A case of low-grade endometrial stromal sarcoma presented as an intramyometrial mass mimicking uterine leiomyoma on MRI.

IF 0.5 Q4 RADIOLOGY, NUCLEAR MEDICINE & MEDICAL IMAGING
BJR Case Reports Pub Date : 2023-12-18 eCollection Date: 2024-01-01 DOI:10.1093/bjrcr/uaad012
Soichiro Tamada, Hiromi Edo, Taishi Sakima, Ryo Tanaka, Kohei Shikata, Soko Nishitani, Morikazu Miyamoto, Masashi Takano, Keisuke Kuboshima, Kosuke Miyai, Sho Ogata, Hiroshi Shinmoto
{"title":"A case of low-grade endometrial stromal sarcoma presented as an intramyometrial mass mimicking uterine leiomyoma on MRI.","authors":"Soichiro Tamada, Hiromi Edo, Taishi Sakima, Ryo Tanaka, Kohei Shikata, Soko Nishitani, Morikazu Miyamoto, Masashi Takano, Keisuke Kuboshima, Kosuke Miyai, Sho Ogata, Hiroshi Shinmoto","doi":"10.1093/bjrcr/uaad012","DOIUrl":null,"url":null,"abstract":"<p><p>A low-grade endometrial stromal sarcoma (ESS) has a pattern of presenting as an intramyometrial mass and is often misdiagnosed as cellular leiomyoma or degenerative uterine leiomyoma. A low-grade ESS is a malignant tumour that requires total hysterectomy with bilateral salpingo-oophorectomy; while a leiomyoma is a benign tumour and could be acceptable for enucleation. As the treatment strategies differ between a low-grade ESS and leiomyoma, radiologists should be familiar with the characteristic MRI findings of a low-grade ESS. A 51-year-old woman with abnormal uterine bleeding had been observed for 2 years at a previous hospital for a uterine leiomyoma based on MRI findings. A contrast-enhanced MRI demonstrated an intramyometrial mass composed of three components with the hypointense rim on T2-weighted images (T2WI): the first component was a homogeneous solid structure with mild hyperintensity on T2WI with a low apparent diffusion coefficient value; the second component was cystic; the third component was a structure of low signal intensity on T2WI similar to the muscle. Although a degenerative uterine leiomyoma was a differential diagnosis, these MRI findings were suggestive of a low-grade ESS. A total abdominal hysterectomy, bilateral salpingo-oophorectomy, pelvic lymphadenectomy, and partial omentectomy were performed. The pathological diagnosis was a low-grade ESS. In a low-grade ESS, there are three major patterns of MRI findings: one of these patterns is the less popular but clinically important intramyometrial mass pattern, which can be misdiagnosed as a leiomyoma, and this case conformed to this pattern.</p>","PeriodicalId":45216,"journal":{"name":"BJR Case Reports","volume":"10 1","pages":"uaad012"},"PeriodicalIF":0.5000,"publicationDate":"2023-12-18","publicationTypes":"Journal Article","fieldsOfStudy":null,"isOpenAccess":false,"openAccessPdf":"https://www.ncbi.nlm.nih.gov/pmc/articles/PMC10860526/pdf/","citationCount":"0","resultStr":null,"platform":"Semanticscholar","paperid":null,"PeriodicalName":"BJR Case Reports","FirstCategoryId":"1085","ListUrlMain":"https://doi.org/10.1093/bjrcr/uaad012","RegionNum":0,"RegionCategory":null,"ArticlePicture":[],"TitleCN":null,"AbstractTextCN":null,"PMCID":null,"EPubDate":"2024/1/1 0:00:00","PubModel":"eCollection","JCR":"Q4","JCRName":"RADIOLOGY, NUCLEAR MEDICINE & MEDICAL IMAGING","Score":null,"Total":0}
引用次数: 0

