The Clear Value of Coronary Artery Calcification Evaluation on Non-Gated Chest Computed Tomography for Cardiac Risk Stratification.

IF 2.7 Q2 CARDIAC & CARDIOVASCULAR SYSTEMS
Cardiology and Therapy Pub Date : 2024-03-01 Epub Date: 2024-02-13 DOI:10.1007/s40119-024-00354-9
Roos A Groen, J Wouter Jukema, Paul R M van Dijkman, Jeroen J Bax, Hildo J Lamb, M Louisa Antoni, Michiel A de Graaf
{"title":"The Clear Value of Coronary Artery Calcification Evaluation on Non-Gated Chest Computed Tomography for Cardiac Risk Stratification.","authors":"Roos A Groen, J Wouter Jukema, Paul R M van Dijkman, Jeroen J Bax, Hildo J Lamb, M Louisa Antoni, Michiel A de Graaf","doi":"10.1007/s40119-024-00354-9","DOIUrl":null,"url":null,"abstract":"<p><p>To enhance risk stratification in patients suspected of coronary artery disease, the assessment of coronary artery calcium (CAC) could be incorporated, especially when CAC can be readily assessed on previously performed non-gated chest computed tomography (CT). Guidelines recommend reporting on patients' extent of CAC on these non-cardiac directed exams and various studies have shown the diagnostic and prognostic value. However, this method is still little applied, and no current consensus exists in clinical practice. This review aims to point out the clinical utility of different kinds of CAC assessment on non-gated CTs. It demonstrates that these scans indeed represent a merely untapped and underestimated resource for risk stratification in patients with stable chest pain or an increased risk of cardiovascular events. To our knowledge, this is the first review to describe the clinical utility of different kinds of visual CAC evaluation on non-gated unenhanced chest CT. Various methods of CAC assessment on non-gated CT are discussed and compared in terms of diagnostic and prognostic value. Furthermore, the application of these non-gated CT scans in the general practice of cardiology is discussed. The clinical utility of coronary calcium assessed on non-gated chest CT, according to the current literature, is evident. This resource of information for cardiac risk stratification needs no specific requirements for scan protocol, and is radiation-free and cost-free. However, some gaps in research remain. In conclusion, the integration of CAC on non-gated chest CT in general cardiology should be promoted and research on this method should be encouraged.</p>","PeriodicalId":9561,"journal":{"name":"Cardiology and Therapy","volume":" ","pages":"69-87"},"PeriodicalIF":2.7000,"publicationDate":"2024-03-01","publicationTypes":"Journal Article","fieldsOfStudy":null,"isOpenAccess":false,"openAccessPdf":"https://www.ncbi.nlm.nih.gov/pmc/articles/PMC10899125/pdf/","citationCount":"0","resultStr":null,"platform":"Semanticscholar","paperid":null,"PeriodicalName":"Cardiology and Therapy","FirstCategoryId":"1085","ListUrlMain":"https://doi.org/10.1007/s40119-024-00354-9","RegionNum":0,"RegionCategory":null,"ArticlePicture":[],"TitleCN":null,"AbstractTextCN":null,"PMCID":null,"EPubDate":"2024/2/13 0:00:00","PubModel":"Epub","JCR":"Q2","JCRName":"CARDIAC & CARDIOVASCULAR SYSTEMS","Score":null,"Total":0}
引用次数: 0

Abstract

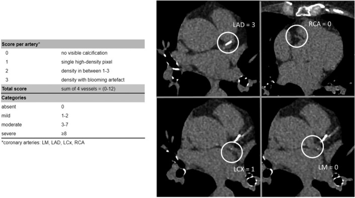
To enhance risk stratification in patients suspected of coronary artery disease, the assessment of coronary artery calcium (CAC) could be incorporated, especially when CAC can be readily assessed on previously performed non-gated chest computed tomography (CT). Guidelines recommend reporting on patients' extent of CAC on these non-cardiac directed exams and various studies have shown the diagnostic and prognostic value. However, this method is still little applied, and no current consensus exists in clinical practice. This review aims to point out the clinical utility of different kinds of CAC assessment on non-gated CTs. It demonstrates that these scans indeed represent a merely untapped and underestimated resource for risk stratification in patients with stable chest pain or an increased risk of cardiovascular events. To our knowledge, this is the first review to describe the clinical utility of different kinds of visual CAC evaluation on non-gated unenhanced chest CT. Various methods of CAC assessment on non-gated CT are discussed and compared in terms of diagnostic and prognostic value. Furthermore, the application of these non-gated CT scans in the general practice of cardiology is discussed. The clinical utility of coronary calcium assessed on non-gated chest CT, according to the current literature, is evident. This resource of information for cardiac risk stratification needs no specific requirements for scan protocol, and is radiation-free and cost-free. However, some gaps in research remain. In conclusion, the integration of CAC on non-gated chest CT in general cardiology should be promoted and research on this method should be encouraged.

