A rare dental complication caused by a rare pathogen: Preseptal Cellulitis caused by Pseudomonas Oryzihabitans: a case report.

IF 0.8 4区 医学 Q4 PUBLIC, ENVIRONMENTAL & OCCUPATIONAL HEALTH
Emre Kudu, Faruk Danış, Sinan Karacabey
{"title":"A rare dental complication caused by a rare pathogen: Preseptal Cellulitis caused by Pseudomonas Oryzihabitans: a case report.","authors":"Emre Kudu, Faruk Danış, Sinan Karacabey","doi":"10.4314/mmj.v35i4.7","DOIUrl":null,"url":null,"abstract":"<p><p>Various infective complications can be seen after a dental procedure. They are rarely resistant to standard therapy. In the case we present, a case of preseptal cellulitis caused by pseudomonas oryzihabitans after tooth extraction in a male patient who did not have any underlying cause. As in our case, evaluation of the cases resistant to standard treatment in terms of drainage and multidisciplinary management of culture results together with infectious diseases will increase the treatment success rate.</p>","PeriodicalId":18185,"journal":{"name":"Malawi Medical Journal","volume":"35 4","pages":"231-233"},"PeriodicalIF":0.8000,"publicationDate":"2023-12-01","publicationTypes":"Journal Article","fieldsOfStudy":null,"isOpenAccess":false,"openAccessPdf":"https://www.ncbi.nlm.nih.gov/pmc/articles/PMC10865052/pdf/","citationCount":"0","resultStr":null,"platform":"Semanticscholar","paperid":null,"PeriodicalName":"Malawi Medical Journal","FirstCategoryId":"3","ListUrlMain":"https://doi.org/10.4314/mmj.v35i4.7","RegionNum":4,"RegionCategory":"医学","ArticlePicture":[],"TitleCN":null,"AbstractTextCN":null,"PMCID":null,"EPubDate":"","PubModel":"","JCR":"Q4","JCRName":"PUBLIC, ENVIRONMENTAL & OCCUPATIONAL HEALTH","Score":null,"Total":0}
引用次数: 0

Abstract

Various infective complications can be seen after a dental procedure. They are rarely resistant to standard therapy. In the case we present, a case of preseptal cellulitis caused by pseudomonas oryzihabitans after tooth extraction in a male patient who did not have any underlying cause. As in our case, evaluation of the cases resistant to standard treatment in terms of drainage and multidisciplinary management of culture results together with infectious diseases will increase the treatment success rate.

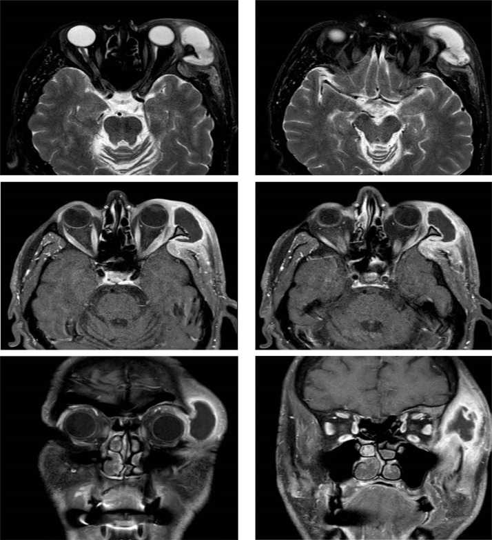
Abstract Image

Abstract Image

一种罕见病原体引起的罕见牙科并发症:由 Oryzihabitans 假单胞菌引起的隐窝前蜂窝织炎:病例报告。
牙科手术后会出现各种感染性并发症。这些并发症很少对标准疗法产生抗药性。在我们介绍的病例中,一名男性患者在拔牙后发生了由假单胞菌(Pseudomonas oryzihabitans)引起的眶前蜂窝织炎,该患者没有任何潜在病因。与我们的病例一样,对标准治疗耐药的病例进行引流评估,并将培养结果与传染病一起进行多学科管理,将提高治疗成功率。
本文章由计算机程序翻译,如有差异,请以英文原文为准。
求助全文
约1分钟内获得全文 求助全文
来源期刊
Malawi Medical Journal
Malawi Medical Journal Medicine-General Medicine
CiteScore
1.50
自引率
0.00%
发文量
27
审稿时长
>12 weeks
期刊介绍: Driven and guided by the priorities articulated in the Malawi National Health Research Agenda, the Malawi Medical Journal publishes original research, short reports, case reports, viewpoints, insightful editorials and commentaries that are of high quality, informative and applicable to the Malawian and sub-Saharan Africa regions. Our particular interest is to publish evidence-based research that impacts and informs national health policies and medical practice in Malawi and the broader region. Topics covered in the journal include, but are not limited to: - Communicable diseases (HIV and AIDS, Malaria, TB, etc.) - Non-communicable diseases (Cardiovascular diseases, cancer, diabetes, etc.) - Sexual and Reproductive Health (Adolescent health, education, pregnancy and abortion, STDs and HIV and AIDS, etc.) - Mental health - Environmental health - Nutrition - Health systems and health policy (Leadership, ethics, and governance) - Community systems strengthening research - Injury, trauma, and surgical disorders
×
引用
GB/T 7714-2015
复制
MLA
复制
APA
复制
导出至
BibTeX EndNote RefMan NoteFirst NoteExpress
×
提示
您的信息不完整,为了账户安全,请先补充。
现在去补充
×
提示
您因"违规操作"
具体请查看互助需知
我知道了
×
提示
确定
请完成安全验证×
copy
已复制链接
快去分享给好友吧!
我知道了
右上角分享
点击右上角分享
0
联系我们:info@booksci.cn Book学术提供免费学术资源搜索服务,方便国内外学者检索中英文文献。致力于提供最便捷和优质的服务体验。 Copyright © 2023 布克学术 All rights reserved.
京ICP备2023020795号-1
ghs 京公网安备 11010802042870号
Book学术文献互助
Book学术文献互助群
群 号:604180095
Book学术官方微信