Giant coronary aneurysm in a toddler with Kawasaki disease: technical challenges in CT coronary angiography.

IF 0.5 Q4 RADIOLOGY, NUCLEAR MEDICINE & MEDICAL IMAGING
BJR Case Reports Pub Date : 2023-12-18 eCollection Date: 2024-01-01 DOI:10.1093/bjrcr/uaad008
Yan Hei Chan, Catherine Yee Man Young, Ki Wang, Enoch C T So, Winnie C W Chu
{"title":"Giant coronary aneurysm in a toddler with Kawasaki disease: technical challenges in CT coronary angiography.","authors":"Yan Hei Chan, Catherine Yee Man Young, Ki Wang, Enoch C T So, Winnie C W Chu","doi":"10.1093/bjrcr/uaad008","DOIUrl":null,"url":null,"abstract":"<p><p>Kawasaki disease is the most common vasculitis causing acquired coronary artery aneurysm (CAA) and affects mostly children. Computed tomography coronary angiography (CTCA) has unique diagnostic and prognostic values in cases of giant CAA. Here, we report technical challenges encountered when performed CTCA for a case of Kawasaki disease complicated with giant CAA. In particular, there was significant flow alteration caused by the giant CAA(s) causing suboptimal enhancement when the standard protocol was applied. We share our experience in optimizing the scan and propose the use of either manual bolus tracking or test bolus technique in similar scenarios, as well as multidisciplinary approach to optimize patient preparation.</p>","PeriodicalId":45216,"journal":{"name":"BJR Case Reports","volume":"10 1","pages":"uaad008"},"PeriodicalIF":0.5000,"publicationDate":"2023-12-18","publicationTypes":"Journal Article","fieldsOfStudy":null,"isOpenAccess":false,"openAccessPdf":"https://www.ncbi.nlm.nih.gov/pmc/articles/PMC10860516/pdf/","citationCount":"0","resultStr":null,"platform":"Semanticscholar","paperid":null,"PeriodicalName":"BJR Case Reports","FirstCategoryId":"1085","ListUrlMain":"https://doi.org/10.1093/bjrcr/uaad008","RegionNum":0,"RegionCategory":null,"ArticlePicture":[],"TitleCN":null,"AbstractTextCN":null,"PMCID":null,"EPubDate":"2024/1/1 0:00:00","PubModel":"eCollection","JCR":"Q4","JCRName":"RADIOLOGY, NUCLEAR MEDICINE & MEDICAL IMAGING","Score":null,"Total":0}
引用次数: 0

Abstract

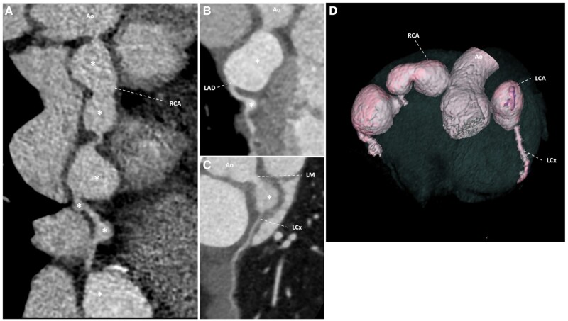
Kawasaki disease is the most common vasculitis causing acquired coronary artery aneurysm (CAA) and affects mostly children. Computed tomography coronary angiography (CTCA) has unique diagnostic and prognostic values in cases of giant CAA. Here, we report technical challenges encountered when performed CTCA for a case of Kawasaki disease complicated with giant CAA. In particular, there was significant flow alteration caused by the giant CAA(s) causing suboptimal enhancement when the standard protocol was applied. We share our experience in optimizing the scan and propose the use of either manual bolus tracking or test bolus technique in similar scenarios, as well as multidisciplinary approach to optimize patient preparation.

Abstract Image

Abstract Image

川崎病幼儿的巨大冠状动脉瘤:CT 冠状动脉造影的技术挑战。
川崎病是导致后天性冠状动脉瘤(CAA)的最常见血管炎,主要影响儿童。计算机断层扫描冠状动脉造影术(CTCA)对巨大 CAA 病例具有独特的诊断和预后价值。在此,我们报告了在为一例川崎病并发巨型 CAA 病例进行 CTCA 时遇到的技术挑战。特别是,巨型 CAA 造成了明显的血流改变,导致在应用标准方案时无法达到最佳增强效果。我们分享了优化扫描的经验,并建议在类似情况下使用手动栓剂跟踪或测试栓剂技术,以及多学科方法来优化患者准备。
本文章由计算机程序翻译,如有差异,请以英文原文为准。
求助全文
约1分钟内获得全文 求助全文
来源期刊
BJR Case Reports
BJR Case Reports RADIOLOGY, NUCLEAR MEDICINE & MEDICAL IMAGING-
自引率
0.00%
发文量
77
审稿时长
11 weeks
×
引用
GB/T 7714-2015
复制
MLA
复制
APA
复制
导出至
BibTeX EndNote RefMan NoteFirst NoteExpress
×
提示
您的信息不完整,为了账户安全,请先补充。
现在去补充
×
提示
您因"违规操作"
具体请查看互助需知
我知道了
×
提示
确定
请完成安全验证×
copy
已复制链接
快去分享给好友吧!
我知道了
右上角分享
点击右上角分享
0
联系我们:info@booksci.cn Book学术提供免费学术资源搜索服务,方便国内外学者检索中英文文献。致力于提供最便捷和优质的服务体验。 Copyright © 2023 布克学术 All rights reserved.
京ICP备2023020795号-1
ghs 京公网安备 11010802042870号
Book学术文献互助
Book学术文献互助群
群 号:604180095
Book学术官方微信