Expanding the Phenotypic Spectrum: Chronic Kidney Disease in a Patient with Combined Oxidative Phosphorylation Defect 21.

IF 0.9 4区 医学 Q4 GENETICS & HEREDITY
Balkan Journal of Medical Genetics Pub Date : 2024-03-12 eCollection Date: 2023-12-01 DOI:10.2478/bjmg-2023-0016
A Paripović, A Maver, N Stajić, J Putnik, S Ostojić, B Alimpić, N Ilić, A Sarajlija
{"title":"Expanding the Phenotypic Spectrum: Chronic Kidney Disease in a Patient with Combined Oxidative Phosphorylation Defect 21.","authors":"A Paripović, A Maver, N Stajić, J Putnik, S Ostojić, B Alimpić, N Ilić, A Sarajlija","doi":"10.2478/bjmg-2023-0016","DOIUrl":null,"url":null,"abstract":"<p><strong>Introduction: </strong>Pathogenic variants in <i>TARS2</i> are associated with combined oxidative phosphorylation deficiency 21 (COXPD21), an autosomal recessive disorder usually presenting as mitochondrial encephalomyopathy. Kidney impairment has been documented in a minority of COXPD21 patients, mostly with distal renal tubular acidosis.</p><p><strong>Case report: </strong>We report on the first COXPD21 patient with generalized tubular dysfunction and early childhood progression to chronic kidney disease (CKD). Thorough diagnostic evaluation was initiated at six months of age due to failure to thrive, muscular hypotonia, motor delay and recurrent bronchiolitis. The boy was lost to follow-up until the age of two years, when he was readmitted with elevated creatinine level, reduced estimated glomerular filtrate rate, normochromic anaemia, metabolic acidosis and hyperkalaemia. Urine abnormalities pointed to generalized tubular dysfunction. Two novel heterozygous missense variants in <i>TARS2</i> gene were detected by the means of whole exome sequencing: c.1298T>G (p.Phe438Cys) of maternal origin and c.1931A>T (p.Asp644Val) of paternal origin. Currently, at 4.5 years of age, the boy has failure to thrive, severe motor and verbal delay and end stage of CKD. We referred the patient to paediatric centre that provides renal replacement therapy.</p><p><strong>Conclusion: </strong>The overall clinical course in the patient we report on corresponds well to the previously reported cases of <i>TARS2</i> related COXPD21, especially in regard to neurological and developmental aspects of the disease. However, we point out the generalized tubulopathy and early occurrence of CKD in our patient as atypical renal involvement in COXPD21. Additionally, this is the first report of hypothyroidism and hypoparathyroidism in a COXPD21 patient.</p>","PeriodicalId":55403,"journal":{"name":"Balkan Journal of Medical Genetics","volume":"26 2","pages":"59-64"},"PeriodicalIF":0.9000,"publicationDate":"2024-03-12","publicationTypes":"Journal Article","fieldsOfStudy":null,"isOpenAccess":false,"openAccessPdf":"https://www.ncbi.nlm.nih.gov/pmc/articles/PMC10932596/pdf/","citationCount":"0","resultStr":null,"platform":"Semanticscholar","paperid":null,"PeriodicalName":"Balkan Journal of Medical Genetics","FirstCategoryId":"3","ListUrlMain":"https://doi.org/10.2478/bjmg-2023-0016","RegionNum":4,"RegionCategory":"医学","ArticlePicture":[],"TitleCN":null,"AbstractTextCN":null,"PMCID":null,"EPubDate":"2023/12/1 0:00:00","PubModel":"eCollection","JCR":"Q4","JCRName":"GENETICS & HEREDITY","Score":null,"Total":0}
引用次数: 0

Abstract

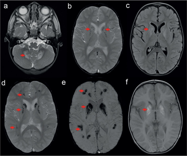
Introduction: Pathogenic variants in TARS2 are associated with combined oxidative phosphorylation deficiency 21 (COXPD21), an autosomal recessive disorder usually presenting as mitochondrial encephalomyopathy. Kidney impairment has been documented in a minority of COXPD21 patients, mostly with distal renal tubular acidosis.

