Silver carboxylate-TiO2/polydimethyl siloxane is a safe and effective antimicrobial with significant wound care potential.

Sai Allu, Colin Whitaker, Benjamin Stone, Neel Vishwanath, Drew Clippert, Elia Jouffroy, Valentin Antoci, Christopher Born, Dioscaris R Garcia
{"title":"Silver carboxylate-TiO<sub>2</sub>/polydimethyl siloxane is a safe and effective antimicrobial with significant wound care potential.","authors":"Sai Allu, Colin Whitaker, Benjamin Stone, Neel Vishwanath, Drew Clippert, Elia Jouffroy, Valentin Antoci, Christopher Born, Dioscaris R Garcia","doi":"10.1097/OI9.0000000000000299","DOIUrl":null,"url":null,"abstract":"<p><strong>Introduction: </strong>With the rise in antibiotic resistance, new methodologies are needed to combat musculoskeletal infections. Silver is an antimicrobial that can be synthesized in different forms, but its pharmacokinetics are difficult to control. This study details the antibacterial efficacy and cellular cytotoxicity of a formulation consisting of silver carboxylate (AgCar) released through a titanium dioxide/polydimethylsiloxane matrix with a predictable release profile on <i>Pseudomonas aeruginosa</i>, <i>Acinetobacterium baumannii</i>, <i>and</i> human-derived primary osteoblasts.</p><p><strong>Methods: </strong>Through an Institutional Animal Care and Use Committee and IRB-approved protocol, AgCar was applied to live Yucatan porcine skin and histologically analyzed for skin penetration. Graphite Furnace Atomic Absorption Spectroscopy (GFAAS) was used to measure elution of AgCar. Dose-response curves were generated through optical density to assess potency. Finally, 3-(4,5-dimethylthiazol-2-yl)-2,5-diphenyltetrazolium bromide assay was used to quantify the cellular cytotoxicity of the novel formulation. The results were subject to statistical analysis using analysis of variance and post hoc Tukey tests.</p><p><strong>Results: </strong>The silver carboxylate coating demonstrated deep penetration into the epithelium at the level of the deep pilosebaceous glands in animal models. GFAAS testing demonstrated the extended elution profile of silver carboxylate over 96 hours, while 100% silver with no titanium dioxide-polydimethylsiloxane matrix fully eluted within 48 hours. 10x silver carboxylate demonstrated superior antimicrobial activity to antibiotics and other silver formulations and showed minimal cytotoxicity compared with other silver formulations.</p><p><strong>Discussion/clinical relevance: </strong>Current antimicrobial therapies in wound care and surgical antisepsis, such as chlorhexidine gluconate, have pitfalls including poor skin penetration and short duration of efficacy. The broad antimicrobial activity, extended elution, and deep skin penetration of this AgCar formulation show great promise for surgical site infection and wound care treatment. Novel technology to fight the growing threat of microbial resistance should be at the forefront of orthopaedic surgical site infection prevention and treatment.</p>","PeriodicalId":74381,"journal":{"name":"OTA international : the open access journal of orthopaedic trauma","volume":"7 2 Suppl","pages":"e299"},"PeriodicalIF":0.0000,"publicationDate":"2024-03-11","publicationTypes":"Journal Article","fieldsOfStudy":null,"isOpenAccess":false,"openAccessPdf":"https://www.ncbi.nlm.nih.gov/pmc/articles/PMC10936150/pdf/","citationCount":"0","resultStr":null,"platform":"Semanticscholar","paperid":null,"PeriodicalName":"OTA international : the open access journal of orthopaedic trauma","FirstCategoryId":"1085","ListUrlMain":"https://doi.org/10.1097/OI9.0000000000000299","RegionNum":0,"RegionCategory":null,"ArticlePicture":[],"TitleCN":null,"AbstractTextCN":null,"PMCID":null,"EPubDate":"2024/3/1 0:00:00","PubModel":"eCollection","JCR":"","JCRName":"","Score":null,"Total":0}
引用次数: 0

Abstract

Introduction: With the rise in antibiotic resistance, new methodologies are needed to combat musculoskeletal infections. Silver is an antimicrobial that can be synthesized in different forms, but its pharmacokinetics are difficult to control. This study details the antibacterial efficacy and cellular cytotoxicity of a formulation consisting of silver carboxylate (AgCar) released through a titanium dioxide/polydimethylsiloxane matrix with a predictable release profile on Pseudomonas aeruginosa, Acinetobacterium baumannii, and human-derived primary osteoblasts.

