Esophageal squamous cell carcinoma transformed into neuroendocrine carcinoma after neoadjuvant immunochemotherapy: A case report.

IF 2.2 4区 医学 Q3 ONCOLOGY
Oncology Letters Pub Date : 2024-02-29 eCollection Date: 2024-04-01 DOI:10.3892/ol.2024.14317
Gaojie Xin, Naicheng Song, Ke Jiang
{"title":"Esophageal squamous cell carcinoma transformed into neuroendocrine carcinoma after neoadjuvant immunochemotherapy: A case report.","authors":"Gaojie Xin, Naicheng Song, Ke Jiang","doi":"10.3892/ol.2024.14317","DOIUrl":null,"url":null,"abstract":"<p><p>Immunotherapy provides durable responses for locally advanced esophageal carcinoma clinical therapy in numerous patients. However, the mechanisms of resistance to immunotherapy have not been elucidated. The phenomenon of the histological transformation of non-small cell lung cancer to small cell lung cancer resulting in resistance to immune checkpoint inhibitors (ICIs) has been reported. It remains unclear whether ICIs or chemotherapy could cause a similar transformation from esophageal squamous cell carcinoma (ESCC) to esophageal neuroendocrine carcinoma (ENEC). The present study report the case of a patient initially diagnosed with stage II ESCC who underwent radical surgery after three cycles of neoadjuvant therapy with cisplatin, albumin bound paclitaxel and ICIs. Immunohistochemical staining confirmed the absence of the SCC component and the presence of the NEC component, with negativity for CK5/6 and tumor protein p40, but positive expression of tumor protein p53, pan-cytokeratin, synaptophysin and CD56. The patient was followed up for 5 months with no treatment or postoperative complications. In conclusion, histological transformation to ENEC is a potential mechanism of acquired resistance to ICIs in ESCC. Prospective larger studies are warranted to further characterize ESCC-to-NEC transformation on use of ICIs.</p>","PeriodicalId":19503,"journal":{"name":"Oncology Letters","volume":"27 4","pages":"184"},"PeriodicalIF":2.2000,"publicationDate":"2024-02-29","publicationTypes":"Journal Article","fieldsOfStudy":null,"isOpenAccess":false,"openAccessPdf":"https://www.ncbi.nlm.nih.gov/pmc/articles/PMC10928968/pdf/","citationCount":"0","resultStr":null,"platform":"Semanticscholar","paperid":null,"PeriodicalName":"Oncology Letters","FirstCategoryId":"3","ListUrlMain":"https://doi.org/10.3892/ol.2024.14317","RegionNum":4,"RegionCategory":"医学","ArticlePicture":[],"TitleCN":null,"AbstractTextCN":null,"PMCID":null,"EPubDate":"2024/4/1 0:00:00","PubModel":"eCollection","JCR":"Q3","JCRName":"ONCOLOGY","Score":null,"Total":0}
引用次数: 0

Abstract

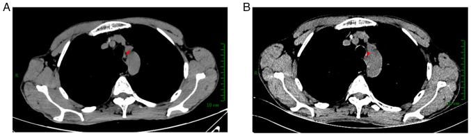
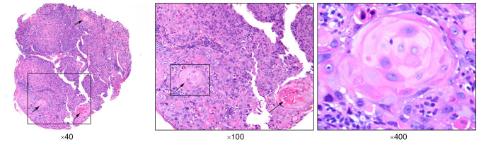
Immunotherapy provides durable responses for locally advanced esophageal carcinoma clinical therapy in numerous patients. However, the mechanisms of resistance to immunotherapy have not been elucidated. The phenomenon of the histological transformation of non-small cell lung cancer to small cell lung cancer resulting in resistance to immune checkpoint inhibitors (ICIs) has been reported. It remains unclear whether ICIs or chemotherapy could cause a similar transformation from esophageal squamous cell carcinoma (ESCC) to esophageal neuroendocrine carcinoma (ENEC). The present study report the case of a patient initially diagnosed with stage II ESCC who underwent radical surgery after three cycles of neoadjuvant therapy with cisplatin, albumin bound paclitaxel and ICIs. Immunohistochemical staining confirmed the absence of the SCC component and the presence of the NEC component, with negativity for CK5/6 and tumor protein p40, but positive expression of tumor protein p53, pan-cytokeratin, synaptophysin and CD56. The patient was followed up for 5 months with no treatment or postoperative complications. In conclusion, histological transformation to ENEC is a potential mechanism of acquired resistance to ICIs in ESCC. Prospective larger studies are warranted to further characterize ESCC-to-NEC transformation on use of ICIs.

Abstract Image

Abstract Image

Abstract Image

新辅助免疫化疗后食管鳞状细胞癌转化为神经内分泌癌:病例报告。
免疫疗法为许多局部晚期食管癌患者的临床治疗提供了持久的疗效。然而,免疫疗法的耐药机制尚未阐明。有报道称,非小细胞肺癌向小细胞肺癌的组织学转化会导致对免疫检查点抑制剂(ICIs)产生耐药性。ICIs或化疗是否会导致食管鳞状细胞癌(ESCC)向食管神经内分泌癌(ENEC)的类似转化,目前仍不清楚。本研究报告了一例初步诊断为 II 期 ESCC 的患者,该患者在接受了顺铂、白蛋白结合紫杉醇和 ICIs 三个周期的新辅助治疗后接受了根治性手术。免疫组化染色证实没有 SCC 成分,存在 NEC 成分,CK5/6 和肿瘤蛋白 p40 阴性,但肿瘤蛋白 p53、泛细胞角蛋白、突触素和 CD56 阳性。对患者进行了 5 个月的随访,未发现治疗或术后并发症。总之,组织学转化为ENEC是ESCC对ICIs产生获得性耐药性的潜在机制。有必要进行更大规模的前瞻性研究,以进一步确定使用 ICIs 时 ESCC 向 ENEC 转化的特征。
本文章由计算机程序翻译,如有差异,请以英文原文为准。
求助全文
约1分钟内获得全文 求助全文
来源期刊
Oncology Letters
Oncology Letters ONCOLOGY-
CiteScore
5.70
自引率
0.00%
发文量
412
审稿时长
2.0 months
期刊介绍: Oncology Letters is a monthly, peer-reviewed journal, available in print and online, that focuses on all aspects of clinical oncology, as well as in vitro and in vivo experimental model systems relevant to the mechanisms of disease. The principal aim of Oncology Letters is to provide the prompt publication of original studies of high quality that pertain to clinical oncology, chemotherapy, oncogenes, carcinogenesis, metastasis, epidemiology and viral oncology in the form of original research, reviews and case reports.
×
引用
GB/T 7714-2015
复制
MLA
复制
APA
复制
导出至
BibTeX EndNote RefMan NoteFirst NoteExpress
×
提示
您的信息不完整,为了账户安全,请先补充。
现在去补充
×
提示
您因"违规操作"
具体请查看互助需知
我知道了
×
提示
确定
请完成安全验证×
copy
已复制链接
快去分享给好友吧!
我知道了
右上角分享
点击右上角分享
0
联系我们:info@booksci.cn Book学术提供免费学术资源搜索服务,方便国内外学者检索中英文文献。致力于提供最便捷和优质的服务体验。 Copyright © 2023 布克学术 All rights reserved.
京ICP备2023020795号-1
ghs 京公网安备 11010802042870号
Book学术文献互助
Book学术文献互助群
群 号:604180095
Book学术官方微信