The Tunnelled Atrial Catheter: A Promising Solution for Vascular Capital Depletion in Dialysis despite Associated Thrombi.

Case Reports in Nephrology Pub Date : 2024-03-15 eCollection Date: 2024-01-01 DOI:10.1155/2024/5219914
Meriam Hajji, Salah Saied, Ikram Mami, Yassine Khadhar, Tasnim Ben Ayed, Imen Gorsane, Fethi Ben Hamida, Jalel Ziadi, Mohamed Karim Zouaghi, Ezzeddine Abderrahim
{"title":"The Tunnelled Atrial Catheter: A Promising Solution for Vascular Capital Depletion in Dialysis despite Associated Thrombi.","authors":"Meriam Hajji, Salah Saied, Ikram Mami, Yassine Khadhar, Tasnim Ben Ayed, Imen Gorsane, Fethi Ben Hamida, Jalel Ziadi, Mohamed Karim Zouaghi, Ezzeddine Abderrahim","doi":"10.1155/2024/5219914","DOIUrl":null,"url":null,"abstract":"<p><strong>Introduction: </strong>Longer survival in dialysis led to a higher incidence of vascular access complications and failure. With the limited access to kidney transplantation programs and peritoneal dialysis, exhaustion of vascular access for hemodialysis is an increasingly common situation. Among the available options, atrial tunneled dialysis catheter (ATDC) has been reported as an effective vascular access in this population. <i>Methodology</i>. We report the experiences of two nephrology centers in Tunis with ATDC as an ultimate vascular access for dialysis. <i>Case Reports</i>. Two patients with exhausted vasculature underwent ATDC insertion in 2020 and 2022, respectively, as a vascular access of last resort. Both patients underwent CRBI, which resolved with favorable outcomes. One case was complicated by post-operative thrombosis and was successfully treated with thrombolysis. Both patients are currently on dialysis via their ATDC with a catheter patency of 29 months.</p><p><strong>Conclusion: </strong>ATDC is a life-saving and safe vascular access in cases of depleted vasculature. Little more than 50 cases have been reported in the literature during the last 30 years. As the frequency of vasculature exhaustion is expected to increase, preservation of veinous access in patients at risk of chronic kidney disease have never been more crucial.</p>","PeriodicalId":9604,"journal":{"name":"Case Reports in Nephrology","volume":"2024 ","pages":"5219914"},"PeriodicalIF":0.0000,"publicationDate":"2024-03-15","publicationTypes":"Journal Article","fieldsOfStudy":null,"isOpenAccess":false,"openAccessPdf":"https://www.ncbi.nlm.nih.gov/pmc/articles/PMC10959585/pdf/","citationCount":"0","resultStr":null,"platform":"Semanticscholar","paperid":null,"PeriodicalName":"Case Reports in Nephrology","FirstCategoryId":"1085","ListUrlMain":"https://doi.org/10.1155/2024/5219914","RegionNum":0,"RegionCategory":null,"ArticlePicture":[],"TitleCN":null,"AbstractTextCN":null,"PMCID":null,"EPubDate":"2024/1/1 0:00:00","PubModel":"eCollection","JCR":"","JCRName":"","Score":null,"Total":0}
引用次数: 0

Abstract

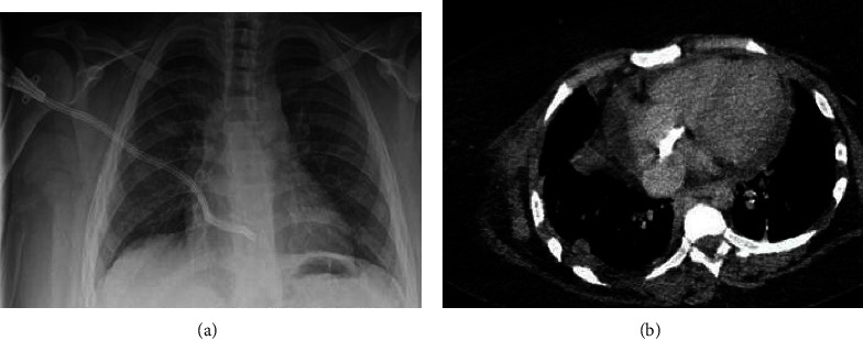
Introduction: Longer survival in dialysis led to a higher incidence of vascular access complications and failure. With the limited access to kidney transplantation programs and peritoneal dialysis, exhaustion of vascular access for hemodialysis is an increasingly common situation. Among the available options, atrial tunneled dialysis catheter (ATDC) has been reported as an effective vascular access in this population. Methodology. We report the experiences of two nephrology centers in Tunis with ATDC as an ultimate vascular access for dialysis. Case Reports. Two patients with exhausted vasculature underwent ATDC insertion in 2020 and 2022, respectively, as a vascular access of last resort. Both patients underwent CRBI, which resolved with favorable outcomes. One case was complicated by post-operative thrombosis and was successfully treated with thrombolysis. Both patients are currently on dialysis via their ATDC with a catheter patency of 29 months.

Conclusion: ATDC is a life-saving and safe vascular access in cases of depleted vasculature. Little more than 50 cases have been reported in the literature during the last 30 years. As the frequency of vasculature exhaustion is expected to increase, preservation of veinous access in patients at risk of chronic kidney disease have never been more crucial.

Abstract Image

Abstract Image

Abstract Image

隧道式心房导管:尽管伴有血栓,但仍是透析中血管资本消耗的理想解决方案。
导言:透析存活时间的延长导致血管通路并发症和失败的发生率增加。由于肾移植计划和腹膜透析的机会有限,血液透析血管通路枯竭的情况越来越常见。据报道,在现有选择中,心房隧道透析导管(ATDC)是此类人群的有效血管通路。方法。我们报告了突尼斯两家肾脏病中心使用 ATDC 作为透析最终血管通路的经验。病例报告。两名血管衰竭患者分别于 2020 年和 2022 年接受了 ATDC 植入术,作为最后的血管通路。两名患者均接受了 CRBI,结果良好。其中一例患者因术后血栓形成而并发症,成功接受了溶栓治疗。这两名患者目前都在通过 ATDC 进行透析,导管通畅时间长达 29 个月:结论:ATDC 是一种挽救生命的安全血管通路,适用于血管衰竭的病例。过去 30 年中,文献报道的病例不超过 50 例。由于血管衰竭的发生率预计会越来越高,因此为有慢性肾病风险的患者保留静脉通路从未像现在这样重要。
本文章由计算机程序翻译,如有差异,请以英文原文为准。
求助全文
约1分钟内获得全文 求助全文
来源期刊
Case Reports in Nephrology
Case Reports in Nephrology Medicine-Nephrology
CiteScore
1.70
自引率
0.00%
发文量
32
×
引用
GB/T 7714-2015
复制
MLA
复制
APA
复制
导出至
BibTeX EndNote RefMan NoteFirst NoteExpress
×
提示
您的信息不完整,为了账户安全,请先补充。
现在去补充
×
提示
您因"违规操作"
具体请查看互助需知
我知道了
×
提示
确定
请完成安全验证×
copy
已复制链接
快去分享给好友吧!
我知道了
右上角分享
点击右上角分享
0
联系我们:info@booksci.cn Book学术提供免费学术资源搜索服务,方便国内外学者检索中英文文献。致力于提供最便捷和优质的服务体验。 Copyright © 2023 布克学术 All rights reserved.
京ICP备2023020795号-1
ghs 京公网安备 11010802042870号
Book学术文献互助
Book学术文献互助群
群 号:604180095
Book学术官方微信