A case of metastatic lymphoepithelial carcinoma of parotid gland identified on 68gallium DOTA-[Tyr3] octreotate PET CT.

IF 0.5 Q4 RADIOLOGY, NUCLEAR MEDICINE & MEDICAL IMAGING
BJR Case Reports Pub Date : 2023-12-18 eCollection Date: 2024-01-01 DOI:10.1093/bjrcr/uaad011
Han Chung Low, Kelvin Siu Hoong Loke, Fu Qiang Wang, Shuting Han, Amit Jain, Joe Yeong, Wen Long Nei
{"title":"A case of metastatic lymphoepithelial carcinoma of parotid gland identified on <sup>68</sup>gallium DOTA-[Tyr3] octreotate PET CT.","authors":"Han Chung Low, Kelvin Siu Hoong Loke, Fu Qiang Wang, Shuting Han, Amit Jain, Joe Yeong, Wen Long Nei","doi":"10.1093/bjrcr/uaad011","DOIUrl":null,"url":null,"abstract":"<p><p>The authors present the case of a 59-year-old lady diagnosed with lymphoepithelial carcinoma (LEC) of the left parotid gland. The primary tumour was identified using contrast-enhanced CT, and diagnosis was confirmed via fine needle aspiration cytology and immunohistochemistry. Staging using fluorine-18 fluorodeoxyglucose PET CT revealed regional nodal metastases, while no distant metastasis was evident. Following radical radiotherapy, a favourable locoregional response was observed on MRI, yet the patient's plasma Epstein-Barr virus load continued to rise. Given her primary tumour's somatostatin receptor type 2 (SSTR2) positivity, gallium-68 DOTA-[Tyr3] octreotate PET CT (<sup>68</sup>Ga-DOTATATE PET CT) was performed, revealing multiple distant metastases with DOTATATE avidity. Despite attempts at palliative chemotherapy and immunotherapy, disease progression led to the decision for the best supportive care. The unique presentation of metastatic LEC on <sup>68</sup>Ga-DOTATATE PET CT suggests a potential role for SSTR2-targeted imaging in diagnosis and management.</p>","PeriodicalId":45216,"journal":{"name":"BJR Case Reports","volume":"10 1","pages":"uaad011"},"PeriodicalIF":0.5000,"publicationDate":"2023-12-18","publicationTypes":"Journal Article","fieldsOfStudy":null,"isOpenAccess":false,"openAccessPdf":"https://www.ncbi.nlm.nih.gov/pmc/articles/PMC10860523/pdf/","citationCount":"0","resultStr":null,"platform":"Semanticscholar","paperid":null,"PeriodicalName":"BJR Case Reports","FirstCategoryId":"1085","ListUrlMain":"https://doi.org/10.1093/bjrcr/uaad011","RegionNum":0,"RegionCategory":null,"ArticlePicture":[],"TitleCN":null,"AbstractTextCN":null,"PMCID":null,"EPubDate":"2024/1/1 0:00:00","PubModel":"eCollection","JCR":"Q4","JCRName":"RADIOLOGY, NUCLEAR MEDICINE & MEDICAL IMAGING","Score":null,"Total":0}
引用次数: 0

