Overlap Syndrome of Diffuse Systemic Sclerosis, Sjögren Syndrome, and ANCA-Associated Renal-Limited Vasculitis: Three Entities in One Patient - Case Report.

IF 0.9 Q4 UROLOGY & NEPHROLOGY
Case Reports in Nephrology and Dialysis Pub Date : 2024-03-22 eCollection Date: 2024-01-01 DOI:10.1159/000537873
Angela Maria Cordoba-Hurtado, Laura Fuentes-Mendez, Lucia Monserrat Perez-Navarro, Virgilia Soto-Abraham, Rafael Valdez-Ortiz
{"title":"Overlap Syndrome of Diffuse Systemic Sclerosis, Sjögren Syndrome, and ANCA-Associated Renal-Limited Vasculitis: Three Entities in One Patient - Case Report.","authors":"Angela Maria Cordoba-Hurtado, Laura Fuentes-Mendez, Lucia Monserrat Perez-Navarro, Virgilia Soto-Abraham, Rafael Valdez-Ortiz","doi":"10.1159/000537873","DOIUrl":null,"url":null,"abstract":"<p><strong>Introduction: </strong>The presence of three different entities in a single patient is usually of clinical interest and mostly anecdotal. The overlap of systemic sclerosis (SSc), Sjögren syndrome (SS), and ANCA-associated renal-limited vasculitis has been reported only once previously.</p><p><strong>Case presentation: </strong>A 61-year-old female was evaluated at consultation with 2 years of symptomatology, presenting cardboard-like skin, sclerodactyly, limited oral opening, and dry skin and eyes. She was admitted for progressive renal failure (serum creatinine, 5.5 mg/dL). Her serology work-up showed positive anti-SCL-70, anti-Ro, anti-La, anti-MPO, and antinuclear antibodies. Renal biopsy was performed and confirmed histological findings for SSc, SS, and ANCA-associated vasculitis with active extracapillary glomerulonephritis with fibrous predominance (EUVAS-Berden sclerotic class), active tubulointerstitial nephritis, focal tubular injury, and moderate chronic arteriolopathy. Treatment with 6 monthly doses of methylprednisolone and cyclophosphamide was established. At the last follow-up, the patient maintained a stable serum creatinine level of 2.6 mg/dL and had decreased proteinuria, no erythrocyturia, and no requirement for renal replacement therapy.</p><p><strong>Conclusion: </strong>Systemic sclerosis is a rare autoimmune disease; nevertheless, overlap with Sjögren syndrome is relatively common, although its association with ANCA vasculitis is anecdotal. Diagnostic integration presents a challenge for nephrologists to define the prognosis and a specific treatment.</p>","PeriodicalId":9599,"journal":{"name":"Case Reports in Nephrology and Dialysis","volume":"14 1","pages":"48-55"},"PeriodicalIF":0.9000,"publicationDate":"2024-03-22","publicationTypes":"Journal Article","fieldsOfStudy":null,"isOpenAccess":false,"openAccessPdf":"https://www.ncbi.nlm.nih.gov/pmc/articles/PMC10959543/pdf/","citationCount":"0","resultStr":null,"platform":"Semanticscholar","paperid":null,"PeriodicalName":"Case Reports in Nephrology and Dialysis","FirstCategoryId":"1085","ListUrlMain":"https://doi.org/10.1159/000537873","RegionNum":0,"RegionCategory":null,"ArticlePicture":[],"TitleCN":null,"AbstractTextCN":null,"PMCID":null,"EPubDate":"2024/1/1 0:00:00","PubModel":"eCollection","JCR":"Q4","JCRName":"UROLOGY & NEPHROLOGY","Score":null,"Total":0}
引用次数: 0

Abstract

Introduction: The presence of three different entities in a single patient is usually of clinical interest and mostly anecdotal. The overlap of systemic sclerosis (SSc), Sjögren syndrome (SS), and ANCA-associated renal-limited vasculitis has been reported only once previously.