Abstract

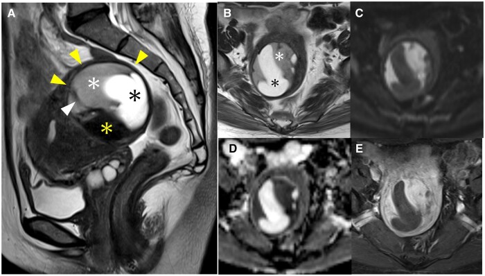
A low-grade endometrial stromal sarcoma (ESS) has a pattern of presenting as an intramyometrial mass and is often misdiagnosed as cellular leiomyoma or degenerative uterine leiomyoma. A low-grade ESS is a malignant tumour that requires total hysterectomy with bilateral salpingo-oophorectomy; while a leiomyoma is a benign tumour and could be acceptable for enucleation. As the treatment strategies differ between a low-grade ESS and leiomyoma, radiologists should be familiar with the characteristic MRI findings of a low-grade ESS. A 51-year-old woman with abnormal uterine bleeding had been observed for 2 years at a previous hospital for a uterine leiomyoma based on MRI findings. A contrast-enhanced MRI demonstrated an intramyometrial mass composed of three components with the hypointense rim on T2-weighted images (T2WI): the first component was a homogeneous solid structure with mild hyperintensity on T2WI with a low apparent diffusion coefficient value; the second component was cystic; the third component was a structure of low signal intensity on T2WI similar to the muscle. Although a degenerative uterine leiomyoma was a differential diagnosis, these MRI findings were suggestive of a low-grade ESS. A total abdominal hysterectomy, bilateral salpingo-oophorectomy, pelvic lymphadenectomy, and partial omentectomy were performed. The pathological diagnosis was a low-grade ESS. In a low-grade ESS, there are three major patterns of MRI findings: one of these patterns is the less popular but clinically important intramyometrial mass pattern, which can be misdiagnosed as a leiomyoma, and this case conformed to this pattern.

Abstract Image

Abstract Image

Abstract Image

一例低级别子宫内膜基质肉瘤在核磁共振成像上表现为模仿子宫肌瘤的子宫内肿块。
低级别子宫内膜间质肉瘤(ESS)表现为子宫内肿块,常被误诊为细胞性子宫良肌瘤或退行性子宫良肌瘤。低度ESS属于恶性肿瘤,需要进行全子宫切除术和双侧输卵管切除术;而子宫肌瘤属于良性肿瘤,可以接受去核手术。由于低级别ESS和子宫肌瘤的治疗策略不同,放射科医生应熟悉低级别ESS的磁共振成像特征。一名 51 岁的女性因异常子宫出血在前一家医院接受了 2 年的磁共振检查,结果显示她患有子宫纵膈肌瘤。造影剂增强核磁共振成像(MRI)显示,子宫内肿块由三部分组成,T2加权成像(T2WI)上有低密度边缘:第一部分是均匀的实性结构,T2WI上有轻度高密度,表观弥散系数值低;第二部分是囊性;第三部分是T2WI上与肌肉相似的低信号强度结构。虽然退行性子宫肌瘤是一个鉴别诊断,但这些磁共振成像结果提示为低级别ESS。患者接受了全腹子宫切除术、双侧输卵管切除术、盆腔淋巴结切除术和部分卵巢切除术。病理诊断为低级别ESS。在低级别ESS中,核磁共振成像检查结果有三种主要模式:其中一种模式是较少见但在临床上很重要的子宫内肿块模式,这种模式可能会被误诊为子宫肌瘤,本病例符合这种模式。
本文章由计算机程序翻译,如有差异,请以英文原文为准。
求助全文
约1分钟内获得全文 求助全文
来源期刊
BJR Case Reports
BJR Case Reports RADIOLOGY, NUCLEAR MEDICINE & MEDICAL IMAGING-
自引率
0.00%
发文量
77
审稿时长
11 weeks
×
引用
GB/T 7714-2015
复制
MLA
复制
APA
复制
导出至
BibTeX EndNote RefMan NoteFirst NoteExpress
×
提示
您的信息不完整,为了账户安全,请先补充。
现在去补充
×
提示
您因"违规操作"
具体请查看互助需知
我知道了
×
提示
确定
请完成安全验证×
copy
已复制链接
快去分享给好友吧!
我知道了
右上角分享
点击右上角分享
0
联系我们:info@booksci.cn Book学术提供免费学术资源搜索服务,方便国内外学者检索中英文文献。致力于提供最便捷和优质的服务体验。 Copyright © 2023 布克学术 All rights reserved.
京ICP备2023020795号-1
ghs 京公网安备 11010802042870号
Book学术文献互助
Book学术文献互助群
群 号:604180095
Book学术官方微信