The accuracy of the Hounsfield unit in pulmonary embolism diagnostics.

IF 2.3 Q2 EMERGENCY MEDICINE
Clinical and Experimental Emergency Medicine Pub Date : 2024-09-01 Epub Date: 2024-01-29 DOI:10.15441/ceem.23.113
Mümin Murat Yazici, Sümeyye Sekmen, Ali Çelik, Özcan Yavaşi, Nur Hürsoy
{"title":"The accuracy of the Hounsfield unit in pulmonary embolism diagnostics.","authors":"Mümin Murat Yazici, Sümeyye Sekmen, Ali Çelik, Özcan Yavaşi, Nur Hürsoy","doi":"10.15441/ceem.23.113","DOIUrl":null,"url":null,"abstract":"<p><strong>Objective: </strong>Pulmonary embolism (PE) is a vascular disease that is most frequently diagnosed using the radiological imaging technique computed tomography pulmonary angiography (CTPA). In this study, we aimed to demonstrate the diagnostic accuracy of the Hounsfield unit (HU) for PE based on the hypothesis that acute thrombosis causes an increase in HU value on CT.</p><p><strong>Methods: </strong>This research was a single-center, retrospective study. Patients presenting to the emergency department diagnosed with PE on CTPA were enrolled as the study group. Patients admitted to the same emergency department who were not diagnosed with PE and had noncontrast CT scans were included as the control group. A receiver operating curve was produced to determine the diagnostic accuracy of HU values in predicting PE.</p><p><strong>Results: </strong>The study population (n=74) consisted of a study group (n=46) and a control group (n=28). The sensitivity and specificity of the HU value for predicting PE on thoracic CT were as follows: for the right main pulmonary artery, 61.5% and 96.4% at a value of 54.8 (area under the curve [AUC], 0.690); for the left main pulmonary artery, 65.0% and 96.4% at a value of 55.9 (AUC, 0.736); for the right interlobar artery, 44.4% and 96.4% at a value of 62.7 (AUC, 0.615); and for the left interlobar artery, 60.0% and 92.9% at a value of 56.7 (AUC, 0.736).</p><p><strong>Conclusion: </strong>HU may exhibit high diagnostic specificity on CT for thrombi up to the interlobar level. An HU value exceeding 54.8 up to the interlobar level may raise suspicion of the presence of PE.</p>","PeriodicalId":10325,"journal":{"name":"Clinical and Experimental Emergency Medicine","volume":" ","pages":"295-303"},"PeriodicalIF":2.3000,"publicationDate":"2024-09-01","publicationTypes":"Journal Article","fieldsOfStudy":null,"isOpenAccess":false,"openAccessPdf":"https://www.ncbi.nlm.nih.gov/pmc/articles/PMC11467449/pdf/","citationCount":"0","resultStr":null,"platform":"Semanticscholar","paperid":null,"PeriodicalName":"Clinical and Experimental Emergency Medicine","FirstCategoryId":"1085","ListUrlMain":"https://doi.org/10.15441/ceem.23.113","RegionNum":0,"RegionCategory":null,"ArticlePicture":[],"TitleCN":null,"AbstractTextCN":null,"PMCID":null,"EPubDate":"2024/1/29 0:00:00","PubModel":"Epub","JCR":"Q2","JCRName":"EMERGENCY MEDICINE","Score":null,"Total":0}
引用次数: 0

Abstract

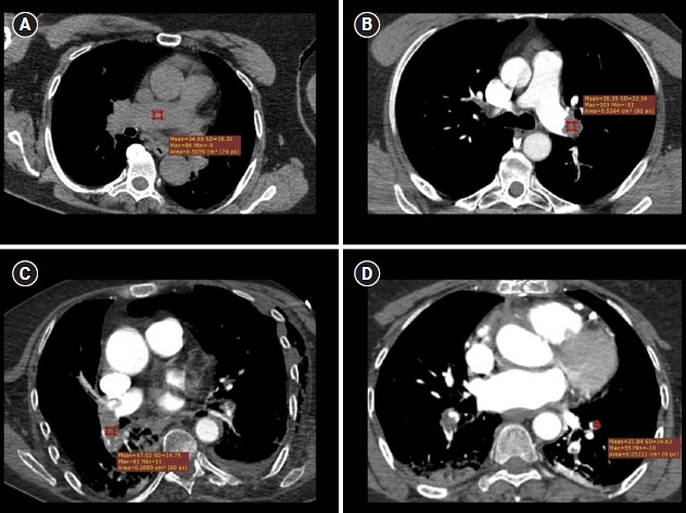
Objective: Pulmonary embolism (PE) is a vascular disease that is most frequently diagnosed using the radiological imaging technique computed tomography pulmonary angiography (CTPA). In this study, we aimed to demonstrate the diagnostic accuracy of the Hounsfield unit (HU) for PE based on the hypothesis that acute thrombosis causes an increase in HU value on CT.