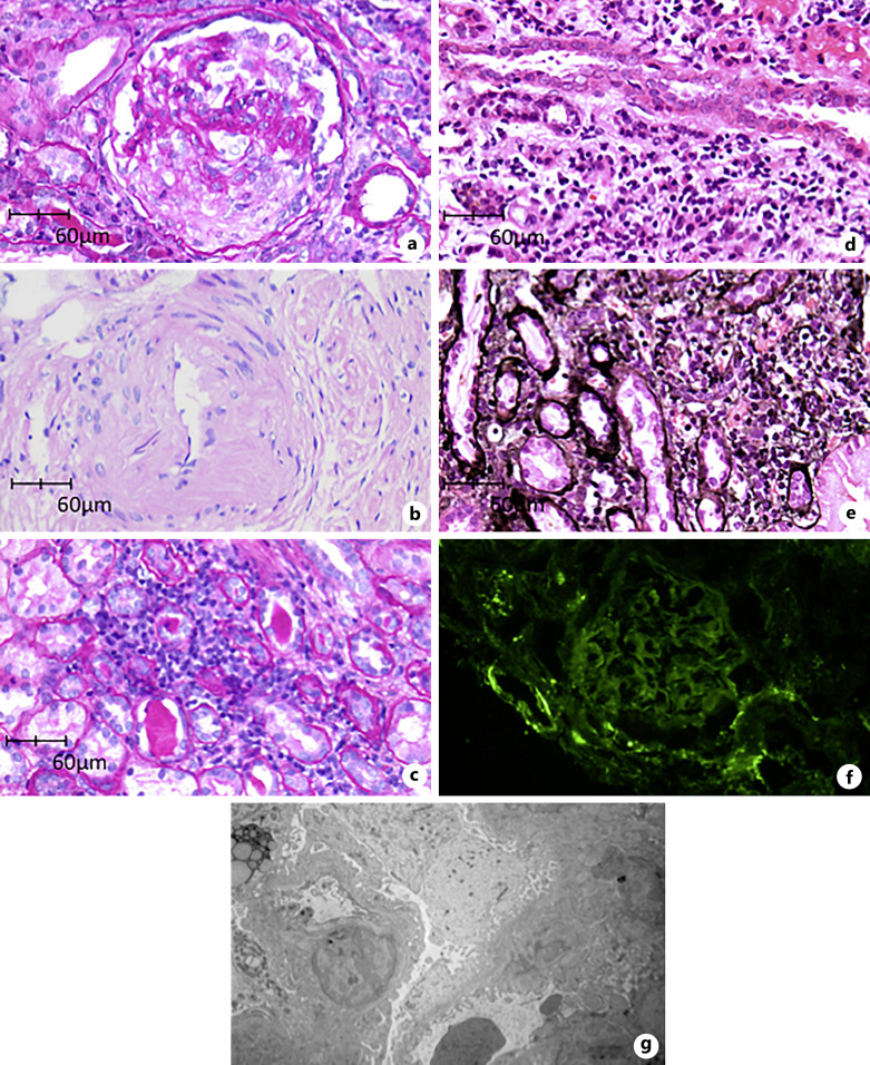
Case presentation: A 61-year-old female was evaluated at consultation with 2 years of symptomatology, presenting cardboard-like skin, sclerodactyly, limited oral opening, and dry skin and eyes. She was admitted for progressive renal failure (serum creatinine, 5.5 mg/dL). Her serology work-up showed positive anti-SCL-70, anti-Ro, anti-La, anti-MPO, and antinuclear antibodies. Renal biopsy was performed and confirmed histological findings for SSc, SS, and ANCA-associated vasculitis with active extracapillary glomerulonephritis with fibrous predominance (EUVAS-Berden sclerotic class), active tubulointerstitial nephritis, focal tubular injury, and moderate chronic arteriolopathy. Treatment with 6 monthly doses of methylprednisolone and cyclophosphamide was established. At the last follow-up, the patient maintained a stable serum creatinine level of 2.6 mg/dL and had decreased proteinuria, no erythrocyturia, and no requirement for renal replacement therapy.

Conclusion: Systemic sclerosis is a rare autoimmune disease; nevertheless, overlap with Sjögren syndrome is relatively common, although its association with ANCA vasculitis is anecdotal. Diagnostic integration presents a challenge for nephrologists to define the prognosis and a specific treatment.

Abstract Image

Abstract Image

Abstract Image

弥漫性系统性硬化症、斯约格伦综合征和 ANCA 相关性肾局限性血管炎的重叠综合征:一名患者的三种实体--病例报告。
导言:在一名患者身上同时出现三种不同的病症通常会引起临床关注,而且多为传闻。系统性硬化症(SSc)、斯约格伦综合征(SS)和ANCA相关性肾局限性血管炎的重叠病例此前仅有过一次报道:一名 61 岁的女性就诊时已出现 2 年的症状,表现为纸板样皮肤、硬结、口腔张开受限、皮肤和眼睛干燥。她因进行性肾功能衰竭(血清肌酐为 5.5 毫克/分升)入院。她的血清学检查显示抗SCL-70、抗Ro、抗La、抗MPO和抗核抗体阳性。对她进行了肾活检,组织学检查结果证实她患有 SSc、SS 和 ANCA 相关性血管炎,并伴有以纤维素为主的活动性毛细血管外肾小球肾炎(EUVAS-Berden 硬化分级)、活动性肾小管间质性肾炎、局灶性肾小管损伤和中度慢性动脉病变。患者接受了每月 6 次的甲基强的松龙和环磷酰胺治疗。最后一次随访时,患者的血清肌酐水平稳定在 2.6 毫克/分升,蛋白尿减少,无红细胞尿,无需肾脏替代治疗:结论:系统性硬化症是一种罕见的自身免疫性疾病,但与斯约格伦综合征重叠的情况相对常见,尽管其与ANCA血管炎的关联只是传闻。诊断上的整合给肾病学家确定预后和具体治疗方法带来了挑战。
本文章由计算机程序翻译,如有差异,请以英文原文为准。
求助全文
约1分钟内获得全文 求助全文
来源期刊
CiteScore
1.20
自引率
0.00%
发文量
36
审稿时长
10 weeks
期刊介绍: This peer-reviewed online-only journal publishes original case reports covering the entire spectrum of nephrology and dialysis, including genetic susceptibility, clinical presentation, diagnosis, treatment or prevention, toxicities of therapy, critical care, supportive care, quality-of-life and survival issues. The journal will also accept case reports dealing with the use of novel technologies, both in the arena of diagnosis and treatment. Supplementary material is welcomed.
×
引用
GB/T 7714-2015
复制
MLA
复制
APA
复制
导出至
BibTeX EndNote RefMan NoteFirst NoteExpress
×
提示
您的信息不完整,为了账户安全,请先补充。
现在去补充
×
提示
您因"违规操作"
具体请查看互助需知
我知道了
×
提示
确定
请完成安全验证×
copy
已复制链接
快去分享给好友吧!
我知道了
右上角分享
点击右上角分享
0
联系我们:info@booksci.cn Book学术提供免费学术资源搜索服务,方便国内外学者检索中英文文献。致力于提供最便捷和优质的服务体验。 Copyright © 2023 布克学术 All rights reserved.
京ICP备2023020795号-1
ghs 京公网安备 11010802042870号
Book学术文献互助
Book学术文献互助群
群 号:604180095
Book学术官方微信