Factors that Influence the Need to Start Adaptive Radiotherapy.

IF 3.2 Q3 Medicine
Journal of Immunotherapy and Precision Oncology Pub Date : 2024-02-05 eCollection Date: 2024-02-01 DOI:10.36401/JIPO-23-29
Nouran Muhammed Roby, Mohamed Hassan, Mohamed A Aboelkasem, Maha Kamaleldin, Ahmed S Ali
{"title":"Factors that Influence the Need to Start Adaptive Radiotherapy.","authors":"Nouran Muhammed Roby, Mohamed Hassan, Mohamed A Aboelkasem, Maha Kamaleldin, Ahmed S Ali","doi":"10.36401/JIPO-23-29","DOIUrl":null,"url":null,"abstract":"<p><strong>Introduction: </strong>Adaptive radiotherapy (ART) is an essential approach to account for anatomical and biological uncertainties. Adaptive radiotherapy is, however, time-consuming, and it is unclear which patients are eligible or when is the best time to start ART.</p><p><strong>Methods: </strong>This prospective study was conducted at Kasr El-Aini Center of Clinical Oncology and Nuclear Medicine, Cairo, Egypt from January 2019 to December 2020. Thirty patients with pathologically proven, limited-stage small cell or stage I-II non-small cell lung cancer who were either not fit for or refused surgery or had stage III disease were recruited and underwent treatment planning to receive 60 Gy on a conventional 3D conformal radiation schedule with platinum-based chemotherapy. All patients underwent computed tomography (CT) planning within 2 and 4 weeks of starting radiation therapy to assess the need for adaptation. Pulmonary function test and echocardiography findings were assessed at the end of treatment and at 3 and 6 months after treatment, and were compared to the baseline.</p><p><strong>Results: </strong>We found a significant reduction in mean value of the planning target volume (PTV) in the CT scans at the second (331 cm<sup>3</sup>) and fourth (257 cm<sup>3</sup>) weeks of treatment as compared to baseline (342 cm<sup>3</sup>) (<i>p</i>-value < 0.0001). Adaptation decreased the dose to the organ at risk with statistical significance and with improvement of the target coverage. At week 2 of radiotherapy, the need for adaptation was correlated to the conformity index (<i>p</i> = 0.0473), esophageal V35 (<i>p</i> = 0.0488), esophageal V50 (<i>p</i> = 0.0295), and its mean dose (<i>p</i> = 0.0087). At week 4 it was correlated to forced expiratory volume in 1 second (FEV1) (<i>p</i> = 0.0303), ratio between the forced expiratory volume in 1 second and the forced vital capacity (FEV1/FVC) (<i>p</i> = 0.0024), and echocardiography (<i>p</i> = 0.0183).</p><p><strong>Conclusions: </strong>Conformity index and esophageal dose constraints can predict the need for adaptation at week 2, whereas baseline pulmonary function parameters and echocardiography can predict the need for adaptation at week 4 of radiotherapy.</p>","PeriodicalId":16081,"journal":{"name":"Journal of Immunotherapy and Precision Oncology","volume":"7 1","pages":"18-23"},"PeriodicalIF":3.2000,"publicationDate":"2024-02-05","publicationTypes":"Journal Article","fieldsOfStudy":null,"isOpenAccess":false,"openAccessPdf":"https://www.ncbi.nlm.nih.gov/pmc/articles/PMC10846639/pdf/","citationCount":"0","resultStr":null,"platform":"Semanticscholar","paperid":null,"PeriodicalName":"Journal of Immunotherapy and Precision Oncology","FirstCategoryId":"1085","ListUrlMain":"https://doi.org/10.36401/JIPO-23-29","RegionNum":0,"RegionCategory":null,"ArticlePicture":[],"TitleCN":null,"AbstractTextCN":null,"PMCID":null,"EPubDate":"2024/2/1 0:00:00","PubModel":"eCollection","JCR":"Q3","JCRName":"Medicine","Score":null,"Total":0}
引用次数: 0

Abstract

Introduction: Adaptive radiotherapy (ART) is an essential approach to account for anatomical and biological uncertainties. Adaptive radiotherapy is, however, time-consuming, and it is unclear which patients are eligible or when is the best time to start ART.

Methods: This prospective study was conducted at Kasr El-Aini Center of Clinical Oncology and Nuclear Medicine, Cairo, Egypt from January 2019 to December 2020. Thirty patients with pathologically proven, limited-stage small cell or stage I-II non-small cell lung cancer who were either not fit for or refused surgery or had stage III disease were recruited and underwent treatment planning to receive 60 Gy on a conventional 3D conformal radiation schedule with platinum-based chemotherapy. All patients underwent computed tomography (CT) planning within 2 and 4 weeks of starting radiation therapy to assess the need for adaptation. Pulmonary function test and echocardiography findings were assessed at the end of treatment and at 3 and 6 months after treatment, and were compared to the baseline.