Methods: This research was a single-center, retrospective study. Patients presenting to the emergency department diagnosed with PE on CTPA were enrolled as the study group. Patients admitted to the same emergency department who were not diagnosed with PE and had noncontrast CT scans were included as the control group. A receiver operating curve was produced to determine the diagnostic accuracy of HU values in predicting PE.

Results: The study population (n=74) consisted of a study group (n=46) and a control group (n=28). The sensitivity and specificity of the HU value for predicting PE on thoracic CT were as follows: for the right main pulmonary artery, 61.5% and 96.4% at a value of 54.8 (area under the curve [AUC], 0.690); for the left main pulmonary artery, 65.0% and 96.4% at a value of 55.9 (AUC, 0.736); for the right interlobar artery, 44.4% and 96.4% at a value of 62.7 (AUC, 0.615); and for the left interlobar artery, 60.0% and 92.9% at a value of 56.7 (AUC, 0.736).

Conclusion: HU may exhibit high diagnostic specificity on CT for thrombi up to the interlobar level. An HU value exceeding 54.8 up to the interlobar level may raise suspicion of the presence of PE.

Abstract Image

Abstract Image

Abstract Image

肺栓塞中 Hounsfield 单位值的诊断准确性。
目的:肺栓塞(PE)是一种血管疾病。计算机断层扫描肺血管造影术(CTPA)是用于诊断肺栓塞的放射成像技术。在本研究中,我们根据急性血栓形成会导致计算机断层扫描(CT)上的 HU 值增加这一假设,旨在证明 Hounsfield 单位(HU)值对 PE 的诊断准确性:本研究为单中心回顾性研究。方法:本研究为单中心回顾性研究,研究对象为急诊科(ED)CTPA 诊断为 PE 的患者。此外,同一急诊科收治的未被诊断为 PE 且接受非对比 CT 扫描的患者作为对照组。对 HU 值预测 PE 的诊断准确性绘制了接收者操作曲线(ROC):研究对象(74 人)包括研究组(46 人)和对照组(28 人)。右主肺动脉的 HU 值为 54.8(曲线下面积(AUC):0.690)时,预测胸部 CT PE 的灵敏度为 61.5%,特异度为 96.4%;HU 值为 55.9(曲线下面积(AUC):0.7)时,预测右主肺动脉 PE 的灵敏度为 65.0%,特异度为 96.4%。9(AUC:0.736);右肺间动脉的 HU 值为 62.7(AUC:0.615)时,分别为 44.4% 和 96.4%;左肺间动脉的 HU 值为 56.7(AUC:0.736)时,分别为 60.0% 和 92.9%:结论:CT 上的 HU 值对叶间动脉血栓的诊断特异性较高。结论:CT 上的 HU 值对叶间水平的血栓具有较高的诊断特异性,如果叶间水平的 HU 值超过 54.8,则可怀疑存在 PE。
本文章由计算机程序翻译,如有差异,请以英文原文为准。
求助全文
约1分钟内获得全文 求助全文
来源期刊
CiteScore
2.80
自引率
10.50%
发文量
59
×
引用
GB/T 7714-2015
复制
MLA
复制
APA
复制
导出至
BibTeX EndNote RefMan NoteFirst NoteExpress
×
提示
您的信息不完整,为了账户安全,请先补充。
现在去补充
×
提示
您因"违规操作"
具体请查看互助需知
我知道了
×
提示
确定
请完成安全验证×
copy
已复制链接
快去分享给好友吧!
我知道了
右上角分享
点击右上角分享
0
联系我们:info@booksci.cn Book学术提供免费学术资源搜索服务,方便国内外学者检索中英文文献。致力于提供最便捷和优质的服务体验。 Copyright © 2023 布克学术 All rights reserved.
京ICP备2023020795号-1
ghs 京公网安备 11010802042870号
Book学术文献互助
Book学术文献互助群
群 号:604180095
Book学术官方微信