Preoperative evaluation of systolic murmur with point-of-care echocardiography before an elective thoracic surgery - A case report.

IF 3.2
Anesthesia and pain medicine Pub Date : 2024-01-01 Epub Date: 2024-01-30 DOI:10.17085/apm.23124
Jaemoon Lee, Minki Lee, Sookyung Lee, Chung-Sik Oh, Tae-Yop Kim
{"title":"Preoperative evaluation of systolic murmur with point-of-care echocardiography before an elective thoracic surgery - A case report.","authors":"Jaemoon Lee, Minki Lee, Sookyung Lee, Chung-Sik Oh, Tae-Yop Kim","doi":"10.17085/apm.23124","DOIUrl":null,"url":null,"abstract":"<p><strong>Background: </strong>Systolic murmur suggesting the association of aortic valve (AV) stenosis or obstructive pathology in the left ventricular outflow tract (LVOT) usually requires preoperative echocardiographic evaluation for elective surgery.</p><p><strong>Case: </strong>In a 63-year-old female patient undergoing elective thoracic surgery, the systolic murmur was auscultated on the right sternal border of the second intercostal space in the preoperative patient holding area. Point-of-care (POC) transthoracic echocardiography (TTE) demonstrated a systolic jet flow in the LVOT area. The peak systolic velocity of the continuous wave Doppler tracing, aligned to the LVOT and the AV, was approximately 1.5 m/s. The peak/mean pressure gradient was 11/6 mmHg for the AV and 9/5 mmHg for the LVOT. Anesthesia was induced under continuous TTE imaging. Intraoperative transesophageal echocardiography also confirmed the absence of any cardiac pathology.</p><p><strong>Conclusions: </strong>POC echocardiography offered a thorough preoperative evaluation of an unexpectedly identified systolic murmur, avoiding a potential delay in the operation schedule for conventional preoperative echocardiographic evaluation.</p>","PeriodicalId":101360,"journal":{"name":"Anesthesia and pain medicine","volume":"19 1","pages":"62-67"},"PeriodicalIF":3.2000,"publicationDate":"2024-01-01","publicationTypes":"Journal Article","fieldsOfStudy":null,"isOpenAccess":false,"openAccessPdf":"https://www.ncbi.nlm.nih.gov/pmc/articles/PMC10847002/pdf/","citationCount":"0","resultStr":null,"platform":"Semanticscholar","paperid":null,"PeriodicalName":"Anesthesia and pain medicine","FirstCategoryId":"1085","ListUrlMain":"https://doi.org/10.17085/apm.23124","RegionNum":0,"RegionCategory":null,"ArticlePicture":[],"TitleCN":null,"AbstractTextCN":null,"PMCID":null,"EPubDate":"2024/1/30 0:00:00","PubModel":"Epub","JCR":"","JCRName":"","Score":null,"Total":0}
引用次数: 0

Abstract

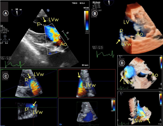
Background: Systolic murmur suggesting the association of aortic valve (AV) stenosis or obstructive pathology in the left ventricular outflow tract (LVOT) usually requires preoperative echocardiographic evaluation for elective surgery.

Case: In a 63-year-old female patient undergoing elective thoracic surgery, the systolic murmur was auscultated on the right sternal border of the second intercostal space in the preoperative patient holding area. Point-of-care (POC) transthoracic echocardiography (TTE) demonstrated a systolic jet flow in the LVOT area. The peak systolic velocity of the continuous wave Doppler tracing, aligned to the LVOT and the AV, was approximately 1.5 m/s. The peak/mean pressure gradient was 11/6 mmHg for the AV and 9/5 mmHg for the LVOT. Anesthesia was induced under continuous TTE imaging. Intraoperative transesophageal echocardiography also confirmed the absence of any cardiac pathology.

Conclusions: POC echocardiography offered a thorough preoperative evaluation of an unexpectedly identified systolic murmur, avoiding a potential delay in the operation schedule for conventional preoperative echocardiographic evaluation.

Abstract Image

Abstract Image

在择期胸外科手术前使用护理点超声心动图对收缩期杂音进行术前评估 - 病例报告。
背景:病例:一名 63 岁的女性患者在接受胸外科择期手术时,在术前病人留置区第二肋间的胸骨右缘听诊到收缩期杂音。床旁(POC)经胸超声心动图(TTE)显示左心室出口区域有收缩期射流。对准左心室出口和房室的连续波多普勒描记的收缩期峰值速度约为 1.5 米/秒。房室的峰值/平均压力梯度为 11/6 mmHg,左心室出口的峰值/平均压力梯度为 9/5 mmHg。在连续 TTE 成像下进行麻醉。术中经食道超声心动图也证实没有任何心脏病变:POC超声心动图为意外发现的收缩期杂音提供了全面的术前评估,避免了传统术前超声心动图评估可能导致的手术时间延迟。
本文章由计算机程序翻译,如有差异,请以英文原文为准。
求助全文
约1分钟内获得全文 求助全文
来源期刊
CiteScore
2.30
自引率
0.00%
发文量
0
×
引用
GB/T 7714-2015
复制
MLA
复制
APA
复制
导出至
BibTeX EndNote RefMan NoteFirst NoteExpress
×
提示
您的信息不完整,为了账户安全,请先补充。
现在去补充
×
提示
您因"违规操作"
具体请查看互助需知
我知道了
×
提示
确定
请完成安全验证×
copy
已复制链接
快去分享给好友吧!
我知道了
右上角分享
点击右上角分享
0
联系我们:info@booksci.cn Book学术提供免费学术资源搜索服务,方便国内外学者检索中英文文献。致力于提供最便捷和优质的服务体验。 Copyright © 2023 布克学术 All rights reserved.
京ICP备2023020795号-1
ghs 京公网安备 11010802042870号
Book学术文献互助
Book学术文献互助群
群 号:604180095
Book学术官方微信