Abstract Image

Abstract Image

Abstract Image

非门控胸部计算机断层扫描的冠状动脉钙化评估对心脏风险分层的明确价值。
为加强对疑似冠状动脉疾病患者的风险分层,可纳入冠状动脉钙化(CAC)评估,尤其是在之前进行的非门控胸部计算机断层扫描(CT)可轻松评估 CAC 的情况下。指南建议在这些非心脏导向检查中报告患者的 CAC 程度,各种研究也显示了其诊断和预后价值。然而,这种方法的应用仍然很少,目前在临床实践中也没有达成共识。本综述旨在指出非门控 CT 上不同类型 CAC 评估的临床实用性。它表明,这些扫描在对稳定型胸痛或心血管事件风险增加的患者进行风险分层方面确实是一种尚未开发和被低估的资源。据我们所知,这是第一篇描述在非门控未增强胸部 CT 上进行各种视觉 CAC 评估的临床实用性的综述。文中讨论了在非门控 CT 上进行 CAC 评估的各种方法,并就其诊断和预后价值进行了比较。此外,还讨论了这些非门控 CT 扫描在心脏病学一般实践中的应用。根据目前的文献,非门控胸部 CT 评估冠状动脉钙化的临床实用性是显而易见的。这种用于心脏风险分层的信息资源对扫描方案没有特殊要求,而且无辐射、无成本。然而,研究中仍存在一些空白。总之,应在普通心脏病学中推广将 CAC 纳入非门控胸部 CT,并鼓励对这种方法进行研究。
本文章由计算机程序翻译,如有差异,请以英文原文为准。
求助全文
约1分钟内获得全文 求助全文
来源期刊
Cardiology and Therapy
Cardiology and Therapy CARDIAC & CARDIOVASCULAR SYSTEMS-
CiteScore
5.30
自引率
0.00%
发文量
38
审稿时长
6 weeks
期刊介绍: Aims and Scope Cardiology and Therapy is an international, open access, peer reviewed (single-blind), rapid-publication journal dedicated to the publication of high-quality clinical (all phases), observational, real-world, and health outcomes research around the discovery, development, and use of cardiovascular therapies and interventions, including devices. Studies relating to diagnosis and diagnostics, pharmacoeconomics, public health, quality of life, as well as patient care, management and education are also encouraged. Areas of focus include, but are not limited to, ischaemic heart disease and acute cardiac care, myocardial, valvular, pericardial and congenital heart disease, vascular and pulmonary disease (including hypertension), arrhythmias, heart failure, non-invasive diagnostic techniques, and invasive and interventional cardiology as well as cardiovascular surgery. The journal is of interest to a broad audience of pharmaceutical and healthcare professionals and publishes original research, reviews, case reports/case series, trial protocols and short communications such as commentaries and editorials. Cardiolology and Therapy will consider all scientifically sound research be it positive, confirmatory or negative data. Submissions are welcomed whether they relate to an international and/or a country-specific audience, something that is crucially important when researchers are trying to target more specific patient populations. This inclusive approach allows the journal to assist in the dissemination of quality research, which may be considered of insufficient interest by other journals. Rapid Publication The journal’s publication timelines aim for a rapid peer review of 2 weeks. If an article is accepted it will be published 3–4 weeks from acceptance. The rapid timelines are achieved through the combination of a dedicated in-house editorial team, who manage article workflow, and an extensive Editorial and Advisory Board who assist with peer review. This allows the journal to support the rapid dissemination of research, whilst still providing robust peer review. Combined with the journal’s open access model this allows for the rapid, efficient communication of the latest research and reviews, fostering the advancement of cardiovascular therapies. Personal Service The journal’s dedicated in-house editorial team offer a personal “concierge service” meaning authors will always have an editorial contact able to update them on the status of their manuscript. The editorial team check all manuscripts to ensure that articles conform to the most recent COPE, GPP and ICMJE publishing guidelines. This supports the publication of ethically sound and transparent research. Digital Features and Plain Language Summaries Cardiology and Therapy offers a range of additional features designed to increase the visibility, readership and educational value of the journal’s content. Each article is accompanied by key summary points, giving a time-efficient overview of the content to a wide readership. Articles may be accompanied by plain language summaries to assist readers who have some knowledge of, but not in-depth expertise in, the area to understand the scientific content and overall implications of the article. The journal also provides the option to include various types of digital features including animated abstracts, video abstracts, slide decks, audio slides, instructional videos, infographics, podcasts and animations. All additional features are peer reviewed to the same high standard as the