Superior vena cava obstruction and cardiovascular implantable electronic devices-a new era of leadless devices.

Mediastinum (Hong Kong, China) Pub Date : 2023-12-12 eCollection Date: 2024-01-01 DOI:10.21037/med-23-33
Tomoyuki Kabutoya
{"title":"Superior vena cava obstruction and cardiovascular implantable electronic devices-a new era of leadless devices.","authors":"Tomoyuki Kabutoya","doi":"10.21037/med-23-33","DOIUrl":null,"url":null,"abstract":"<p><p>Cardiovascular implantable electronic devices (CIEDs) such as pacemakers and implantable cardioverter defibrillators require the placement of a transvenous lead through the superior vena cava (SVC), which can be difficult if there is stenosis or obstruction of the SVC. Moreover, SVC syndrome may occur after the lead is inserted even if the SVC was intact before the implantation. Therefore, there is need of an appropriate strategy for handling stenosis or obstruction of SVC during lead placement. In addition, advances are being made in CIEDs that do not require transvenous leads, and thus CIEDs without a transvenous lead should be considered depending on the indications and urgency of the particular case. This manuscript is divided into (I) device therapy for patients with SVC obstruction and (II) therapeutic strategy for SVC obstruction after lead implantation. In patients with SVC syndrome, treatment of the SVC occlusion should be based on the individual pathophysiology, and depending on the indications and urgency of the case, treatment with CIEDs that do not require transvenous leads should be considered. Further data must be accumulated to clarify the long-term prognosis of device implantation after treatment of SVC occlusion. In addition, transvenous lead extraction is now widely used for device-related SVC obstruction, and this procedure also merits further accumulation of data.</p>","PeriodicalId":74139,"journal":{"name":"Mediastinum (Hong Kong, China)","volume":"8 ","pages":"1"},"PeriodicalIF":0.0000,"publicationDate":"2023-12-12","publicationTypes":"Journal Article","fieldsOfStudy":null,"isOpenAccess":false,"openAccessPdf":"https://www.ncbi.nlm.nih.gov/pmc/articles/PMC10839517/pdf/","citationCount":"0","resultStr":null,"platform":"Semanticscholar","paperid":null,"PeriodicalName":"Mediastinum (Hong Kong, China)","FirstCategoryId":"1085","ListUrlMain":"https://doi.org/10.21037/med-23-33","RegionNum":0,"RegionCategory":null,"ArticlePicture":[],"TitleCN":null,"AbstractTextCN":null,"PMCID":null,"EPubDate":"2024/1/1 0:00:00","PubModel":"eCollection","JCR":"","JCRName":"","Score":null,"Total":0}
引用次数: 0

Abstract

Cardiovascular implantable electronic devices (CIEDs) such as pacemakers and implantable cardioverter defibrillators require the placement of a transvenous lead through the superior vena cava (SVC), which can be difficult if there is stenosis or obstruction of the SVC. Moreover, SVC syndrome may occur after the lead is inserted even if the SVC was intact before the implantation. Therefore, there is need of an appropriate strategy for handling stenosis or obstruction of SVC during lead placement. In addition, advances are being made in CIEDs that do not require transvenous leads, and thus CIEDs without a transvenous lead should be considered depending on the indications and urgency of the particular case. This manuscript is divided into (I) device therapy for patients with SVC obstruction and (II) therapeutic strategy for SVC obstruction after lead implantation. In patients with SVC syndrome, treatment of the SVC occlusion should be based on the individual pathophysiology, and depending on the indications and urgency of the case, treatment with CIEDs that do not require transvenous leads should be considered. Further data must be accumulated to clarify the long-term prognosis of device implantation after treatment of SVC occlusion. In addition, transvenous lead extraction is now widely used for device-related SVC obstruction, and this procedure also merits further accumulation of data.

