Masturbation-induced presyncope: a case report of painless aortic dissection in immunoglobulin G4-related disease.

IF 2.3 Q2 EMERGENCY MEDICINE
Clinical and Experimental Emergency Medicine Pub Date : 2025-03-01 Epub Date: 2024-03-15 DOI:10.15441/ceem.23.182
Charles Sanky, Nidhish Sasi
{"title":"Masturbation-induced presyncope: a case report of painless aortic dissection in immunoglobulin G4-related disease.","authors":"Charles Sanky, Nidhish Sasi","doi":"10.15441/ceem.23.182","DOIUrl":null,"url":null,"abstract":"<p><p>This case concerns a 59-year-old male patient with a medical history of hypertension, chronic renal insufficiency, and autoimmune pancreatitis secondary to immunoglobulin G4 (IgG4)-related disease, who was on chronic steroid treatment. The patient experienced acute onset of lightheadedness, a tingling sensation in both hands, and jaw tightness after masturbating. He was found to have type A aortic dissection. This is the first case of its kind to document an atypical, painless aortic dissection presentation in a patient with IgG4-related disease. This piece explores how the fibroinflammatory sequelae of IgG4-related disease can result in aortic manifestations and discusses the importance of considering a broader differential including aortic syndrome when encountering patients presenting with atypical symptoms.</p>","PeriodicalId":10325,"journal":{"name":"Clinical and Experimental Emergency Medicine","volume":" ","pages":"86-89"},"PeriodicalIF":2.3000,"publicationDate":"2025-03-01","publicationTypes":"Journal Article","fieldsOfStudy":null,"isOpenAccess":false,"openAccessPdf":"https://www.ncbi.nlm.nih.gov/pmc/articles/PMC12010808/pdf/","citationCount":"0","resultStr":null,"platform":"Semanticscholar","paperid":null,"PeriodicalName":"Clinical and Experimental Emergency Medicine","FirstCategoryId":"1085","ListUrlMain":"https://doi.org/10.15441/ceem.23.182","RegionNum":0,"RegionCategory":null,"ArticlePicture":[],"TitleCN":null,"AbstractTextCN":null,"PMCID":null,"EPubDate":"2024/3/15 0:00:00","PubModel":"Epub","JCR":"Q2","JCRName":"EMERGENCY MEDICINE","Score":null,"Total":0}
引用次数: 0

Abstract

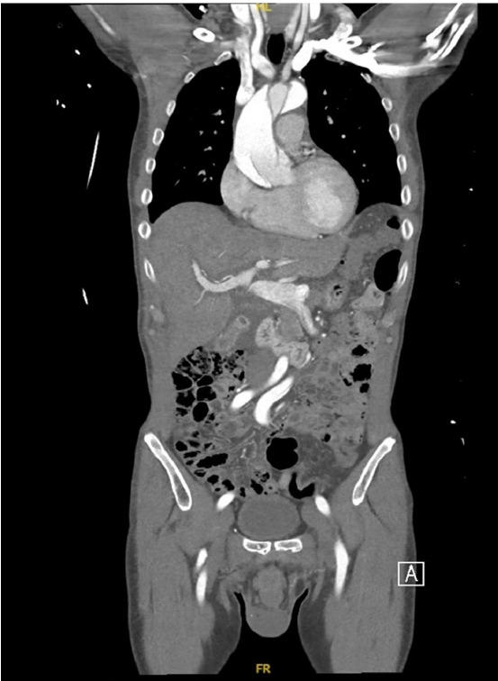
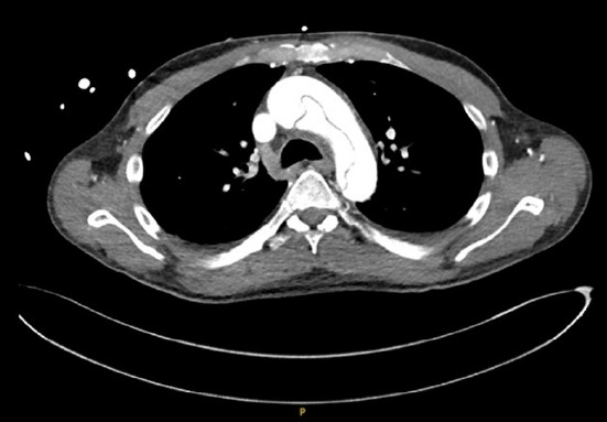
This case concerns a 59-year-old male patient with a medical history of hypertension, chronic renal insufficiency, and autoimmune pancreatitis secondary to immunoglobulin G4 (IgG4)-related disease, who was on chronic steroid treatment. The patient experienced acute onset of lightheadedness, a tingling sensation in both hands, and jaw tightness after masturbating. He was found to have type A aortic dissection. This is the first case of its kind to document an atypical, painless aortic dissection presentation in a patient with IgG4-related disease. This piece explores how the fibroinflammatory sequelae of IgG4-related disease can result in aortic manifestations and discusses the importance of considering a broader differential including aortic syndrome when encountering patients presenting with atypical symptoms.

Abstract Image

Abstract Image

手淫诱发的预震:IgG4相关疾病中的一例无痛性主动脉夹层
本病例涉及一名 59 岁男性,既往有高血压、慢性肾功能不全和继发于 IgG4 相关疾病的自身免疫性胰腺炎病史,长期服用类固醇。患者在手淫时突然感到头晕、双手刺痛和下颌发紧。他被发现患有 A 型主动脉夹层。这是首例记录 IgG4 相关疾病患者非典型、无痛性主动脉夹层表现的病例。这篇文章探讨了 IgG4 相关疾病的纤维炎症后遗症如何会导致主动脉表现,并讨论了在遇到出现不典型症状的患者时考虑包括主动脉综合征在内的更广泛鉴别的重要性。
本文章由计算机程序翻译,如有差异,请以英文原文为准。
求助全文
约1分钟内获得全文 求助全文
来源期刊
CiteScore
2.80
自引率
10.50%
发文量
59
×
引用
GB/T 7714-2015
复制
MLA
复制
APA
复制
导出至
BibTeX EndNote RefMan NoteFirst NoteExpress
×
提示
您的信息不完整,为了账户安全,请先补充。
现在去补充
×
提示
您因"违规操作"
具体请查看互助需知
我知道了
×
提示
确定
请完成安全验证×
copy
已复制链接
快去分享给好友吧!
我知道了
右上角分享
点击右上角分享
0
联系我们:info@booksci.cn Book学术提供免费学术资源搜索服务,方便国内外学者检索中英文文献。致力于提供最便捷和优质的服务体验。 Copyright © 2023 布克学术 All rights reserved.
京ICP备2023020795号-1
ghs 京公网安备 11010802042870号
Book学术文献互助
Book学术文献互助群
群 号:604180095
Book学术官方微信