Antenatal diagnosis of congenital pouch colon: a case report from the Indian subcontinent with insights into management.

IF 0.5 Q4 RADIOLOGY, NUCLEAR MEDICINE & MEDICAL IMAGING
BJR Case Reports Pub Date : 2023-12-13 eCollection Date: 2024-01-01 DOI:10.1093/bjrcr/uaad005
Jitendra Sharma, Rajesh Malik, Reyaz Ahmed
{"title":"Antenatal diagnosis of congenital pouch colon: a case report from the Indian subcontinent with insights into management.","authors":"Jitendra Sharma, Rajesh Malik, Reyaz Ahmed","doi":"10.1093/bjrcr/uaad005","DOIUrl":null,"url":null,"abstract":"<p><p>Congenital pouch colon (CPC) is highly uncommon congenital anorectal malformation where a distended pouch-like structure replaces either some part of the colon or the entire colon and communicates to the genitourinary tract through a fistula. Diagnosis of CPC is usually made after birth when neonate/infant presents with abdominal distension and absence of anal opening. Making antenatal diagnosis of CPC is difficult because of the lack of specific and verifiable signs on sonography. Hence, only a few cases of antenatal diagnosis of CPC have been reported.<sup>1</sup><sup>,</sup><sup>2</sup> In our case, CPC was suspected on a routine antenatal growth scan ultrasound in the late third trimester, showing a hypoechoic tubular-shaped lesion in the pre-sacral region. With this suspicion, we suggested an institutional delivery at a tertiary level centre, and diagnosis of type III CPC was confirmed on post-delivery imaging and emergency primary surgery, done on the day 3 of life (pouch resection, division of fistula, and protective colostomy). The child also underwent further corrective surgeries in a staged manner in second year of life and recovered completely. Beforehand diagnosis prevented any unnecessary delay in operative care, reduced postoperative complications, and improved the overall outcome of this otherwise complex condition.</p>","PeriodicalId":45216,"journal":{"name":"BJR Case Reports","volume":"10 1","pages":"uaad005"},"PeriodicalIF":0.5000,"publicationDate":"2023-12-13","publicationTypes":"Journal Article","fieldsOfStudy":null,"isOpenAccess":false,"openAccessPdf":"https://www.ncbi.nlm.nih.gov/pmc/articles/PMC10860509/pdf/","citationCount":"0","resultStr":null,"platform":"Semanticscholar","paperid":null,"PeriodicalName":"BJR Case Reports","FirstCategoryId":"1085","ListUrlMain":"https://doi.org/10.1093/bjrcr/uaad005","RegionNum":0,"RegionCategory":null,"ArticlePicture":[],"TitleCN":null,"AbstractTextCN":null,"PMCID":null,"EPubDate":"2024/1/1 0:00:00","PubModel":"eCollection","JCR":"Q4","JCRName":"RADIOLOGY, NUCLEAR MEDICINE & MEDICAL IMAGING","Score":null,"Total":0}
引用次数: 0

Abstract

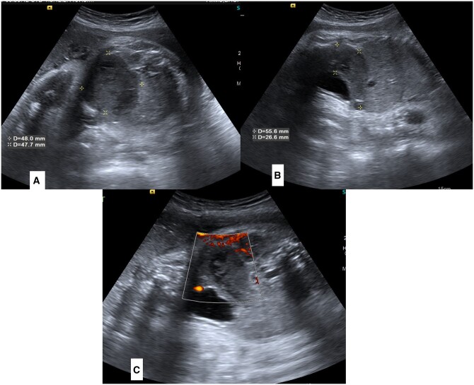
Congenital pouch colon (CPC) is highly uncommon congenital anorectal malformation where a distended pouch-like structure replaces either some part of the colon or the entire colon and communicates to the genitourinary tract through a fistula. Diagnosis of CPC is usually made after birth when neonate/infant presents with abdominal distension and absence of anal opening. Making antenatal diagnosis of CPC is difficult because of the lack of specific and verifiable signs on sonography. Hence, only a few cases of antenatal diagnosis of CPC have been reported.1,2 In our case, CPC was suspected on a routine antenatal growth scan ultrasound in the late third trimester, showing a hypoechoic tubular-shaped lesion in the pre-sacral region. With this suspicion, we suggested an institutional delivery at a tertiary level centre, and diagnosis of type III CPC was confirmed on post-delivery imaging and emergency primary surgery, done on the day 3 of life (pouch resection, division of fistula, and protective colostomy). The child also underwent further corrective surgeries in a staged manner in second year of life and recovered completely. Beforehand diagnosis prevented any unnecessary delay in operative care, reduced postoperative complications, and improved the overall outcome of this otherwise complex condition.

Abstract Image

Abstract Image

Abstract Image

先天性袋状结肠的产前诊断:印度次大陆的病例报告及处理方法。
先天性袋状结肠(CPC)是一种非常罕见的先天性肛门直肠畸形,胀大的袋状结构取代了部分或整个结肠,并通过瘘管与泌尿生殖道相通。CPC 通常在新生儿/婴儿出生后出现腹胀和无肛门开口时诊断。由于超声波检查缺乏特异性和可验证的体征,因此很难对 CPC 进行产前诊断。1,2 在我们的病例中,在妊娠晚期第三个月的常规产前生长扫描超声波检查中,显示骶骨前区域有一个低回声管状病变,因此被怀疑为 CPC。基于这一怀疑,我们建议在一家三级医院进行住院分娩,分娩后的影像学检查和出生后第 3 天的紧急初级手术(小袋切除术、瘘管切开术和保护性结肠造口术)证实了 III 型 CPC 的诊断。患儿还在出生后第二年分阶段接受了进一步的矫正手术,并完全康复。事先诊断避免了不必要的手术治疗延误,减少了术后并发症,改善了这种复杂病症的整体治疗效果。
本文章由计算机程序翻译,如有差异,请以英文原文为准。
求助全文
约1分钟内获得全文 求助全文
来源期刊
BJR Case Reports
BJR Case Reports RADIOLOGY, NUCLEAR MEDICINE & MEDICAL IMAGING-
自引率
0.00%
发文量
77
审稿时长
11 weeks
×
引用
GB/T 7714-2015
复制
MLA
复制
APA
复制
导出至
BibTeX EndNote RefMan NoteFirst NoteExpress
×
提示
您的信息不完整,为了账户安全,请先补充。
现在去补充
×
提示
您因"违规操作"
具体请查看互助需知
我知道了
×
提示
确定
请完成安全验证×
copy
已复制链接
快去分享给好友吧!
我知道了
右上角分享
点击右上角分享
0
联系我们:info@booksci.cn Book学术提供免费学术资源搜索服务,方便国内外学者检索中英文文献。致力于提供最便捷和优质的服务体验。 Copyright © 2023 布克学术 All rights reserved.
京ICP备2023020795号-1
ghs 京公网安备 11010802042870号
Book学术文献互助
Book学术文献互助群
群 号:604180095
Book学术官方微信