Is arterial spin labelling necessarily low perfusion for cavernous sinus venous malformation? A case of hyperperfusion cavernous sinus venous malformation.

IF 0.5 Q4 RADIOLOGY, NUCLEAR MEDICINE & MEDICAL IMAGING
BJR Case Reports Pub Date : 2023-12-13 eCollection Date: 2024-01-01 DOI:10.1093/bjrcr/uaad007
Dan Luo, Xinlan Xiao
{"title":"Is arterial spin labelling necessarily low perfusion for cavernous sinus venous malformation? A case of hyperperfusion cavernous sinus venous malformation.","authors":"Dan Luo, Xinlan Xiao","doi":"10.1093/bjrcr/uaad007","DOIUrl":null,"url":null,"abstract":"<p><p>Generally, due to the complexity of the skull base structures, it is difficult to differentiate cavernous vascular malformation and meningioma in the cavernous sinus area using conventional imaging studies. Cavernous sinus venous malformation are characterized by increased capillary masses without a direct arterial supply, typically leading to low perfusion. On the other hand, meningiomas receive arterial blood supply to the tumour and often exhibit high perfusion. So, arterial spin labelling (ASL) can be helpful in distinguishing between the 2 tumour types. However, in our specific case of a cavernous sinus venous malformation, the ASL imaging showed hyperperfusion. Further analysis revealed that this hyperperfusion on ASL can occur when cavernous sinus venous malformation is associated with arteriovenous fistula malformation.</p>","PeriodicalId":45216,"journal":{"name":"BJR Case Reports","volume":"10 1","pages":"uaad007"},"PeriodicalIF":0.5000,"publicationDate":"2023-12-13","publicationTypes":"Journal Article","fieldsOfStudy":null,"isOpenAccess":false,"openAccessPdf":"https://www.ncbi.nlm.nih.gov/pmc/articles/PMC10860525/pdf/","citationCount":"0","resultStr":null,"platform":"Semanticscholar","paperid":null,"PeriodicalName":"BJR Case Reports","FirstCategoryId":"1085","ListUrlMain":"https://doi.org/10.1093/bjrcr/uaad007","RegionNum":0,"RegionCategory":null,"ArticlePicture":[],"TitleCN":null,"AbstractTextCN":null,"PMCID":null,"EPubDate":"2024/1/1 0:00:00","PubModel":"eCollection","JCR":"Q4","JCRName":"RADIOLOGY, NUCLEAR MEDICINE & MEDICAL IMAGING","Score":null,"Total":0}
引用次数: 0

Abstract

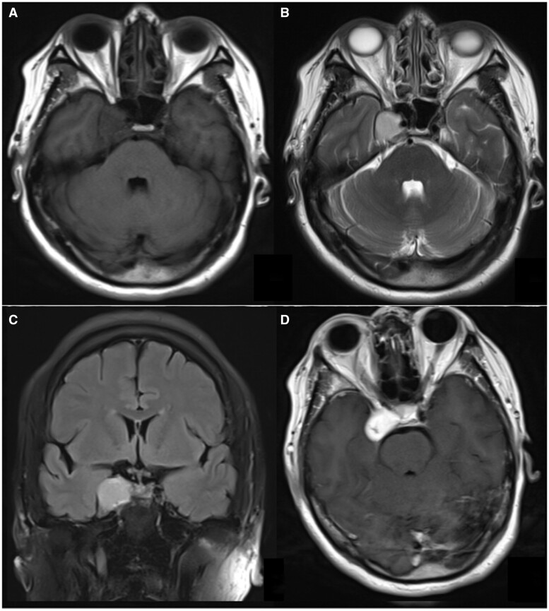
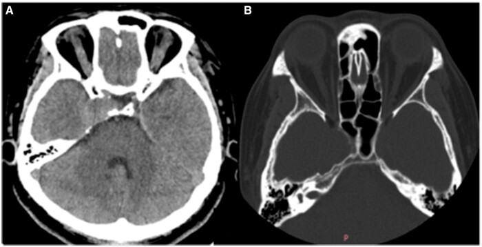
Generally, due to the complexity of the skull base structures, it is difficult to differentiate cavernous vascular malformation and meningioma in the cavernous sinus area using conventional imaging studies. Cavernous sinus venous malformation are characterized by increased capillary masses without a direct arterial supply, typically leading to low perfusion. On the other hand, meningiomas receive arterial blood supply to the tumour and often exhibit high perfusion. So, arterial spin labelling (ASL) can be helpful in distinguishing between the 2 tumour types. However, in our specific case of a cavernous sinus venous malformation, the ASL imaging showed hyperperfusion. Further analysis revealed that this hyperperfusion on ASL can occur when cavernous sinus venous malformation is associated with arteriovenous fistula malformation.

Abstract Image

Abstract Image

Abstract Image

海绵窦静脉畸形的动脉自旋标记一定是低灌注吗?一例高灌注海绵窦静脉畸形。
一般来说,由于颅底结构复杂,使用常规成像检查很难区分海绵窦区域的海绵状血管畸形和脑膜瘤。海绵窦静脉畸形的特点是毛细血管肿块增大,但没有直接的动脉供应,通常会导致低灌注。另一方面,脑膜瘤有动脉血供应,通常表现为高灌注。因此,动脉自旋标记(ASL)有助于区分这两种肿瘤类型。然而,在我们这个海绵窦静脉畸形的特殊病例中,ASL成像显示了高灌注。进一步分析表明,当海绵窦静脉畸形伴有动静脉瘘畸形时,就会出现 ASL 超灌注。
本文章由计算机程序翻译,如有差异,请以英文原文为准。
求助全文
约1分钟内获得全文 求助全文
来源期刊
BJR Case Reports
BJR Case Reports RADIOLOGY, NUCLEAR MEDICINE & MEDICAL IMAGING-
自引率
0.00%
发文量
77
审稿时长
11 weeks
×
引用
GB/T 7714-2015
复制
MLA
复制
APA
复制
导出至
BibTeX EndNote RefMan NoteFirst NoteExpress
×
提示
您的信息不完整,为了账户安全,请先补充。
现在去补充
×
提示
您因"违规操作"
具体请查看互助需知
我知道了
×
提示
确定
请完成安全验证×
copy
已复制链接
快去分享给好友吧!
我知道了
右上角分享
点击右上角分享
0
联系我们:info@booksci.cn Book学术提供免费学术资源搜索服务,方便国内外学者检索中英文文献。致力于提供最便捷和优质的服务体验。 Copyright © 2023 布克学术 All rights reserved.
京ICP备2023020795号-1
ghs 京公网安备 11010802042870号
Book学术文献互助
Book学术文献互助群
群 号:604180095
Book学术官方微信