Retroperitoneal bronchogenic cyst mimicking an adrenal cyst: case report.

IF 0.5 Q4 RADIOLOGY, NUCLEAR MEDICINE & MEDICAL IMAGING
BJR Case Reports Pub Date : 2023-12-13 eCollection Date: 2024-01-01 DOI:10.1093/bjrcr/uaad001
Hajra Idrees, Raza Zarrar, Ceylan A Taslicay, Khaled M Elsayes
{"title":"Retroperitoneal bronchogenic cyst mimicking an adrenal cyst: case report.","authors":"Hajra Idrees, Raza Zarrar, Ceylan A Taslicay, Khaled M Elsayes","doi":"10.1093/bjrcr/uaad001","DOIUrl":null,"url":null,"abstract":"<p><p>Bronchogenic cysts are rare lesions that form during early embryogenesis and are commonly located in the mediastinum. Retroperitoneal bronchogenic cysts (RBs) are exceptionally rare, with only a handful of cases reported in the modern literature. Here, we report an RB found incidentally on imaging in a patient with suspected nephrolithiasis. We also review the unique imaging and histopathological findings of this entity and discuss why prophylactic surgery is considered the treatment of choice.</p>","PeriodicalId":45216,"journal":{"name":"BJR Case Reports","volume":"10 1","pages":"uaad001"},"PeriodicalIF":0.5000,"publicationDate":"2023-12-13","publicationTypes":"Journal Article","fieldsOfStudy":null,"isOpenAccess":false,"openAccessPdf":"https://www.ncbi.nlm.nih.gov/pmc/articles/PMC10860574/pdf/","citationCount":"0","resultStr":null,"platform":"Semanticscholar","paperid":null,"PeriodicalName":"BJR Case Reports","FirstCategoryId":"1085","ListUrlMain":"https://doi.org/10.1093/bjrcr/uaad001","RegionNum":0,"RegionCategory":null,"ArticlePicture":[],"TitleCN":null,"AbstractTextCN":null,"PMCID":null,"EPubDate":"2024/1/1 0:00:00","PubModel":"eCollection","JCR":"Q4","JCRName":"RADIOLOGY, NUCLEAR MEDICINE & MEDICAL IMAGING","Score":null,"Total":0}
引用次数: 0

Abstract

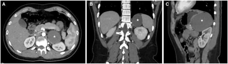
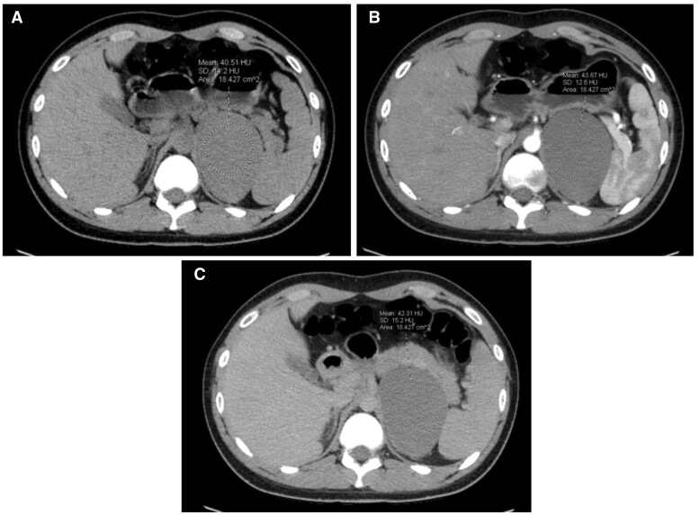
Bronchogenic cysts are rare lesions that form during early embryogenesis and are commonly located in the mediastinum. Retroperitoneal bronchogenic cysts (RBs) are exceptionally rare, with only a handful of cases reported in the modern literature. Here, we report an RB found incidentally on imaging in a patient with suspected nephrolithiasis. We also review the unique imaging and histopathological findings of this entity and discuss why prophylactic surgery is considered the treatment of choice.

Abstract Image

Abstract Image

模仿肾上腺囊肿的腹膜后支气管源性囊肿:病例报告。
支气管源性囊肿是胚胎早期形成的罕见病变,通常位于纵隔。腹膜后支气管源性囊肿(RB)异常罕见,现代文献中仅有少数病例报道。在此,我们报告了一名疑似肾结石患者在影像学检查中偶然发现的 RB。我们还回顾了这一实体独特的影像学和组织病理学发现,并讨论了预防性手术被认为是首选治疗方法的原因。
本文章由计算机程序翻译,如有差异,请以英文原文为准。
求助全文
约1分钟内获得全文 求助全文
来源期刊
BJR Case Reports
BJR Case Reports RADIOLOGY, NUCLEAR MEDICINE & MEDICAL IMAGING-
自引率
0.00%
发文量
77
审稿时长
11 weeks
×
引用
GB/T 7714-2015
复制
MLA
复制
APA
复制
导出至
BibTeX EndNote RefMan NoteFirst NoteExpress
×
提示
您的信息不完整,为了账户安全,请先补充。
现在去补充
×
提示
您因"违规操作"
具体请查看互助需知
我知道了
×
提示
确定
请完成安全验证×
copy
已复制链接
快去分享给好友吧!
我知道了
右上角分享
点击右上角分享
0
联系我们:info@booksci.cn Book学术提供免费学术资源搜索服务,方便国内外学者检索中英文文献。致力于提供最便捷和优质的服务体验。 Copyright © 2023 布克学术 All rights reserved.
京ICP备2023020795号-1
ghs 京公网安备 11010802042870号
Book学术文献互助
Book学术文献互助群
群 号:604180095
Book学术官方微信