Two Cases of Anterior Shoulder Dislocation and Fracture Secondary to Generalized Tonic-Clonic Seizure.

IF 0.6 Q4 ORTHOPEDICS
Case Reports in Orthopedics Pub Date : 2024-02-07 eCollection Date: 2024-01-01 DOI:10.1155/2024/6652622
Kevin Trong Dao, Hari Kunhi Prasad Veedu, Britney Ly, Neela Zalmay, Rajashree Hariprasad, Michael Eagan, Najib Ussef
{"title":"Two Cases of Anterior Shoulder Dislocation and Fracture Secondary to Generalized Tonic-Clonic Seizure.","authors":"Kevin Trong Dao, Hari Kunhi Prasad Veedu, Britney Ly, Neela Zalmay, Rajashree Hariprasad, Michael Eagan, Najib Ussef","doi":"10.1155/2024/6652622","DOIUrl":null,"url":null,"abstract":"<p><p>Dislocation of the glenohumeral joint secondary to generalized tonic-clonic seizures is well documented in the medical literature, with posterior dislocation being most commonly described. Still, these occurrences tend to be rare and affect a minority of patients, and fractures associated with dislocations after seizures are even less common. As such, the management of these injuries tends to be quite varied, and there is a paucity of documented cases in the literature. Here, we would like to present two rare cases of anterior shoulder dislocation secondary to seizures, with one patient also sustaining a fracture of the proximal humerus. We would also like to discuss the management and outcomes that have been achieved, since these cases tend to occur in a small number of epileptic patients.</p>","PeriodicalId":30287,"journal":{"name":"Case Reports in Orthopedics","volume":"2024 ","pages":"6652622"},"PeriodicalIF":0.6000,"publicationDate":"2024-02-07","publicationTypes":"Journal Article","fieldsOfStudy":null,"isOpenAccess":false,"openAccessPdf":"https://www.ncbi.nlm.nih.gov/pmc/articles/PMC10866628/pdf/","citationCount":"0","resultStr":null,"platform":"Semanticscholar","paperid":null,"PeriodicalName":"Case Reports in Orthopedics","FirstCategoryId":"1085","ListUrlMain":"https://doi.org/10.1155/2024/6652622","RegionNum":0,"RegionCategory":null,"ArticlePicture":[],"TitleCN":null,"AbstractTextCN":null,"PMCID":null,"EPubDate":"2024/1/1 0:00:00","PubModel":"eCollection","JCR":"Q4","JCRName":"ORTHOPEDICS","Score":null,"Total":0}
引用次数: 0

Abstract

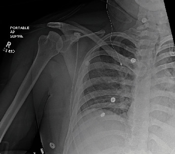
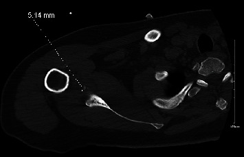
Dislocation of the glenohumeral joint secondary to generalized tonic-clonic seizures is well documented in the medical literature, with posterior dislocation being most commonly described. Still, these occurrences tend to be rare and affect a minority of patients, and fractures associated with dislocations after seizures are even less common. As such, the management of these injuries tends to be quite varied, and there is a paucity of documented cases in the literature. Here, we would like to present two rare cases of anterior shoulder dislocation secondary to seizures, with one patient also sustaining a fracture of the proximal humerus. We would also like to discuss the management and outcomes that have been achieved, since these cases tend to occur in a small number of epileptic patients.

Abstract Image

Abstract Image

Abstract Image

两例继发于全身强直-阵挛性发作的肩关节前脱位和骨折病例。
继发于全身强直-阵挛性发作的盂肱关节脱位在医学文献中有大量记载,其中后脱位的描述最为常见。尽管如此,这种情况还是比较罕见,仅影响少数患者,而癫痫发作后与脱位相关的骨折就更少见了。因此,对这些损伤的处理方法往往多种多样,文献中记录的病例也很少。在此,我们将介绍两例罕见的癫痫发作后继发肩关节前脱位的病例,其中一名患者还伴有肱骨近端骨折。由于这些病例往往发生在少数癫痫患者身上,我们还想讨论一下处理方法和取得的疗效。
本文章由计算机程序翻译,如有差异,请以英文原文为准。
求助全文
约1分钟内获得全文 求助全文
来源期刊
自引率
0.00%
发文量
55
审稿时长
14 weeks
×
引用
GB/T 7714-2015
复制
MLA
复制
APA
复制
导出至
BibTeX EndNote RefMan NoteFirst NoteExpress
×
提示
您的信息不完整,为了账户安全,请先补充。
现在去补充
×
提示
您因"违规操作"
具体请查看互助需知
我知道了
×
提示
确定
请完成安全验证×
copy
已复制链接
快去分享给好友吧!
我知道了
右上角分享
点击右上角分享
0
联系我们:info@booksci.cn Book学术提供免费学术资源搜索服务,方便国内外学者检索中英文文献。致力于提供最便捷和优质的服务体验。 Copyright © 2023 布克学术 All rights reserved.
京ICP备2023020795号-1
ghs 京公网安备 11010802042870号
Book学术文献互助
Book学术文献互助群
群 号:604180095
Book学术官方微信