Methods: Through an Institutional Animal Care and Use Committee and IRB-approved protocol, AgCar was applied to live Yucatan porcine skin and histologically analyzed for skin penetration. Graphite Furnace Atomic Absorption Spectroscopy (GFAAS) was used to measure elution of AgCar. Dose-response curves were generated through optical density to assess potency. Finally, 3-(4,5-dimethylthiazol-2-yl)-2,5-diphenyltetrazolium bromide assay was used to quantify the cellular cytotoxicity of the novel formulation. The results were subject to statistical analysis using analysis of variance and post hoc Tukey tests.

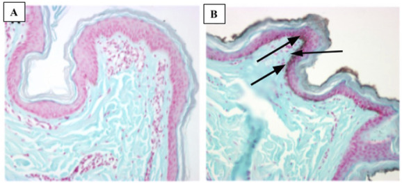
Results: The silver carboxylate coating demonstrated deep penetration into the epithelium at the level of the deep pilosebaceous glands in animal models. GFAAS testing demonstrated the extended elution profile of silver carboxylate over 96 hours, while 100% silver with no titanium dioxide-polydimethylsiloxane matrix fully eluted within 48 hours. 10x silver carboxylate demonstrated superior antimicrobial activity to antibiotics and other silver formulations and showed minimal cytotoxicity compared with other silver formulations.

Discussion/clinical relevance: Current antimicrobial therapies in wound care and surgical antisepsis, such as chlorhexidine gluconate, have pitfalls including poor skin penetration and short duration of efficacy. The broad antimicrobial activity, extended elution, and deep skin penetration of this AgCar formulation show great promise for surgical site infection and wound care treatment. Novel technology to fight the growing threat of microbial resistance should be at the forefront of orthopaedic surgical site infection prevention and treatment.

Abstract Image

Abstract Image

Abstract Image

羧酸银-二氧化钛/聚二甲基硅氧烷是一种安全有效的抗菌剂,具有显著的伤口护理潜力。
导言:随着抗生素耐药性的增加,我们需要新的方法来防治肌肉骨骼感染。银是一种可以以不同形式合成的抗菌剂,但其药代动力学很难控制。本研究详细介绍了一种通过二氧化钛/聚二甲基硅氧烷基质释放的羧酸银(AgCar)制剂的抗菌功效和细胞毒性,该制剂对铜绿假单胞菌、鲍曼不动杆菌和人源性原发性成骨细胞具有可预测的释放曲线:通过动物护理与使用机构委员会和 IRB 批准的方案,将 AgCar 应用于活体尤卡坦猪皮肤,并对皮肤渗透进行组织学分析。使用石墨炉原子吸收光谱(GFAAS)测量 AgCar 的洗脱。通过光密度生成剂量反应曲线,以评估药效。最后,采用 3-(4,5-二甲基噻唑-2-基)-2,5-二苯基溴化四氮唑测定法对新型制剂的细胞毒性进行量化。结果采用方差分析和事后 Tukey 检验进行统计分析:结果:在动物模型中,羧酸银涂层能深入皮脂腺深层上皮细胞。GFAAS 测试表明,羧酸银的洗脱时间超过 96 小时,而不含二氧化钛-聚二甲基硅氧烷基质的 100% 银在 48 小时内完全洗脱。10 倍羧酸银的抗菌活性优于抗生素和其他银制剂,与其他银制剂相比,其细胞毒性极小:目前用于伤口护理和手术防腐的抗菌疗法(如葡萄糖酸氯己定等)存在皮肤渗透性差、药效持续时间短等缺陷。这种 AgCar 制剂具有广泛的抗菌活性、洗脱时间长、皮肤渗透深,因此在手术部位感染和伤口护理治疗方面大有可为。在骨科手术部位感染的预防和治疗中,采用新技术来应对日益严重的微生物耐药性威胁应该是最重要的。
本文章由计算机程序翻译,如有差异,请以英文原文为准。
求助全文
约1分钟内获得全文 求助全文
来源期刊
自引率
0.00%
发文量
0
审稿时长
4 weeks
×
引用
GB/T 7714-2015
复制
MLA
复制
APA
复制
导出至
BibTeX EndNote RefMan NoteFirst NoteExpress
×
提示
您的信息不完整,为了账户安全,请先补充。
现在去补充
×
提示
您因"违规操作"
具体请查看互助需知
我知道了
×
提示
确定
请完成安全验证×
copy
已复制链接
快去分享给好友吧!
我知道了
右上角分享
点击右上角分享
0
联系我们:info@booksci.cn Book学术提供免费学术资源搜索服务,方便国内外学者检索中英文文献。致力于提供最便捷和优质的服务体验。 Copyright © 2023 布克学术 All rights reserved.
京ICP备2023020795号-1
ghs 京公网安备 11010802042870号
Book学术文献互助
Book学术文献互助群
群 号:604180095
Book学术官方微信