Optic nerve haemangioblastoma in association with von Hippel-Lindau syndrome: case report and literature review.

IF 0.5 Q4 RADIOLOGY, NUCLEAR MEDICINE & MEDICAL IMAGING
BJR Case Reports Pub Date : 2024-02-12 eCollection Date: 2024-03-01 DOI:10.1093/bjrcr/uaae007
Juan David Vásquez Montoya, Jorge Mario Velez, Melisa Naranjo Vanegas, Natalia Montes Jimenez
{"title":"Optic nerve haemangioblastoma in association with von Hippel-Lindau syndrome: case report and literature review.","authors":"Juan David Vásquez Montoya, Jorge Mario Velez, Melisa Naranjo Vanegas, Natalia Montes Jimenez","doi":"10.1093/bjrcr/uaae007","DOIUrl":null,"url":null,"abstract":"<p><p>Optic nerve haemangioblastoma (ONH) is an uncommon, benign, non-meningothelial, mesenchymal tumour of unclear origin. Most are associated with von Hippel-Lindau (VHL) syndrome (71%), and only 40 cases have been reported in the medical literature. Most of the patients develop non-specific visual symptoms, including decreased visual acuity and/or loss of visual fields, exophthalmos, trigeminal neuralgia, and retroorbital pain. Optic nerve sheath meningioma and optic nerve glioma are among the differential diagnoses that may be considered in this location. Contrast-enhanced MRI is considered an optimal diagnostic tool, which helps to determine some characteristics that guide towards an adequate diagnosis and treatment. We present a 42-year-old patient with a history of VHL syndrome in whom a cerebellar lesion and optic nerve lesions were evidenced, and we did a review of the literature and case analysis.</p>","PeriodicalId":45216,"journal":{"name":"BJR Case Reports","volume":"10 2","pages":"uaae007"},"PeriodicalIF":0.5000,"publicationDate":"2024-02-12","publicationTypes":"Journal Article","fieldsOfStudy":null,"isOpenAccess":false,"openAccessPdf":"https://www.ncbi.nlm.nih.gov/pmc/articles/PMC10937900/pdf/","citationCount":"0","resultStr":null,"platform":"Semanticscholar","paperid":null,"PeriodicalName":"BJR Case Reports","FirstCategoryId":"1085","ListUrlMain":"https://doi.org/10.1093/bjrcr/uaae007","RegionNum":0,"RegionCategory":null,"ArticlePicture":[],"TitleCN":null,"AbstractTextCN":null,"PMCID":null,"EPubDate":"2024/3/1 0:00:00","PubModel":"eCollection","JCR":"Q4","JCRName":"RADIOLOGY, NUCLEAR MEDICINE & MEDICAL IMAGING","Score":null,"Total":0}
引用次数: 0

Abstract

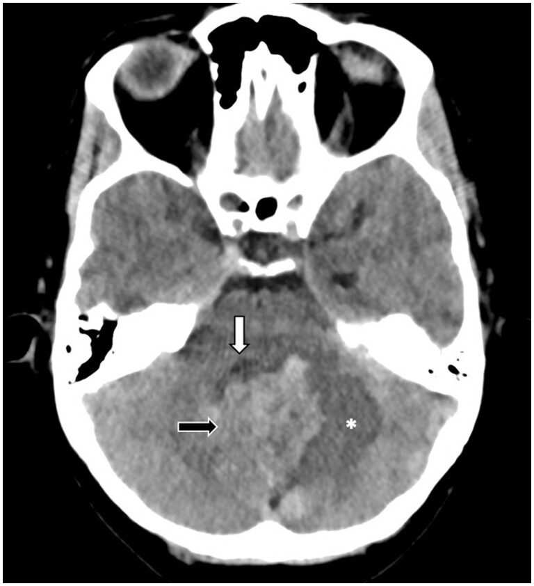
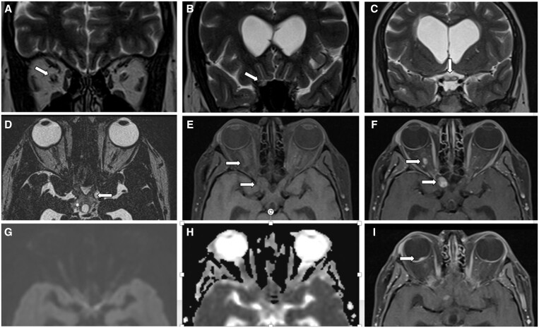
Optic nerve haemangioblastoma (ONH) is an uncommon, benign, non-meningothelial, mesenchymal tumour of unclear origin. Most are associated with von Hippel-Lindau (VHL) syndrome (71%), and only 40 cases have been reported in the medical literature. Most of the patients develop non-specific visual symptoms, including decreased visual acuity and/or loss of visual fields, exophthalmos, trigeminal neuralgia, and retroorbital pain. Optic nerve sheath meningioma and optic nerve glioma are among the differential diagnoses that may be considered in this location. Contrast-enhanced MRI is considered an optimal diagnostic tool, which helps to determine some characteristics that guide towards an adequate diagnosis and treatment. We present a 42-year-old patient with a history of VHL syndrome in whom a cerebellar lesion and optic nerve lesions were evidenced, and we did a review of the literature and case analysis.

Abstract Image

Abstract Image

Abstract Image

伴有冯-希佩尔-林道综合征的视神经血管母细胞瘤:病例报告和文献综述。
视神经血管母细胞瘤(ONH)是一种不常见、良性、非脑膜上皮性、间质肿瘤,起源不清。大多数与冯-希佩尔-林道(Von Hippel-Lindau,VHL)综合征(71%)有关,医学文献中仅报道过 40 例。大多数患者会出现非特异性视觉症状,包括视力下降和/或视野缺损、眼球外翻、三叉神经痛和眶后疼痛。视神经鞘脑膜瘤和视神经胶质瘤是这种病变可能考虑的鉴别诊断之一。对比增强磁共振成像被认为是一种最佳诊断工具,有助于确定一些特征,从而指导适当的诊断和治疗。我们对一名42岁的患者进行了文献回顾和病例分析,该患者有VHL综合征病史,小脑病变和视神经病变。
本文章由计算机程序翻译,如有差异,请以英文原文为准。
求助全文
约1分钟内获得全文 求助全文
来源期刊
BJR Case Reports
BJR Case Reports RADIOLOGY, NUCLEAR MEDICINE & MEDICAL IMAGING-
自引率
0.00%
发文量
77
审稿时长
11 weeks
×
引用
GB/T 7714-2015
复制
MLA
复制
APA
复制
导出至
BibTeX EndNote RefMan NoteFirst NoteExpress
×
提示
您的信息不完整,为了账户安全,请先补充。
现在去补充
×
提示
您因"违规操作"
具体请查看互助需知
我知道了
×
提示
确定
请完成安全验证×
copy
已复制链接
快去分享给好友吧!
我知道了
右上角分享
点击右上角分享
0
联系我们:info@booksci.cn Book学术提供免费学术资源搜索服务,方便国内外学者检索中英文文献。致力于提供最便捷和优质的服务体验。 Copyright © 2023 布克学术 All rights reserved.
京ICP备2023020795号-1
ghs 京公网安备 11010802042870号
Book学术文献互助
Book学术文献互助群
群 号:604180095
Book学术官方微信