Abstract

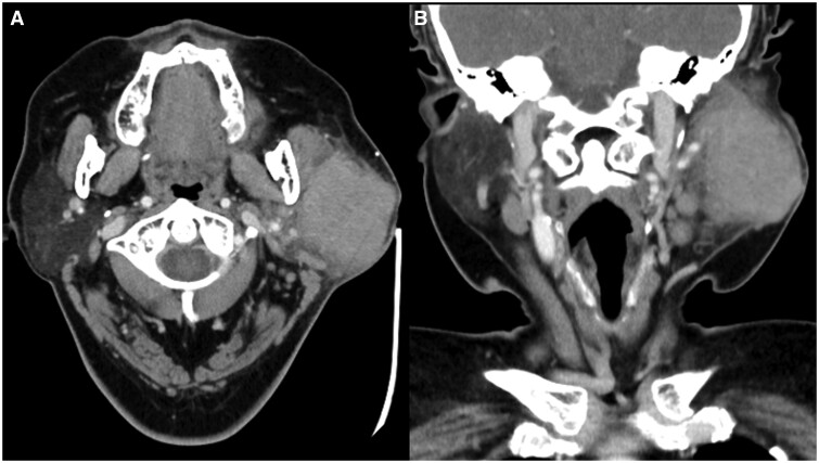
The authors present the case of a 59-year-old lady diagnosed with lymphoepithelial carcinoma (LEC) of the left parotid gland. The primary tumour was identified using contrast-enhanced CT, and diagnosis was confirmed via fine needle aspiration cytology and immunohistochemistry. Staging using fluorine-18 fluorodeoxyglucose PET CT revealed regional nodal metastases, while no distant metastasis was evident. Following radical radiotherapy, a favourable locoregional response was observed on MRI, yet the patient's plasma Epstein-Barr virus load continued to rise. Given her primary tumour's somatostatin receptor type 2 (SSTR2) positivity, gallium-68 DOTA-[Tyr3] octreotate PET CT (68Ga-DOTATATE PET CT) was performed, revealing multiple distant metastases with DOTATATE avidity. Despite attempts at palliative chemotherapy and immunotherapy, disease progression led to the decision for the best supportive care. The unique presentation of metastatic LEC on 68Ga-DOTATATE PET CT suggests a potential role for SSTR2-targeted imaging in diagnosis and management.

Abstract Image

Abstract Image

Abstract Image

一例通过 68gallium DOTA-[Tyr3] octreotate PET CT 发现的腮腺转移性淋巴上皮癌。
作者介绍了一位 59 岁女士的病例,她被诊断为左腮腺淋巴上皮癌(LEC)。通过对比增强 CT 确定了原发肿瘤,并通过细针穿刺细胞学和免疫组化确诊。使用氟-18 氟脱氧葡萄糖 PET CT 进行分期发现了区域性结节转移,但未发现远处转移。根治性放疗后,核磁共振成像观察到了良好的局部反应,但患者的血浆 Epstein-Barr 病毒载量仍在持续上升。鉴于其原发肿瘤的 2 型体生长激素受体(SSTR2)阳性,对其进行了镓-68 DOTA-[Tyr3] octreotate PET CT(68Ga-DOTATATE PET CT)检查,结果显示多处远处转移灶具有 DOTATATE 阳性。尽管尝试了姑息化疗和免疫疗法,但由于疾病进展,患者决定接受最佳支持治疗。转移性LEC在68Ga-DOTATATE PET CT上的独特表现提示了SSTR2靶向成像在诊断和治疗中的潜在作用。
本文章由计算机程序翻译,如有差异,请以英文原文为准。
求助全文
约1分钟内获得全文 求助全文
来源期刊
BJR Case Reports
BJR Case Reports RADIOLOGY, NUCLEAR MEDICINE & MEDICAL IMAGING-
自引率
0.00%
发文量
77
审稿时长
11 weeks
×
引用
GB/T 7714-2015
复制
MLA
复制
APA
复制
导出至
BibTeX EndNote RefMan NoteFirst NoteExpress
×
提示
您的信息不完整,为了账户安全,请先补充。
现在去补充
×
提示
您因"违规操作"
具体请查看互助需知
我知道了
×
提示
确定
请完成安全验证×
copy
已复制链接
快去分享给好友吧!
我知道了
右上角分享
点击右上角分享
0
联系我们:info@booksci.cn Book学术提供免费学术资源搜索服务,方便国内外学者检索中英文文献。致力于提供最便捷和优质的服务体验。 Copyright © 2023 布克学术 All rights reserved.
京ICP备2023020795号-1
ghs 京公网安备 11010802042870号
Book学术文献互助
Book学术文献互助群
群 号:604180095
Book学术官方微信