Cloning, Prokaryotic Expression and Functional Characterization of NifH Gene from the Associative Nitrogen-Fixing Bacteria Klebsiella Variicola DX120E.

IF 1.5 4区 生物学 Q4 BIOTECHNOLOGY & APPLIED MICROBIOLOGY
Ying Qin, Yu-Yan Huang, Qaisar Khan, Kun-Kun Zhang, Dao-Jun Guo, Li-Tao Yang, Yang-Rui Li, Yong-Xiu Xing
{"title":"Cloning, Prokaryotic Expression and Functional Characterization of <i>NifH</i> Gene from the Associative Nitrogen-Fixing Bacteria <i>Klebsiella Variicola</i> DX120E.","authors":"Ying Qin, Yu-Yan Huang, Qaisar Khan, Kun-Kun Zhang, Dao-Jun Guo, Li-Tao Yang, Yang-Rui Li, Yong-Xiu Xing","doi":"10.30498/ijb.2023.352117.3451","DOIUrl":null,"url":null,"abstract":"<p><strong>Background: </strong>Biological nitrogen fixation (BNF) is a unique mechanism in which microorganisms utilize the nitrogenase enzyme to catalyze the conversion of atmospheric nitrogen (N<sub>2</sub>) to ammonia (NH<sub>3</sub>). Fe protein, encoded by the <i>nifH</i> gene, is an essential component of the nitrogenase in <i>Klebsiella variicola</i> DX120E. However, the function of this gene in regulating nitrogen fixing activity is still unclear.</p><p><strong>Objectives: </strong>The objective of this study was to reveal the function of <i>nifH</i> gene in associative nitrogen-fixing bacteria <i>Klebsiella variicola</i> DX120E and micro-sugarcane system by immunoassay and gene editing.</p><p><strong>Materials and methods: </strong>In the current investigation, the <i>nifH</i> gene was cloned in a pET-30a (+) vector and expressed in <i>Escherichia coli</i>. The NifH protein was purified and used to immunize rabbit, and then the serum was collected and purified to obtain rabbit anti-NifH polyclonal antibodies. The CRISPR-Cas9 system was applied to produce <i>nifH</i> mutant strains, and the nitrogen-fixing enzyme activity, gene, and protein expression were analyzed.</p><p><strong>Results: </strong>Both <i>in vitro</i> and <i>in vivo</i> NifH proteins were detected by Western blotting, which were 43 and 32 kDa respectively. The expression of <i>nifD</i> and <i>nifK</i> genes was decreased, and nitrogenase activity was reduced in the <i>nifH</i> mutant strain.</p><p><strong>Conclusion: </strong>The <i>nifH</i> gene mutant weakened the nitrogenase activity by regulating the expression of Fe protein, which suggests a potential strategy to study the nitrogen fixation-related genes and the interactions between endophytic nitrogen-fixing bacteria and sugarcane.</p>","PeriodicalId":14492,"journal":{"name":"Iranian Journal of Biotechnology","volume":"21 3","pages":"e3451"},"PeriodicalIF":1.5000,"publicationDate":"2023-07-01","publicationTypes":"Journal Article","fieldsOfStudy":null,"isOpenAccess":false,"openAccessPdf":"https://www.ncbi.nlm.nih.gov/pmc/articles/PMC10858353/pdf/","citationCount":"0","resultStr":null,"platform":"Semanticscholar","paperid":null,"PeriodicalName":"Iranian Journal of Biotechnology","FirstCategoryId":"5","ListUrlMain":"https://doi.org/10.30498/ijb.2023.352117.3451","RegionNum":4,"RegionCategory":"生物学","ArticlePicture":[],"TitleCN":null,"AbstractTextCN":null,"PMCID":null,"EPubDate":"","PubModel":"","JCR":"Q4","JCRName":"BIOTECHNOLOGY & APPLIED MICROBIOLOGY","Score":null,"Total":0}
引用次数: 0

Abstract

Background: Biological nitrogen fixation (BNF) is a unique mechanism in which microorganisms utilize the nitrogenase enzyme to catalyze the conversion of atmospheric nitrogen (N2) to ammonia (NH3). Fe protein, encoded by the nifH gene, is an essential component of the nitrogenase in Klebsiella variicola DX120E. However, the function of this gene in regulating nitrogen fixing activity is still unclear.

