Two cases of parathyroid carcinoma associated with multiple brown tumours.

IF 0.5 Q4 RADIOLOGY, NUCLEAR MEDICINE & MEDICAL IMAGING
BJR Case Reports Pub Date : 2023-12-13 eCollection Date: 2024-01-01 DOI:10.1093/bjrcr/uaad003
Akihiro Sakai, Toshihide Inagi, Hiroaki Iijima, Koji Ebisumoto, Kenji Okami
{"title":"Two cases of parathyroid carcinoma associated with multiple brown tumours.","authors":"Akihiro Sakai, Toshihide Inagi, Hiroaki Iijima, Koji Ebisumoto, Kenji Okami","doi":"10.1093/bjrcr/uaad003","DOIUrl":null,"url":null,"abstract":"<p><p>We present two rare cases of parathyroid carcinomas associated with multiple brown tumours. Plain radiographs, computed tomography, and neck ultrasonography revealed the presence of bone and parathyroid tumours. Despite the use of 99m Tc-methoxy isobutyl isonitrile (99mTc-MIBI) or <sup>18</sup>F-fluorodeoxyglucose-positron emission tomography (18F-FDG PET)/CT, it was difficult to differentiate bone metastases from brown tumours. Parathyroid carcinoma was confirmed by histopathological examination following parathyroidectomy, resulting in spontaneous bone lesion improvement. In patients with parathyroid carcinoma presenting with bone lesions suggestive of metastasis, understanding the potential for brown tumour accumulation through 99mTc-MIBI or 18F-FDG PET/CT is pivotal. With this understanding, it is possible to diagnose brown tumours with parathyroidectomy and follow up for improvement of bone lesion and avoid invasive biopsy or surgery.</p>","PeriodicalId":45216,"journal":{"name":"BJR Case Reports","volume":"10 1","pages":"uaad003"},"PeriodicalIF":0.5000,"publicationDate":"2023-12-13","publicationTypes":"Journal Article","fieldsOfStudy":null,"isOpenAccess":false,"openAccessPdf":"https://www.ncbi.nlm.nih.gov/pmc/articles/PMC10860522/pdf/","citationCount":"0","resultStr":null,"platform":"Semanticscholar","paperid":null,"PeriodicalName":"BJR Case Reports","FirstCategoryId":"1085","ListUrlMain":"https://doi.org/10.1093/bjrcr/uaad003","RegionNum":0,"RegionCategory":null,"ArticlePicture":[],"TitleCN":null,"AbstractTextCN":null,"PMCID":null,"EPubDate":"2024/1/1 0:00:00","PubModel":"eCollection","JCR":"Q4","JCRName":"RADIOLOGY, NUCLEAR MEDICINE & MEDICAL IMAGING","Score":null,"Total":0}
引用次数: 0

Abstract

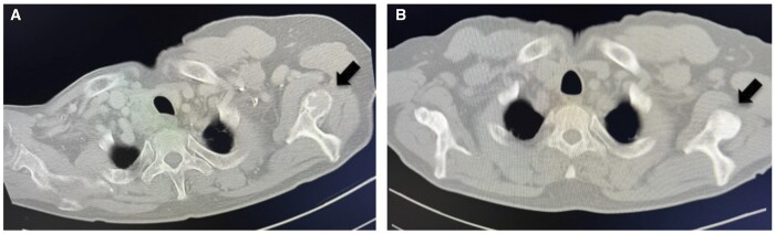
We present two rare cases of parathyroid carcinomas associated with multiple brown tumours. Plain radiographs, computed tomography, and neck ultrasonography revealed the presence of bone and parathyroid tumours. Despite the use of 99m Tc-methoxy isobutyl isonitrile (99mTc-MIBI) or 18F-fluorodeoxyglucose-positron emission tomography (18F-FDG PET)/CT, it was difficult to differentiate bone metastases from brown tumours. Parathyroid carcinoma was confirmed by histopathological examination following parathyroidectomy, resulting in spontaneous bone lesion improvement. In patients with parathyroid carcinoma presenting with bone lesions suggestive of metastasis, understanding the potential for brown tumour accumulation through 99mTc-MIBI or 18F-FDG PET/CT is pivotal. With this understanding, it is possible to diagnose brown tumours with parathyroidectomy and follow up for improvement of bone lesion and avoid invasive biopsy or surgery.

Abstract Image

Abstract Image

Abstract Image

两例伴有多发性棕色瘤的甲状旁腺癌。
我们报告了两例罕见的甲状旁腺癌伴有多发性棕色肿瘤的病例。平片、计算机断层扫描和颈部超声波检查显示存在骨肿瘤和甲状旁腺肿瘤。尽管使用了99m锝-甲氧基异丁基异腈(99m锝-MIBI)或18F-氟脱氧葡萄糖正电子发射断层扫描(18F-FDG PET)/CT,但仍难以区分骨转移瘤和棕色肿瘤。在进行甲状旁腺切除术后,通过组织病理学检查确认了甲状旁腺癌,从而使骨质病变自发得到改善。对于出现骨转移病灶的甲状旁腺癌患者,通过99m锝-MIBI或18F-FDG PET/CT了解褐色肿瘤积聚的可能性至关重要。有了这种认识,就有可能通过甲状旁腺切除术诊断出棕色肿瘤,并随访骨病变的改善情况,避免有创活检或手术。
本文章由计算机程序翻译,如有差异,请以英文原文为准。
求助全文
约1分钟内获得全文 求助全文
来源期刊
BJR Case Reports
BJR Case Reports RADIOLOGY, NUCLEAR MEDICINE & MEDICAL IMAGING-
自引率
0.00%
发文量
77
审稿时长
11 weeks
×
引用
GB/T 7714-2015
复制
MLA
复制
APA
复制
导出至
BibTeX EndNote RefMan NoteFirst NoteExpress
×
提示
您的信息不完整,为了账户安全,请先补充。
现在去补充
×
提示
您因"违规操作"
具体请查看互助需知
我知道了
×
提示
确定
请完成安全验证×
copy
已复制链接
快去分享给好友吧!
我知道了
右上角分享
点击右上角分享
0
联系我们:info@booksci.cn Book学术提供免费学术资源搜索服务,方便国内外学者检索中英文文献。致力于提供最便捷和优质的服务体验。 Copyright © 2023 布克学术 All rights reserved.
京ICP备2023020795号-1
ghs 京公网安备 11010802042870号
Book学术文献互助
Book学术文献互助群
群 号:604180095
Book学术官方微信