspects of normal morphology and human comparative and experimental pathology. The Journal accepts only researches that utilize modern investigation methods (studies of anatomy, pathology, cytopathology, immunohistochemistry, histochemistry, immunology, morphometry, molecular and cellular biology, electronic microscopy, etc.).
×
引用
GB/T 7714-2015
复制
MLA
复制
APA
复制
导出至
BibTeX EndNote RefMan NoteFirst NoteExpress
×
提示
您的信息不完整,为了账户安全,请先补充。
现在去补充
×
提示
您因"违规操作"
具体请查看互助需知
我知道了
×
提示
确定
请完成安全验证×
copy
已复制链接
快去分享给好友吧!
我知道了
右上角分享
点击右上角分享
0
联系我们:info@booksci.cn Book学术提供免费学术资源搜索服务,方便国内外学者检索中英文文献。致力于提供最便捷和优质的服务体验。 Copyright © 2023 布克学术 All rights reserved.
京ICP备2023020795号-1
ghs 京公网安备 11010802042870号
Book学术文献互助
Book学术文献互助群
群 号:604180095
Book学术官方微信