The first case of methotrexate-associated lymphoproliferative disorder in the sacrum: a case report.

IF 0.5 Q4 RADIOLOGY, NUCLEAR MEDICINE & MEDICAL IMAGING
BJR Case Reports Pub Date : 2024-01-23 eCollection Date: 2024-01-01 DOI:10.1093/bjrcr/uaae002
Yuichi Yamaguchi, Tadatsugu Morimoto, Yu Toda, Masatsugu Tsukamoto, Tomohito Yoshihara, Hirohito Hirata, Takaomi Kobayashi, Masaaki Mawatari
{"title":"The first case of methotrexate-associated lymphoproliferative disorder in the sacrum: a case report.","authors":"Yuichi Yamaguchi, Tadatsugu Morimoto, Yu Toda, Masatsugu Tsukamoto, Tomohito Yoshihara, Hirohito Hirata, Takaomi Kobayashi, Masaaki Mawatari","doi":"10.1093/bjrcr/uaae002","DOIUrl":null,"url":null,"abstract":"<p><p>Methotrexate (MTX) is a drug used for treating rheumatoid arthritis. Recently, the reported incidence of methotrexate-associated lymphoproliferative disease (MTX-LPD) has increased, especially in Japan. Extranodal involvement is observed in half of MTX-LPD cases. However, only a few spinal lesions have been reported, with none in the sacrum. Additionally, Epstein-Barr virus (EBV) infection has also been implicated in the pathogenesis of MTX-LPD. Herein, we describe the case of a 74-year-old woman with MTX-LPD in the sacral spine who complained of severe back pain and nocturnal pain. Radiographs revealed a tumour on the right wing of the sacrum and a positive EBV immunoglobulin G antibody titre. MTX-LPD was suspected based on imaging findings and a history of MTX administration. A pathological examination was performed on the CT-guided biopsy specimen. The histopathological diagnosis was MTX-LPD, and MTX was discontinued. Three months after MTX administration ended, the tumour tended to shrink, and 1 year later, significant tumour shrinkage was observed. This experience suggests that MTX-LPD can be treated by discontinuing MTX administration. Therefore, early and accurate diagnosis is required, as is avoiding unnecessary treatment such as surgery. MTX-LPD should be considered, especially in spinal origin tumours in EBV-infected patients on MTX.</p>","PeriodicalId":45216,"journal":{"name":"BJR Case Reports","volume":"10 1","pages":"uaae002"},"PeriodicalIF":0.5000,"publicationDate":"2024-01-23","publicationTypes":"Journal Article","fieldsOfStudy":null,"isOpenAccess":false,"openAccessPdf":"https://www.ncbi.nlm.nih.gov/pmc/articles/PMC10860500/pdf/","citationCount":"0","resultStr":null,"platform":"Semanticscholar","paperid":null,"PeriodicalName":"BJR Case Reports","FirstCategoryId":"1085","ListUrlMain":"https://doi.org/10.1093/bjrcr/uaae002","RegionNum":0,"RegionCategory":null,"ArticlePicture":[],"TitleCN":null,"AbstractTextCN":null,"PMCID":null,"EPubDate":"2024/1/1 0:00:00","PubModel":"eCollection","JCR":"Q4","JCRName":"RADIOLOGY, NUCLEAR MEDICINE & MEDICAL IMAGING","Score":null,"Total":0}
引用次数: 0

