Idiopathic myointimal hyperplasia of mesenteric veins: radiological evaluation using CT angiography.

IF 0.5 Q4 RADIOLOGY, NUCLEAR MEDICINE & MEDICAL IMAGING
BJR Case Reports Pub Date : 2023-12-13 eCollection Date: 2024-01-01 DOI:10.1093/bjrcr/uaad009
Fumio Morimura, Hiromi Edo, Takafumi Niwa, Hiroaki Sugiura, Yohsuke Suyama, Soya Okazaki, Kazuyuki Narimatsu, Hiroki Ohno, Koichi Okamoto, Hideki Ueno, Shinya Yoshimatsu, Kosuke Miyai, Kohei Hamamoto, Hiroshi Shinmoto
{"title":"Idiopathic myointimal hyperplasia of mesenteric veins: radiological evaluation using CT angiography.","authors":"Fumio Morimura, Hiromi Edo, Takafumi Niwa, Hiroaki Sugiura, Yohsuke Suyama, Soya Okazaki, Kazuyuki Narimatsu, Hiroki Ohno, Koichi Okamoto, Hideki Ueno, Shinya Yoshimatsu, Kosuke Miyai, Kohei Hamamoto, Hiroshi Shinmoto","doi":"10.1093/bjrcr/uaad009","DOIUrl":null,"url":null,"abstract":"<p><p>A 44-year-old man presented with a chief complaint of constipation. Initial contrast-enhanced CT showed extensive bowel wall thickening, mainly in the left colon, with a thin cord-like inferior mesenteric vein (IMV), in contrast to ectatic mesenteric venous branches, suggesting bowel ischaemia owing to venous stasis. One month later, at the time of symptom exacerbation, CT angiography showed a cord-like IMV and ectatic mesenteric venous branches with early enhancement, suggesting the presence of an arteriovenous fistula (AVF). Owing to the progression of bowel ischaemia and necrosis with peritonitis, emergency surgery was performed. Surgical specimens showed focal myointimal hyperplasia of the proximal mesenteric veins in both ischaemic and non-ischaemic lesions of the resected colon, thus leading to the diagnosis of idiopathic myointimal hyperplasia of mesenteric veins (IMHMV) when combined with the clinical and imaging findings. IMHMV is a bowel ischaemic disease caused by non-thrombotic venous obstruction that requires bowel resection and has been suggested to be associated with AVF. Cord-like IMV and AVF in the mesentery are important CT findings that characterize IMHMV. CT angiography is useful in diagnosing IMHMV.</p>","PeriodicalId":45216,"journal":{"name":"BJR Case Reports","volume":"10 1","pages":"uaad009"},"PeriodicalIF":0.5000,"publicationDate":"2023-12-13","publicationTypes":"Journal Article","fieldsOfStudy":null,"isOpenAccess":false,"openAccessPdf":"https://www.ncbi.nlm.nih.gov/pmc/articles/PMC10860510/pdf/","citationCount":"0","resultStr":null,"platform":"Semanticscholar","paperid":null,"PeriodicalName":"BJR Case Reports","FirstCategoryId":"1085","ListUrlMain":"https://doi.org/10.1093/bjrcr/uaad009","RegionNum":0,"RegionCategory":null,"ArticlePicture":[],"TitleCN":null,"AbstractTextCN":null,"PMCID":null,"EPubDate":"2024/1/1 0:00:00","PubModel":"eCollection","JCR":"Q4","JCRName":"RADIOLOGY, NUCLEAR MEDICINE & MEDICAL IMAGING","Score":null,"Total":0}
引用次数: 0

