An exceptional cause of acute respiratory failure in an infant: negative pressure pulmonary edema.

IF 0.8 4区 医学 Q4 PUBLIC, ENVIRONMENTAL & OCCUPATIONAL HEALTH
Göktuğ Özdemir, Zeynelabidin Ozturk
{"title":"An exceptional cause of acute respiratory failure in an infant: negative pressure pulmonary edema.","authors":"Göktuğ Özdemir, Zeynelabidin Ozturk","doi":"10.4314/mmj.v35i4.8","DOIUrl":null,"url":null,"abstract":"<p><p>Acute respiratory failure is an important reason for pediatric intensive care admissions. Lung parenchymal disease, airway obstruction, or neuromuscular dysfunction are the most common causes. Negative pressure pulmonary edema, characterized by pulmonary edema associated with upper airway obstruction, can rarely cause sudden onset respiratory failure. Herein, we describe an infant who suffered sudden onset respiratory failure and pulmonary hemorrhage while being held facedown for a bath, was admitted to the pediatric intensive care unit, intubated and mechanically ventilated for three days, and was diagnosed with negative pressure pulmonary edema, and discharged without any sequelae. Negative pressure pulmonary edema is a rare entity. Its true frequency is not known due to the lack of awareness. This report aimed to increase clinician familiarity with negative pressure pulmonary edema in patients with sudden onset respiratory failure and/or pulmonary hemorrhage.</p>","PeriodicalId":18185,"journal":{"name":"Malawi Medical Journal","volume":"35 4","pages":"234-235"},"PeriodicalIF":0.8000,"publicationDate":"2023-12-01","publicationTypes":"Journal Article","fieldsOfStudy":null,"isOpenAccess":false,"openAccessPdf":"https://www.ncbi.nlm.nih.gov/pmc/articles/PMC10865057/pdf/","citationCount":"0","resultStr":null,"platform":"Semanticscholar","paperid":null,"PeriodicalName":"Malawi Medical Journal","FirstCategoryId":"3","ListUrlMain":"https://doi.org/10.4314/mmj.v35i4.8","RegionNum":4,"RegionCategory":"医学","ArticlePicture":[],"TitleCN":null,"AbstractTextCN":null,"PMCID":null,"EPubDate":"","PubModel":"","JCR":"Q4","JCRName":"PUBLIC, ENVIRONMENTAL & OCCUPATIONAL HEALTH","Score":null,"Total":0}
引用次数: 0

Abstract

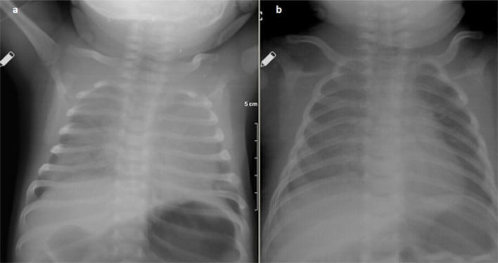
Acute respiratory failure is an important reason for pediatric intensive care admissions. Lung parenchymal disease, airway obstruction, or neuromuscular dysfunction are the most common causes. Negative pressure pulmonary edema, characterized by pulmonary edema associated with upper airway obstruction, can rarely cause sudden onset respiratory failure. Herein, we describe an infant who suffered sudden onset respiratory failure and pulmonary hemorrhage while being held facedown for a bath, was admitted to the pediatric intensive care unit, intubated and mechanically ventilated for three days, and was diagnosed with negative pressure pulmonary edema, and discharged without any sequelae. Negative pressure pulmonary edema is a rare entity. Its true frequency is not known due to the lack of awareness. This report aimed to increase clinician familiarity with negative pressure pulmonary edema in patients with sudden onset respiratory failure and/or pulmonary hemorrhage.

Abstract Image

婴儿急性呼吸衰竭的特殊原因:负压性肺水肿。
急性呼吸衰竭是儿科重症监护入院的一个重要原因。肺实质疾病、气道阻塞或神经肌肉功能障碍是最常见的原因。负压性肺水肿是指与上气道阻塞相关的肺水肿,很少会引起突发性呼吸衰竭。在此,我们描述了一名婴儿在被面朝下抱着洗澡时突发呼吸衰竭和肺出血,被送入儿科重症监护室,插管和机械通气三天,被诊断为负压性肺水肿,出院后未留下任何后遗症。负压性肺水肿是一种罕见病。由于缺乏认识,人们对其真实发生率并不了解。本报告旨在提高临床医生对突发性呼吸衰竭和/或肺出血患者负压性肺水肿的认识。
本文章由计算机程序翻译,如有差异,请以英文原文为准。
求助全文
约1分钟内获得全文 求助全文
来源期刊
Malawi Medical Journal
Malawi Medical Journal Medicine-General Medicine
CiteScore
1.50
自引率
0.00%
发文量
27
审稿时长
>12 weeks
期刊介绍: Driven and guided by the priorities articulated in the Malawi National Health Research Agenda, the Malawi Medical Journal publishes original research, short reports, case reports, viewpoints, insightful editorials and commentaries that are of high quality, informative and applicable to the Malawian and sub-Saharan Africa regions. Our particular interest is to publish evidence-based research that impacts and informs national health policies and medical practice in Malawi and the broader region. Topics covered in the journal include, but are not limited to: - Communicable diseases (HIV and AIDS, Malaria, TB, etc.) - Non-communicable diseases (Cardiovascular diseases, cancer, diabetes, etc.) - Sexual and Reproductive Health (Adolescent health, education, pregnancy and abortion, STDs and HIV and AIDS, etc.) - Mental health - Environmental health - Nutrition - Health systems and health policy (Leadership, ethics, and governance) - Community systems strengthening research - Injury, trauma, and surgical disorders
×
引用
GB/T 7714-2015
复制
MLA
复制
APA
复制
导出至
BibTeX EndNote RefMan NoteFirst NoteExpress
×
提示
您的信息不完整,为了账户安全,请先补充。
现在去补充
×
提示
您因"违规操作"
具体请查看互助需知
我知道了
×
提示
确定
请完成安全验证×
copy
已复制链接
快去分享给好友吧!
我知道了
右上角分享
点击右上角分享
0
联系我们:info@booksci.cn Book学术提供免费学术资源搜索服务,方便国内外学者检索中英文文献。致力于提供最便捷和优质的服务体验。 Copyright © 2023 布克学术 All rights reserved.
京ICP备2023020795号-1
ghs 京公网安备 11010802042870号
Book学术文献互助
Book学术文献互助群
群 号:604180095
Book学术官方微信