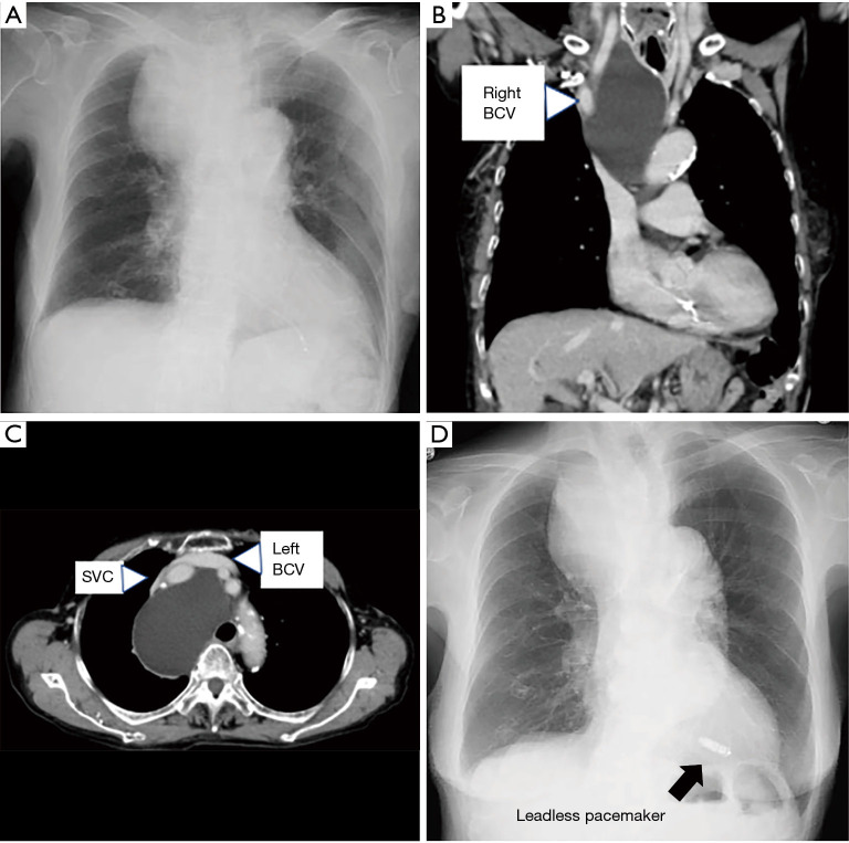
Abstract Image

Abstract Image

Abstract Image

上腔静脉阻塞与心血管植入式电子设备--无引线设备的新时代。
心脏起搏器和植入式心律转复除颤器等心血管植入式电子设备(CIED)需要通过上腔静脉(SVC)置入经静脉导联,如果上腔静脉狭窄或阻塞,就很难做到这一点。此外,即使上腔静脉在植入前完好无损,植入导联后也可能发生上腔静脉综合征。因此,有必要制定适当的策略来处理导联植入过程中出现的 SVC 狭窄或阻塞。此外,不需要经静脉导联的 CIED 也在不断进步,因此应根据具体病例的适应症和紧迫性考虑不需要经静脉导联的 CIED。本手稿分为(I)SVC 梗阻患者的设备治疗和(II)导联植入后 SVC 梗阻的治疗策略。对于 SVC 综合征患者,SVC 闭塞的治疗应基于个体病理生理学,并根据病例的适应症和紧迫性,考虑使用不需要经静脉导联的 CIED 治疗。必须积累更多数据,以明确治疗 SVC 闭塞后植入设备的长期预后。此外,经静脉导联取出术目前已广泛应用于与装置相关的 SVC 阻塞,该手术也值得进一步积累数据。
本文章由计算机程序翻译,如有差异,请以英文原文为准。
求助全文
约1分钟内获得全文 求助全文
来源期刊
CiteScore
1.20
自引率
0.00%
发文量
0
×
引用
GB/T 7714-2015
复制
MLA
复制
APA
复制
导出至
BibTeX EndNote RefMan NoteFirst NoteExpress
×
提示
您的信息不完整,为了账户安全,请先补充。
现在去补充
×
提示
您因"违规操作"
具体请查看互助需知
我知道了
×
提示
确定
请完成安全验证×
copy
已复制链接
快去分享给好友吧!
我知道了
右上角分享
点击右上角分享
0
联系我们:info@booksci.cn Book学术提供免费学术资源搜索服务,方便国内外学者检索中英文文献。致力于提供最便捷和优质的服务体验。 Copyright © 2023 布克学术 All rights reserved.
京ICP备2023020795号-1
ghs 京公网安备 11010802042870号
Book学术文献互助
Book学术文献互助群
群 号:604180095
Book学术官方微信