Case report: We report on the first COXPD21 patient with generalized tubular dysfunction and early childhood progression to chronic kidney disease (CKD). Thorough diagnostic evaluation was initiated at six months of age due to failure to thrive, muscular hypotonia, motor delay and recurrent bronchiolitis. The boy was lost to follow-up until the age of two years, when he was readmitted with elevated creatinine level, reduced estimated glomerular filtrate rate, normochromic anaemia, metabolic acidosis and hyperkalaemia. Urine abnormalities pointed to generalized tubular dysfunction. Two novel heterozygous missense variants in TARS2 gene were detected by the means of whole exome sequencing: c.1298T>G (p.Phe438Cys) of maternal origin and c.1931A>T (p.Asp644Val) of paternal origin. Currently, at 4.5 years of age, the boy has failure to thrive, severe motor and verbal delay and end stage of CKD. We referred the patient to paediatric centre that provides renal replacement therapy.

Conclusion: The overall clinical course in the patient we report on corresponds well to the previously reported cases of TARS2 related COXPD21, especially in regard to neurological and developmental aspects of the disease. However, we point out the generalized tubulopathy and early occurrence of CKD in our patient as atypical renal involvement in COXPD21. Additionally, this is the first report of hypothyroidism and hypoparathyroidism in a COXPD21 patient.

Abstract Image

扩大表型范围:一名合并氧化磷酸化缺陷患者的慢性肾病 21.
导言:TARS2的致病变异与合并氧化磷酸化缺陷21(COXPD21)有关,这是一种常染色体隐性遗传疾病,通常表现为线粒体脑肌病。少数 COXPD21 患者有肾功能损害的记录,大多伴有远端肾小管酸中毒:我们报告了第一例伴有全身肾小管功能障碍并在儿童早期发展为慢性肾病(CKD)的 COXPD21 患者。由于无法茁壮成长、肌肉张力低下、运动迟缓和反复发作的支气管炎,我们在该患儿六个月大时对其进行了全面的诊断评估。男孩两岁前失去了随访机会,两岁后因肌酐水平升高、估计肾小球滤过率降低、正常色素性贫血、代谢性酸中毒和高钾血症再次入院。尿液异常表明他患有全身性肾小管功能障碍。通过全外显子组测序,在 TARS2 基因中发现了两个新的杂合错义变异:母源的 c.1298T>G (p.Phe438Cys) 和父源的 c.1931A>T (p.Asp644Val)。目前,这名 4.5 岁的男童发育不良、严重运动和语言发育迟缓,并处于慢性肾脏病晚期。我们将患者转至提供肾脏替代治疗的儿科中心:结论:我们报告的这名患者的总体临床过程与之前报告的与 TARS2 相关的 COXPD21 病例十分吻合,尤其是在神经系统和发育方面。然而,我们指出,我们的患者全身肾小管病变和早期出现的慢性肾功能衰竭是 COXPD21 的非典型肾脏受累。此外,这是首次报道 COXPD21 患者出现甲状腺功能减退和甲状旁腺功能减退。
本文章由计算机程序翻译,如有差异,请以英文原文为准。
求助全文
约1分钟内获得全文 求助全文
来源期刊
CiteScore
1.00
自引率
0.00%
发文量
0
审稿时长
>12 weeks
期刊介绍: Balkan Journal of Medical Genetics is a journal in the English language for publication of articles involving all branches of medical genetics: human cytogenetics, molecular genetics, clinical genetics, immunogenetics, oncogenetics, pharmacogenetics, population genetics, genetic screening and diagnosis of monogenic and polygenic diseases, prenatal and preimplantation genetic diagnosis, genetic counselling, advances in treatment and prevention.
×
引用
GB/T 7714-2015
复制
MLA
复制
APA
复制
导出至
BibTeX EndNote RefMan NoteFirst NoteExpress
×
提示
您的信息不完整,为了账户安全,请先补充。
现在去补充
×
提示
您因"违规操作"
具体请查看互助需知
我知道了
×
提示
确定
请完成安全验证×
copy
已复制链接
快去分享给好友吧!
我知道了
右上角分享
点击右上角分享
0
联系我们:info@booksci.cn Book学术提供免费学术资源搜索服务,方便国内外学者检索中英文文献。致力于提供最便捷和优质的服务体验。 Copyright © 2023 布克学术 All rights reserved.
京ICP备2023020795号-1
ghs 京公网安备 11010802042870号
Book学术文献互助
Book学术文献互助群
群 号:604180095
Book学术官方微信