Abstract

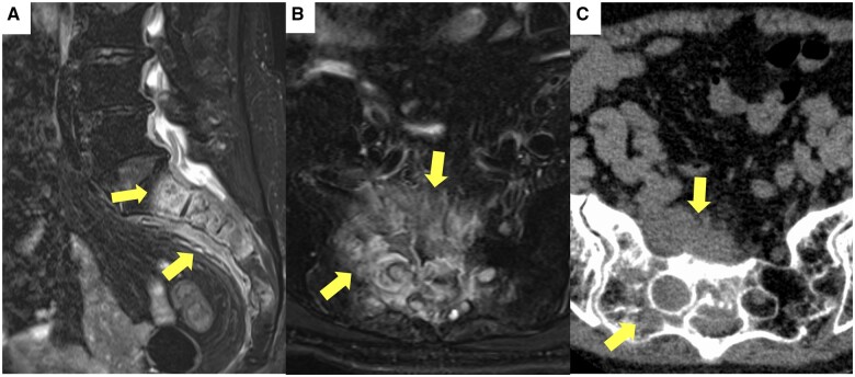
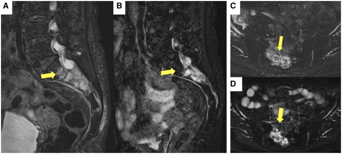
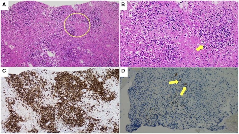
Methotrexate (MTX) is a drug used for treating rheumatoid arthritis. Recently, the reported incidence of methotrexate-associated lymphoproliferative disease (MTX-LPD) has increased, especially in Japan. Extranodal involvement is observed in half of MTX-LPD cases. However, only a few spinal lesions have been reported, with none in the sacrum. Additionally, Epstein-Barr virus (EBV) infection has also been implicated in the pathogenesis of MTX-LPD. Herein, we describe the case of a 74-year-old woman with MTX-LPD in the sacral spine who complained of severe back pain and nocturnal pain. Radiographs revealed a tumour on the right wing of the sacrum and a positive EBV immunoglobulin G antibody titre. MTX-LPD was suspected based on imaging findings and a history of MTX administration. A pathological examination was performed on the CT-guided biopsy specimen. The histopathological diagnosis was MTX-LPD, and MTX was discontinued. Three months after MTX administration ended, the tumour tended to shrink, and 1 year later, significant tumour shrinkage was observed. This experience suggests that MTX-LPD can be treated by discontinuing MTX administration. Therefore, early and accurate diagnosis is required, as is avoiding unnecessary treatment such as surgery. MTX-LPD should be considered, especially in spinal origin tumours in EBV-infected patients on MTX.

Abstract Image

Abstract Image

Abstract Image

首例骶骨甲氨蝶呤相关淋巴组织增生性疾病:病例报告。
甲氨蝶呤(MTX)是一种用于治疗类风湿性关节炎的药物。最近,甲氨蝶呤相关淋巴增生性疾病(MTX-LPD)的报告发病率有所上升,尤其是在日本。半数 MTX-LPD 病例可见结节外受累。然而,仅有少数脊柱病变的报道,其中没有骶骨病变。此外,爱泼斯坦-巴尔病毒(EBV)感染也与 MTX-LPD 的发病机制有关。在此,我们描述了一例骶椎患有 MTX-LPD 的 74 岁女性病例,她主诉背部剧痛和夜间疼痛。X光片显示骶骨右翼有肿瘤,EB病毒免疫球蛋白G抗体滴度呈阳性。根据影像学检查结果和MTX用药史,患者被怀疑患有MTX-LPD。对 CT 引导下的活检标本进行了病理检查。组织病理学诊断为 MTX-LPD,并停用了 MTX。停用 MTX 三个月后,肿瘤趋于缩小,一年后,观察到肿瘤明显缩小。这一经验表明,停用 MTX 可以治疗 MTX-LPD。因此,必须及早做出准确诊断,避免手术等不必要的治疗。应考虑使用MTX-LPD,尤其是使用MTX的EBV感染者的脊柱源性肿瘤。
本文章由计算机程序翻译,如有差异,请以英文原文为准。
求助全文
约1分钟内获得全文 求助全文
来源期刊
BJR Case Reports
BJR Case Reports RADIOLOGY, NUCLEAR MEDICINE & MEDICAL IMAGING-
自引率
0.00%
发文量
77
审稿时长
11 weeks
×
引用
GB/T 7714-2015
复制
MLA
复制
APA
复制
导出至
BibTeX EndNote RefMan NoteFirst NoteExpress
×
提示
您的信息不完整,为了账户安全,请先补充。
现在去补充
×
提示
您因"违规操作"
具体请查看互助需知
我知道了
×
提示
确定
请完成安全验证×
copy
已复制链接
快去分享给好友吧!
我知道了
右上角分享
点击右上角分享
0
联系我们:info@booksci.cn Book学术提供免费学术资源搜索服务,方便国内外学者检索中英文文献。致力于提供最便捷和优质的服务体验。 Copyright © 2023 布克学术 All rights reserved.
京ICP备2023020795号-1
ghs 京公网安备 11010802042870号
Book学术文献互助
Book学术文献互助群
群 号:604180095
Book学术官方微信