Low-dose palliative radiotherapy for malignant peripheral T-cell lymphoma masked by cellulitis and osteomyelitis: a case report.

IF 0.5 Q4 RADIOLOGY, NUCLEAR MEDICINE & MEDICAL IMAGING
BJR Case Reports Pub Date : 2023-12-18 eCollection Date: 2024-01-01 DOI:10.1093/bjrcr/uaad010
Yasir Alayed
{"title":"Low-dose palliative radiotherapy for malignant peripheral T-cell lymphoma masked by cellulitis and osteomyelitis: a case report.","authors":"Yasir Alayed","doi":"10.1093/bjrcr/uaad010","DOIUrl":null,"url":null,"abstract":"<p><p>Classic Hodgkin lymphoma is a potentially curable disease. With the advent of effective systemic regimens with adriamycin, bleomycin, vincristine, and dacarbazine, chemotherapy has become the treatment of choice for advanced Hodgkin lymphoma. However, for advanced Hodgkin lymphoma after chemotherapy, disease relapse rates are still high. This case report highlights how low-dose palliative radiotherapy can be used successfully for the management of an unusual case of recurrent lymphoma with a different histology soon after completing systemic therapy, which was further complicated by an ongoing local infection.</p>","PeriodicalId":45216,"journal":{"name":"BJR Case Reports","volume":"10 1","pages":"uaad010"},"PeriodicalIF":0.5000,"publicationDate":"2023-12-18","publicationTypes":"Journal Article","fieldsOfStudy":null,"isOpenAccess":false,"openAccessPdf":"https://www.ncbi.nlm.nih.gov/pmc/articles/PMC10860520/pdf/","citationCount":"0","resultStr":null,"platform":"Semanticscholar","paperid":null,"PeriodicalName":"BJR Case Reports","FirstCategoryId":"1085","ListUrlMain":"https://doi.org/10.1093/bjrcr/uaad010","RegionNum":0,"RegionCategory":null,"ArticlePicture":[],"TitleCN":null,"AbstractTextCN":null,"PMCID":null,"EPubDate":"2024/1/1 0:00:00","PubModel":"eCollection","JCR":"Q4","JCRName":"RADIOLOGY, NUCLEAR MEDICINE & MEDICAL IMAGING","Score":null,"Total":0}
引用次数: 0

Abstract

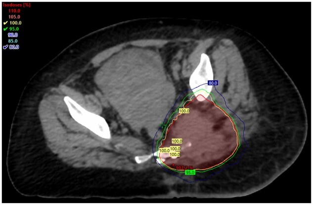
Classic Hodgkin lymphoma is a potentially curable disease. With the advent of effective systemic regimens with adriamycin, bleomycin, vincristine, and dacarbazine, chemotherapy has become the treatment of choice for advanced Hodgkin lymphoma. However, for advanced Hodgkin lymphoma after chemotherapy, disease relapse rates are still high. This case report highlights how low-dose palliative radiotherapy can be used successfully for the management of an unusual case of recurrent lymphoma with a different histology soon after completing systemic therapy, which was further complicated by an ongoing local infection.

Abstract Image

Abstract Image

被蜂窝织炎和骨髓炎掩盖的恶性外周T细胞淋巴瘤的低剂量姑息放疗:病例报告。
经典霍奇金淋巴瘤是一种可能治愈的疾病。随着阿霉素、博来霉素、长春新碱和达卡巴嗪等有效全身治疗方案的出现,化疗已成为晚期霍奇金淋巴瘤的首选治疗方法。然而,化疗后的晚期霍奇金淋巴瘤复发率仍然很高。本病例报告重点介绍了低剂量姑息性放疗如何成功用于治疗一种不同组织学的复发性淋巴瘤,这种淋巴瘤在完成全身治疗后不久又因局部感染而进一步复杂化。
本文章由计算机程序翻译,如有差异,请以英文原文为准。
求助全文
约1分钟内获得全文 求助全文
来源期刊
BJR Case Reports
BJR Case Reports RADIOLOGY, NUCLEAR MEDICINE & MEDICAL IMAGING-
自引率
0.00%
发文量
77
审稿时长
11 weeks
×
引用
GB/T 7714-2015
复制
MLA
复制
APA
复制
导出至
BibTeX EndNote RefMan NoteFirst NoteExpress
×
提示
您的信息不完整,为了账户安全,请先补充。
现在去补充
×
提示
您因"违规操作"
具体请查看互助需知
我知道了
×
提示
确定
请完成安全验证×
copy
已复制链接
快去分享给好友吧!
我知道了
右上角分享
点击右上角分享
0
联系我们:info@booksci.cn Book学术提供免费学术资源搜索服务,方便国内外学者检索中英文文献。致力于提供最便捷和优质的服务体验。 Copyright © 2023 布克学术 All rights reserved.
京ICP备2023020795号-1
ghs 京公网安备 11010802042870号
Book学术文献互助
Book学术文献互助群
群 号:604180095
Book学术官方微信