Experience with the Ketogenic Diet in a Boy with CLCN4 Related Neurodevelopmental Disorder.

IF 0.9 4区 医学 Q4 GENETICS & HEREDITY
Balkan Journal of Medical Genetics Pub Date : 2024-03-12 eCollection Date: 2023-12-01 DOI:10.2478/bjmg-2023-0013
G Sager, U Yukselmis, O Güzel, A Turkyilmaz, M Akcay
{"title":"Experience with the Ketogenic Diet in a Boy with <i>CLCN4</i> Related Neurodevelopmental Disorder.","authors":"G Sager, U Yukselmis, O Güzel, A Turkyilmaz, M Akcay","doi":"10.2478/bjmg-2023-0013","DOIUrl":null,"url":null,"abstract":"<p><p>Raynaud-Claes syndrome is rare condition characterized with intellectual disability and is caused by X-linked pathogenic variants in <i>CLCN4</i> gene. Hemizygous missense variant NM_001830.4: c.1597G>A (p.V533M) was detected in a 6-year-old male followed up with intellectual disability, dysmorphism, and epileptic encephalopathy. The mother and one sister of the patient were also carrying the same variant. The clinical picture of the patient was significantly more severe, and the patient exhibited nonconvulsive status. Tonic status was observed with benzodiazepine treatment and the patient was successfully treated with a ketogenic diet. Many types of seizures can be seen in Raynaud-Claes syndrome, some of which can be life-threatening. <i>CLCN4</i> variants can be investigated in patients who exhibit an increase in tonic seizures with benzodiazepine treatment. However, ketogenic dietary therapy as first-line treatment can be lifesaving in resistant epilepsy cases caused by the <i>CLCN4</i> gene.</p>","PeriodicalId":55403,"journal":{"name":"Balkan Journal of Medical Genetics","volume":"26 2","pages":"77-82"},"PeriodicalIF":0.9000,"publicationDate":"2024-03-12","publicationTypes":"Journal Article","fieldsOfStudy":null,"isOpenAccess":false,"openAccessPdf":"https://www.ncbi.nlm.nih.gov/pmc/articles/PMC10932601/pdf/","citationCount":"0","resultStr":null,"platform":"Semanticscholar","paperid":null,"PeriodicalName":"Balkan Journal of Medical Genetics","FirstCategoryId":"3","ListUrlMain":"https://doi.org/10.2478/bjmg-2023-0013","RegionNum":4,"RegionCategory":"医学","ArticlePicture":[],"TitleCN":null,"AbstractTextCN":null,"PMCID":null,"EPubDate":"2023/12/1 0:00:00","PubModel":"eCollection","JCR":"Q4","JCRName":"GENETICS & HEREDITY","Score":null,"Total":0}
引用次数: 0

Abstract

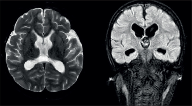
Raynaud-Claes syndrome is rare condition characterized with intellectual disability and is caused by X-linked pathogenic variants in CLCN4 gene. Hemizygous missense variant NM_001830.4: c.1597G>A (p.V533M) was detected in a 6-year-old male followed up with intellectual disability, dysmorphism, and epileptic encephalopathy. The mother and one sister of the patient were also carrying the same variant. The clinical picture of the patient was significantly more severe, and the patient exhibited nonconvulsive status. Tonic status was observed with benzodiazepine treatment and the patient was successfully treated with a ketogenic diet. Many types of seizures can be seen in Raynaud-Claes syndrome, some of which can be life-threatening. CLCN4 variants can be investigated in patients who exhibit an increase in tonic seizures with benzodiazepine treatment. However, ketogenic dietary therapy as first-line treatment can be lifesaving in resistant epilepsy cases caused by the CLCN4 gene.

Abstract Image

Abstract Image

一名患有 CLCN4 相关神经发育障碍的男孩的生酮饮食经验。
雷诺-克莱斯综合征(Raynaud-Claes Syndrome)是一种以智力障碍为特征的罕见疾病,由 CLCN4 基因的 X 连锁致病变体引起。在一名患有智力障碍、畸形和癫痫性脑病的 6 岁男性随访患者中,发现了半等位错义变体 NM_001830.4:c.1597G>A (p.V533M)。患者的母亲和一个姐姐也携带相同的变异体。患者的临床表现明显更严重,表现为非惊厥状态。使用苯二氮卓治疗后,患者出现强直状态,并成功接受了生酮饮食治疗。雷诺-克莱斯综合征可出现多种类型的癫痫发作,其中一些可能危及生命。如果患者在接受苯二氮卓治疗后出现强直性发作增加,则可对其 CLCN4 变异进行研究。然而,生酮饮食疗法作为一线治疗方法可以挽救由 CLCN4 基因引起的耐药性癫痫患者的生命。
本文章由计算机程序翻译,如有差异,请以英文原文为准。
求助全文
约1分钟内获得全文 求助全文
来源期刊
CiteScore
1.00
自引率
0.00%
发文量
0
审稿时长
>12 weeks
期刊介绍: Balkan Journal of Medical Genetics is a journal in the English language for publication of articles involving all branches of medical genetics: human cytogenetics, molecular genetics, clinical genetics, immunogenetics, oncogenetics, pharmacogenetics, population genetics, genetic screening and diagnosis of monogenic and polygenic diseases, prenatal and preimplantation genetic diagnosis, genetic counselling, advances in treatment and prevention.
×
引用
GB/T 7714-2015
复制
MLA
复制
APA
复制
导出至
BibTeX EndNote RefMan NoteFirst NoteExpress
×
提示
您的信息不完整,为了账户安全,请先补充。
现在去补充
×
提示
您因"违规操作"
具体请查看互助需知
我知道了
×
提示
确定
请完成安全验证×
copy
已复制链接
快去分享给好友吧!
我知道了
右上角分享
点击右上角分享
0
联系我们:info@booksci.cn Book学术提供免费学术资源搜索服务,方便国内外学者检索中英文文献。致力于提供最便捷和优质的服务体验。 Copyright © 2023 布克学术 All rights reserved.
京ICP备2023020795号-1
ghs 京公网安备 11010802042870号
Book学术文献互助
Book学术文献互助群
群 号:604180095
Book学术官方微信