Sex-dependent vulnerability for Wistar rats model following intranasal instillation with Klebsiella pneumoniae ATCC 43816 causing lobar pneumonia.

IF 6.2 Q1 RESPIRATORY SYSTEM
Patrick Hervé Diboue Betote, Esther Del Florence Ndedi Moni, Sonia Raïssa Gayap Matchuenkam, Sandrine Suzanne Bayengue Beack, Rodrigue Fifen, Raogo Ouedraogo, Gabriel A Agbor, Rasmané Semde, Nga Nnanga, Maximilienne Ascension Nyegue
{"title":"Sex-dependent vulnerability for Wistar rats model following intranasal instillation with Klebsiella pneumoniae ATCC 43816 causing lobar pneumonia.","authors":"Patrick Hervé Diboue Betote, Esther Del Florence Ndedi Moni, Sonia Raïssa Gayap Matchuenkam, Sandrine Suzanne Bayengue Beack, Rodrigue Fifen, Raogo Ouedraogo, Gabriel A Agbor, Rasmané Semde, Nga Nnanga, Maximilienne Ascension Nyegue","doi":"10.1186/s41479-024-00126-y","DOIUrl":null,"url":null,"abstract":"<p><strong>Background: </strong>Klebsiella pneumoniae has become one of the major threats to public health as it causes nosocomial and community-acquired infections like lobar pneumonia. This infection causes acute inflammation in the lung, characterized by the recruitment of polymorphonuclear cells, generating free radicals, and decreasing the endogenous antioxidant balance system. Many experimental studies have focused on the induction, progression and resolution of infection up to its peak, but these documented processes remain highly random and their sex dependence un-elicited. These fluctuations of physiopathological parameters would impact disease progression depending on the animal's model and bacterial strain used. The present study investigated the sex-dependent vulnerability of Wistar rats to K. pneumoniae ATCC 43816 lobar pneumonia induced by the intranasal instillation method.</p><p><strong>Methods: </strong>Experimental pneumonia was induced by K. pneumoniae ATCC 43816 in male and female Wistar rats following intranasal instillation. The physiopathogenesis of the disease was studied by bacteriological and histopathological exams, histomorphometric analysis of the blood and/or lung tissue, and body weight loss in infected animals. In addition, the overall severity of lesions was determined by the total score obtained by averaging the individual scores from the same group of animals.</p><p><strong>Results: </strong>The K. pneumoniae ATCC 43816 strain showed inoculation dose-, incubation time of the disease- and sex-dependent- differences in its ability to induce lobar pneumonia. Evaluation of different parameters showed that the disease peaked on day 15 post-inoculation, with more pathogenic effects on female rats. This observed sex-dependence difference in Wistar rats was mainly highlighted by the determined lethal dose 50 (LD<sub>50</sub>), bacterial load count in whole blood and lung tissues, body weight loss, inflammatory granulomas forming and diffuse alveolar damages. The pathogenicity was confirmed by scoring the severity of pathologic lesions of lung tissues.</p><p><strong>Conclusions: </strong>The results obtained highlighted the gender-dependency in the physiopathogenesis processes of K. pneumoniae ATCC 43816 induced-lobar pneumonia, in Wistar rats. Female Wistar rats' susceptibility is useful in studying pathology and in preclinical trial investigations of new treatments for infectious pneumonia.</p>","PeriodicalId":45120,"journal":{"name":"Pneumonia","volume":"16 1","pages":"5"},"PeriodicalIF":6.2000,"publicationDate":"2024-03-25","publicationTypes":"Journal Article","fieldsOfStudy":null,"isOpenAccess":false,"openAccessPdf":"https://www.ncbi.nlm.nih.gov/pmc/articles/PMC10962189/pdf/","citationCount":"0","resultStr":null,"platform":"Semanticscholar","paperid":null,"PeriodicalName":"Pneumonia","FirstCategoryId":"1085","ListUrlMain":"https://doi.org/10.1186/s41479-024-00126-y","RegionNum":0,"RegionCategory":null,"ArticlePicture":[],"TitleCN":null,"AbstractTextCN":null,"PMCID":null,"EPubDate":"","PubModel":"","JCR":"Q1","JCRName":"RESPIRATORY SYSTEM","Score":null,"Total":0}
引用次数: 0

Abstract

Background: Klebsiella pneumoniae has become one of the major threats to public health as it causes nosocomial and community-acquired infections like lobar pneumonia. This infection causes acute inflammation in the lung, characterized by the recruitment of polymorphonuclear cells, generating free radicals, and decreasing the endogenous antioxidant balance system. Many experimental studies have focused on the induction, progression and resolution of infection up to its peak, but these documented processes remain highly random and their sex dependence un-elicited. These fluctuations of physiopathological parameters would impact disease progression depending on the animal's model and bacterial strain used. The present study investigated the sex-dependent vulnerability of Wistar rats to K. pneumoniae ATCC 43816 lobar pneumonia induced by the intranasal instillation method.