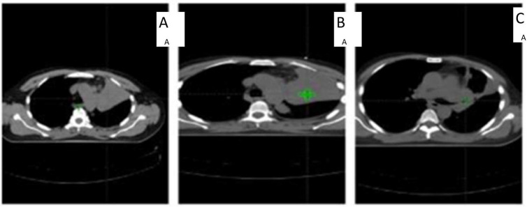
Results: We found a significant reduction in mean value of the planning target volume (PTV) in the CT scans at the second (331 cm3) and fourth (257 cm3) weeks of treatment as compared to baseline (342 cm3) (p-value < 0.0001). Adaptation decreased the dose to the organ at risk with statistical significance and with improvement of the target coverage. At week 2 of radiotherapy, the need for adaptation was correlated to the conformity index (p = 0.0473), esophageal V35 (p = 0.0488), esophageal V50 (p = 0.0295), and its mean dose (p = 0.0087). At week 4 it was correlated to forced expiratory volume in 1 second (FEV1) (p = 0.0303), ratio between the forced expiratory volume in 1 second and the forced vital capacity (FEV1/FVC) (p = 0.0024), and echocardiography (p = 0.0183).

Conclusions: Conformity index and esophageal dose constraints can predict the need for adaptation at week 2, whereas baseline pulmonary function parameters and echocardiography can predict the need for adaptation at week 4 of radiotherapy.

Abstract Image

Abstract Image

影响是否需要开始适应性放疗的因素。
简介适应性放疗(ART)是考虑解剖学和生物学不确定性的重要方法。然而,自适应放疗耗时较长,目前尚不清楚哪些患者符合条件,也不清楚何时是开始自适应放疗的最佳时机:这项前瞻性研究于 2019 年 1 月至 2020 年 12 月在埃及开罗的 Kasr El-Aini 临床肿瘤学与核医学中心进行。研究招募了 30 名经病理证实的局限期小细胞肺癌或 I-II 期非小细胞肺癌患者,这些患者要么不适合或拒绝手术,要么是 III 期疾病患者,他们接受了治疗计划,按照常规 3D 适形放疗计划接受 60 Gy 放射治疗,并接受铂类化疗。所有患者都在开始放疗后的 2 周和 4 周内接受了计算机断层扫描(CT)计划,以评估是否需要进行适应性调整。肺功能测试和超声心动图结果在治疗结束时、治疗后3个月和6个月进行评估,并与基线进行比较:结果:我们发现,与基线(342 cm3)相比,治疗第二周(331 cm3)和第四周(257 cm3)的 CT 扫描中规划靶体积(PTV)的平均值明显减少(P 值<0.0001)。适应性放疗降低了危险器官的剂量,具有统计学意义,并改善了目标覆盖范围。放疗第 2 周时,适应需要与符合性指数(p = 0.0473)、食管 V35(p = 0.0488)、食管 V50(p = 0.0295)及其平均剂量(p = 0.0087)相关。第 4 周时,它与 1 秒用力呼气容积(FEV1)(p = 0.0303)、1 秒用力呼气容积与用力肺活量(FEV1/FVC)之比(p = 0.0024)和超声心动图(p = 0.0183)相关:结论:适形指数和食管剂量限制可预测放疗第 2 周的适应性需求,而基线肺功能参数和超声心动图可预测放疗第 4 周的适应性需求。
本文章由计算机程序翻译,如有差异,请以英文原文为准。
求助全文
约1分钟内获得全文 求助全文
来源期刊
CiteScore
2.40
自引率
0.00%
发文量
17
×
引用
GB/T 7714-2015
复制
MLA
复制
APA
复制
导出至
BibTeX EndNote RefMan NoteFirst NoteExpress
×
提示
您的信息不完整,为了账户安全,请先补充。
现在去补充
×
提示
您因"违规操作"
具体请查看互助需知
我知道了
×
提示
确定
请完成安全验证×
copy
已复制链接
快去分享给好友吧!
我知道了
右上角分享
点击右上角分享
0
联系我们:info@booksci.cn Book学术提供免费学术资源搜索服务,方便国内外学者检索中英文文献。致力于提供最便捷和优质的服务体验。 Copyright © 2023 布克学术 All rights reserved.
京ICP备2023020795号-1
ghs 京公网安备 11010802042870号
Book学术文献互助
Book学术文献互助群
群 号:604180095
Book学术官方微信