Management of a complex transjugular intrahepatic portosystemic shunt dysfunction with endotipsitis through rotational thrombectomy.

IF 0.5 Q4 RADIOLOGY, NUCLEAR MEDICINE & MEDICAL IMAGING
BJR Case Reports Pub Date : 2024-02-08 eCollection Date: 2024-01-01 DOI:10.1093/bjrcr/uaae005
Francesco Vizzutti, Emanuele Casamassima, Gianmarco Falcone, Giacomo Gabbani, Martina Rosi, Valentina Adotti, Fabio Marra, Fabrizio Fanelli
{"title":"Management of a complex transjugular intrahepatic portosystemic shunt dysfunction with endotipsitis through rotational thrombectomy.","authors":"Francesco Vizzutti, Emanuele Casamassima, Gianmarco Falcone, Giacomo Gabbani, Martina Rosi, Valentina Adotti, Fabio Marra, Fabrizio Fanelli","doi":"10.1093/bjrcr/uaae005","DOIUrl":null,"url":null,"abstract":"<p><p>Transjugular intrahepatic portosystemic shunting (TIPS) is an established strategy for the management of complications of portal hypertension. Endoprosthetic infection (\"endotipsitis\") is a rare but serious and difficult-to-treat complication of TIPS placement. Here we report the occurrence of an infected thrombus complicating TIPS placement in a patient with extra-hepatic portal vein obstruction, recurrent variceal bleeding and portal biliopathy accompanied by recurrent cholangitis. Infected thrombotic material within TIPS could be removed only by employing rotational thrombectomy. This procedure revealed the presence of a biliary fistula which carried pathogens in the systemic circulation. The multiple episodes of sepsis did no longer recur following exclusion of the biliary fistula. This case highlights the possibility to use rotational thrombectomy for the management of complex cases of TIPS dysfunction.</p>","PeriodicalId":45216,"journal":{"name":"BJR Case Reports","volume":"10 1","pages":"uaae005"},"PeriodicalIF":0.5000,"publicationDate":"2024-02-08","publicationTypes":"Journal Article","fieldsOfStudy":null,"isOpenAccess":false,"openAccessPdf":"https://www.ncbi.nlm.nih.gov/pmc/articles/PMC10873906/pdf/","citationCount":"0","resultStr":null,"platform":"Semanticscholar","paperid":null,"PeriodicalName":"BJR Case Reports","FirstCategoryId":"1085","ListUrlMain":"https://doi.org/10.1093/bjrcr/uaae005","RegionNum":0,"RegionCategory":null,"ArticlePicture":[],"TitleCN":null,"AbstractTextCN":null,"PMCID":null,"EPubDate":"2024/1/1 0:00:00","PubModel":"eCollection","JCR":"Q4","JCRName":"RADIOLOGY, NUCLEAR MEDICINE & MEDICAL IMAGING","Score":null,"Total":0}
引用次数: 0

Abstract

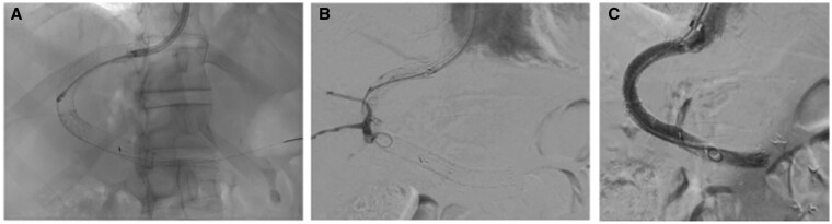
Transjugular intrahepatic portosystemic shunting (TIPS) is an established strategy for the management of complications of portal hypertension. Endoprosthetic infection ("endotipsitis") is a rare but serious and difficult-to-treat complication of TIPS placement. Here we report the occurrence of an infected thrombus complicating TIPS placement in a patient with extra-hepatic portal vein obstruction, recurrent variceal bleeding and portal biliopathy accompanied by recurrent cholangitis. Infected thrombotic material within TIPS could be removed only by employing rotational thrombectomy. This procedure revealed the presence of a biliary fistula which carried pathogens in the systemic circulation. The multiple episodes of sepsis did no longer recur following exclusion of the biliary fistula. This case highlights the possibility to use rotational thrombectomy for the management of complex cases of TIPS dysfunction.

Abstract Image

Abstract Image

Abstract Image

通过旋转血栓切除术治疗复杂的经颈静脉肝内门体分流功能障碍并伴有内膜炎。
经颈静脉肝内门体系统分流术(TIPS)是治疗门静脉高压并发症的既定策略。假体内膜感染("内膜炎")是一种罕见但严重且难以治疗的 TIPS 置入并发症。在此,我们报告了一名患有肝外门静脉阻塞、复发性静脉曲张出血和伴有复发性胆管炎的门静脉胆管病变的患者在置入 TIPS 时并发感染性血栓的情况。只有通过旋转血栓切除术才能清除 TIPS 内受感染的血栓物质。这一手术发现了胆道瘘管的存在,瘘管将病原体带入全身循环。排除胆瘘后,多次败血症不再复发。该病例强调了使用旋转血栓切除术治疗 TIPS 功能障碍复杂病例的可能性。
本文章由计算机程序翻译,如有差异,请以英文原文为准。
求助全文
约1分钟内获得全文 求助全文
来源期刊
BJR Case Reports
BJR Case Reports RADIOLOGY, NUCLEAR MEDICINE & MEDICAL IMAGING-
自引率
0.00%
发文量
77
审稿时长
11 weeks
×
引用
GB/T 7714-2015
复制
MLA
复制
APA
复制
导出至
BibTeX EndNote RefMan NoteFirst NoteExpress
×
提示
您的信息不完整,为了账户安全,请先补充。
现在去补充
×
提示
您因"违规操作"
具体请查看互助需知
我知道了
×
提示
确定
请完成安全验证×
copy
已复制链接
快去分享给好友吧!
我知道了
右上角分享
点击右上角分享
0
联系我们:info@booksci.cn Book学术提供免费学术资源搜索服务,方便国内外学者检索中英文文献。致力于提供最便捷和优质的服务体验。 Copyright © 2023 布克学术 All rights reserved.
京ICP备2023020795号-1
ghs 京公网安备 11010802042870号
Book学术文献互助
Book学术文献互助群
群 号:604180095
Book学术官方微信