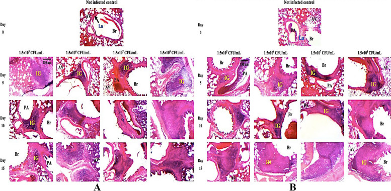
Methods: Experimental pneumonia was induced by K. pneumoniae ATCC 43816 in male and female Wistar rats following intranasal instillation. The physiopathogenesis of the disease was studied by bacteriological and histopathological exams, histomorphometric analysis of the blood and/or lung tissue, and body weight loss in infected animals. In addition, the overall severity of lesions was determined by the total score obtained by averaging the individual scores from the same group of animals.

Results: The K. pneumoniae ATCC 43816 strain showed inoculation dose-, incubation time of the disease- and sex-dependent- differences in its ability to induce lobar pneumonia. Evaluation of different parameters showed that the disease peaked on day 15 post-inoculation, with more pathogenic effects on female rats. This observed sex-dependence difference in Wistar rats was mainly highlighted by the determined lethal dose 50 (LD50), bacterial load count in whole blood and lung tissues, body weight loss, inflammatory granulomas forming and diffuse alveolar damages. The pathogenicity was confirmed by scoring the severity of pathologic lesions of lung tissues.

Conclusions: The results obtained highlighted the gender-dependency in the physiopathogenesis processes of K. pneumoniae ATCC 43816 induced-lobar pneumonia, in Wistar rats. Female Wistar rats' susceptibility is useful in studying pathology and in preclinical trial investigations of new treatments for infectious pneumonia.

Abstract Image

Abstract Image

Abstract Image

肺炎克雷伯菌 ATCC 43816 经鼻腔灌入导致大叶性肺炎的 Wistar 大鼠模型的易感性与性别有关。
背景:肺炎克雷伯菌已成为公共卫生的主要威胁之一,因为它可引起大叶性肺炎等院内和社区获得性感染。这种感染会导致肺部急性炎症,其特征是多形核细胞的募集、自由基的产生以及内源性抗氧化平衡系统的降低。许多实验研究都关注感染的诱发、发展和消退,直至达到高峰,但这些记录在案的过程仍具有很大的随机性,其性别依赖性也未被激发。这些生理病理参数的波动会影响疾病的进展,这取决于动物模型和所用的细菌菌株。本研究调查了 Wistar 大鼠对通过鼻内灌注法诱导的 K. pneumoniae ATCC 43816 大叶性肺炎的性别依赖性:方法:用 K. pneumoniae ATCC 43816 通过鼻内灌注法诱导雄性和雌性 Wistar 大鼠发生实验性肺炎。通过细菌学和组织病理学检查、血液和/或肺组织的组织形态学分析以及受感染动物的体重减轻来研究该疾病的生理发病机制。此外,病变的总体严重程度由同组动物的单项评分平均值得出的总分决定:结果:肺炎克氏菌 ATCC 43816 株在诱发大叶性肺炎的能力上存在接种剂量、疾病潜伏时间和性别差异。对不同参数的评估表明,疾病在接种后第 15 天达到高峰,对雌性大鼠的致病作用更大。在 Wistar 大鼠身上观察到的这种性别依赖性差异主要体现在确定的致死剂量 50(LD50)、全血和肺组织中的细菌数量、体重减轻、炎性肉芽肿形成和弥漫性肺泡损伤。通过对肺组织病变的严重程度进行评分,确认了致病性:结论:研究结果表明,肺炎克氏菌 ATCC 43816 诱导的 Wistar 大鼠大叶性肺炎的生理发病过程与性别有关。雌性 Wistar 大鼠的易感性有助于病理学研究和传染性肺炎新疗法的临床前试验研究。
本文章由计算机程序翻译,如有差异,请以英文原文为准。
求助全文
约1分钟内获得全文 求助全文
来源期刊
Pneumonia
Pneumonia RESPIRATORY SYSTEM-
自引率
1.50%
发文量
7
审稿时长
11 weeks
期刊介绍:
×
引用
GB/T 7714-2015
复制
MLA
复制
APA
复制
导出至
BibTeX EndNote RefMan NoteFirst NoteExpress
×
提示
您的信息不完整,为了账户安全,请先补充。
现在去补充
×
提示
您因"违规操作"
具体请查看互助需知
我知道了
×
提示
确定
请完成安全验证×
copy
已复制链接
快去分享给好友吧!
我知道了
右上角分享
点击右上角分享
0
联系我们:info@booksci.cn Book学术提供免费学术资源搜索服务,方便国内外学者检索中英文文献。致力于提供最便捷和优质的服务体验。 Copyright © 2023 布克学术 All rights reserved.
京ICP备2023020795号-1
ghs 京公网安备 11010802042870号
Book学术文献互助
Book学术文献互助群
群 号:604180095
Book学术官方微信