article itself. If you consider that your paper would benefit from the inclusion of a digital feature, please let us know. Our editorial team are able to create high-quality slide decks and infographics in-house, and video abstracts through our partner Research Square, and would be happy to assist in any way we can. For further information about digital features, please contact the journal editor (see ‘Contact the Journal’ for email address), and see the ‘Guidelines for digital features and plain language summaries’ document under ‘Submission guidelines’. For examples of digital features please visit our showcase page https://springerhealthcare.com/expertise/publishing-digital-features/ Publication Fees Upon acceptance of your article for publication, authors will be required to pay the mandatory Rapid Service Fee of £3650/€4500/$5100. The journal will consider fee discounts for developing countries and this is decided on a case by case basis. Open Access All articles published by Cardiology and Therapy are published open access. Peer Review Process Upon submission, manuscripts are assessed by the editorial team to ensure they fit within the aims and scope of the journal and are also checked for plagiarism. All suitable submissions are then subject to a comprehensive single-blind peer review. Reviewers are selected based on their relevant expertise and publication history in the subject area. The journal has an extensive pool of editorial and advisory board members who have been selected to assist with peer review based on the afore-mentioned criteria. At least two extensive reviews are required to make the editorial decision, with the exception of some article types such as Commentaries, Editorials and Letters which are generally reviewed by one member of the Editorial Board. Where reviewer recommendations are conflicted, the editorial board will be contacted for further advice and a presiding decision. Manuscripts are then either accepted, rejected or authors are required to make major or minor revisions (both reviewer comments and editorial comments may need to be addressed). Once a revised manuscript is re-submitted, it is assessed along with the responses to reviewer comments and if it has been adequately revised it will be accepted for publication. Accepted manuscripts are then copyedited and typeset by the production team before online publication. Appeals against decisions following peer review are considered on a case by case basis and should be sent to the journal editor. Preprints We encourage posting of preprints of primary research manuscripts on preprint servers, authors’ or institutional websites, and open communications between researchers whether on community preprint servers or preprint commenting platforms. Posting of preprints is not considered prior publication and will not jeopardize consideration in our journals. Authors should disclose details of preprint posting during the submission process or at any other point during consideration in one of our journals. Once the preprint is published, it is the author’s responsibility to ensure that the preprint record is updated with a publication reference, including the DOI and a URL link to the published version of the article on the journal website. Copyright Cardiology and Therapy is published under the Creative Commons Attribution-Noncommercial License, which allows users to read, copy, distribute, and make derivative works for non-commercial purposes from the material, as long as the author of the original work is cited. The author assigns the exclusive right to any commercial use of the article to Springer. For more information about the Creative Commons Attribution-Noncommercial License, click here: http://creativecommons.org/licenses/by-nc/4.0. Contact For more information about the journal, including pre-submission enquiries, please contact matthew.evans@springer.com
×
引用
GB/T 7714-2015
复制
MLA
复制
APA
复制
导出至
BibTeX EndNote RefMan NoteFirst NoteExpress
×
提示
您的信息不完整,为了账户安全,请先补充。
现在去补充
×
提示
您因"违规操作"
具体请查看互助需知
我知道了
×
提示
确定
请完成安全验证×
copy
已复制链接
快去分享给好友吧!
我知道了
右上角分享
点击右上角分享
0
联系我们:info@booksci.cn Book学术提供免费学术资源搜索服务,方便国内外学者检索中英文文献。致力于提供最便捷和优质的服务体验。 Copyright © 2023 布克学术 All rights reserved.
京ICP备2023020795号-1
ghs 京公网安备 11010802042870号
Book学术文献互助
Book学术文献互助群
群 号:604180095
Book学术官方微信