Objectives: The objective of this study was to reveal the function of nifH gene in associative nitrogen-fixing bacteria Klebsiella variicola DX120E and micro-sugarcane system by immunoassay and gene editing.

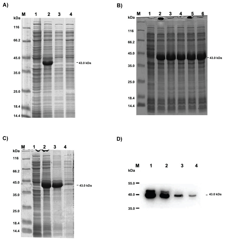
Materials and methods: In the current investigation, the nifH gene was cloned in a pET-30a (+) vector and expressed in Escherichia coli. The NifH protein was purified and used to immunize rabbit, and then the serum was collected and purified to obtain rabbit anti-NifH polyclonal antibodies. The CRISPR-Cas9 system was applied to produce nifH mutant strains, and the nitrogen-fixing enzyme activity, gene, and protein expression were analyzed.

Results: Both in vitro and in vivo NifH proteins were detected by Western blotting, which were 43 and 32 kDa respectively. The expression of nifD and nifK genes was decreased, and nitrogenase activity was reduced in the nifH mutant strain.

Conclusion: The nifH gene mutant weakened the nitrogenase activity by regulating the expression of Fe protein, which suggests a potential strategy to study the nitrogen fixation-related genes and the interactions between endophytic nitrogen-fixing bacteria and sugarcane.

Abstract Image

Abstract Image

Abstract Image

伴生固氮菌克雷伯氏菌变异株 DX120E 的 NifH 基因的克隆、原核表达和功能特征。
背景:生物固氮(BNF)是微生物利用氮酶催化大气中的氮气(N2)转化为氨气(NH3)的一种独特机制。由 nifH 基因编码的 Fe 蛋白是变异克雷伯氏菌 DX120E 中氮酶的重要组成部分。然而,该基因在调节固氮活性方面的功能尚不清楚:本研究旨在通过免疫测定和基因编辑揭示 nifH 基因在伴生固氮菌变异克雷伯氏菌 DX120E 和微型甘蔗系统中的功能:在本次研究中,nifH基因被克隆在pET-30a (+)载体中,并在大肠杆菌中表达。纯化NifH蛋白用于免疫家兔,然后收集血清并纯化,获得家兔抗NifH多克隆抗体。应用CRISPR-Cas9系统产生了nifH突变株,并对其固氮酶活性、基因和蛋白表达进行了分析:Western印迹法检测到体内和体外的NifH蛋白分别为43和32 kDa。nifH 基因突变株的 nifD 和 nifK 基因表达量减少,氮酶活性降低:nifH基因突变株通过调控Fe蛋白的表达削弱了固氮酶的活性,为研究固氮相关基因以及内生固氮菌与甘蔗的相互作用提供了一种潜在的策略。
本文章由计算机程序翻译,如有差异,请以英文原文为准。
求助全文
约1分钟内获得全文 求助全文
来源期刊
Iranian Journal of Biotechnology
Iranian Journal of Biotechnology BIOTECHNOLOGY & APPLIED MICROBIOLOGY-
CiteScore
2.60
自引率
7.70%
发文量
20
期刊介绍: Iranian Journal of Biotechnology (IJB) is published quarterly by the National Institute of Genetic Engineering and Biotechnology. IJB publishes original scientific research papers in the broad area of Biotechnology such as, Agriculture, Animal and Marine Sciences, Basic Sciences, Bioinformatics, Biosafety and Bioethics, Environment, Industry and Mining and Medical Sciences.
×
引用
GB/T 7714-2015
复制
MLA
复制
APA
复制
导出至
BibTeX EndNote RefMan NoteFirst NoteExpress
×
提示
您的信息不完整,为了账户安全,请先补充。
现在去补充
×
提示
您因"违规操作"
具体请查看互助需知
我知道了
×
提示
确定
请完成安全验证×
copy
已复制链接
快去分享给好友吧!
我知道了
右上角分享
点击右上角分享
0
联系我们:info@booksci.cn Book学术提供免费学术资源搜索服务,方便国内外学者检索中英文文献。致力于提供最便捷和优质的服务体验。 Copyright © 2023 布克学术 All rights reserved.
京ICP备2023020795号-1
ghs 京公网安备 11010802042870号
Book学术文献互助
Book学术文献互助群
群 号:604180095
Book学术官方微信