Abstract

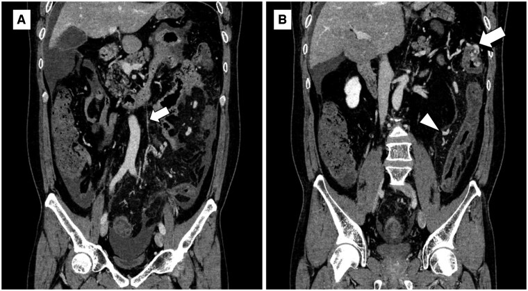
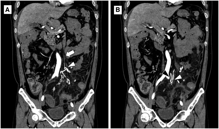
A 44-year-old man presented with a chief complaint of constipation. Initial contrast-enhanced CT showed extensive bowel wall thickening, mainly in the left colon, with a thin cord-like inferior mesenteric vein (IMV), in contrast to ectatic mesenteric venous branches, suggesting bowel ischaemia owing to venous stasis. One month later, at the time of symptom exacerbation, CT angiography showed a cord-like IMV and ectatic mesenteric venous branches with early enhancement, suggesting the presence of an arteriovenous fistula (AVF). Owing to the progression of bowel ischaemia and necrosis with peritonitis, emergency surgery was performed. Surgical specimens showed focal myointimal hyperplasia of the proximal mesenteric veins in both ischaemic and non-ischaemic lesions of the resected colon, thus leading to the diagnosis of idiopathic myointimal hyperplasia of mesenteric veins (IMHMV) when combined with the clinical and imaging findings. IMHMV is a bowel ischaemic disease caused by non-thrombotic venous obstruction that requires bowel resection and has been suggested to be associated with AVF. Cord-like IMV and AVF in the mesentery are important CT findings that characterize IMHMV. CT angiography is useful in diagnosing IMHMV.

Abstract Image

Abstract Image

Abstract Image

肠系膜静脉特发性肌内膜增生:使用 CT 血管造影进行放射学评估。
一名 44 岁男子以便秘为主诉就诊。最初的造影剂增强 CT 显示肠壁广泛增厚,主要位于左侧结肠,肠系膜下静脉(IMV)呈细绳状,肠系膜静脉分支异位,表明由于静脉瘀血导致肠缺血。一个月后,症状加重时,CT 血管造影显示肠系膜下静脉(IMV)呈条索状,肠系膜静脉分支异位且早期增强,提示存在动静脉瘘(AVF)。由于肠道缺血坏死并伴有腹膜炎,医生对患者进行了紧急手术。手术标本显示,在切除的结肠缺血和非缺血病灶中,肠系膜近端静脉均有局灶性肌腱增生,因此结合临床和影像学检查结果,诊断为特发性肠系膜静脉肌腱增生症(IMHMV)。IMHMV是一种由非血栓性静脉阻塞引起的肠缺血性疾病,需要切除肠道,并被认为与动静脉瘘有关。索状 IMV 和肠系膜中的动静脉瘘是 IMHMV 的重要 CT 发现特征。CT 血管造影有助于诊断 IMHMV。
本文章由计算机程序翻译,如有差异,请以英文原文为准。
求助全文
约1分钟内获得全文 求助全文
来源期刊
BJR Case Reports
BJR Case Reports RADIOLOGY, NUCLEAR MEDICINE & MEDICAL IMAGING-
自引率
0.00%
发文量
77
审稿时长
11 weeks
×
引用
GB/T 7714-2015
复制
MLA
复制
APA
复制
导出至
BibTeX EndNote RefMan NoteFirst NoteExpress
×
提示
您的信息不完整,为了账户安全,请先补充。
现在去补充
×
提示
您因"违规操作"
具体请查看互助需知
我知道了
×
提示
确定
请完成安全验证×
copy
已复制链接
快去分享给好友吧!
我知道了
右上角分享
点击右上角分享
0
联系我们:info@booksci.cn Book学术提供免费学术资源搜索服务,方便国内外学者检索中英文文献。致力于提供最便捷和优质的服务体验。 Copyright © 2023 布克学术 All rights reserved.
京ICP备2023020795号-1
ghs 京公网安备 11010802042870号
Book学术文献互助
Book学术文献互助群
群 号:604180095
Book学术官方微信