Prognostic utility of paraspinal muscle index in elderly patients with community-acquired pneumonia.

IF 2.3 Q2 EMERGENCY MEDICINE
Clinical and Experimental Emergency Medicine Pub Date : 2024-06-01 Epub Date: 2024-01-29 DOI:10.15441/ceem.23.142
Ga Ram Lee, Seok Hoon Ko, Hang Sung Choi, Hoon Pyo Hong, Jong Seok Lee, Ki Young Jeong
{"title":"Prognostic utility of paraspinal muscle index in elderly patients with community-acquired pneumonia.","authors":"Ga Ram Lee, Seok Hoon Ko, Hang Sung Choi, Hoon Pyo Hong, Jong Seok Lee, Ki Young Jeong","doi":"10.15441/ceem.23.142","DOIUrl":null,"url":null,"abstract":"<p><strong>Objective: </strong>This study investigated the associations between paraspinal muscle measurements on chest computed tomography and clinical outcomes of elderly patients with community-acquired pneumonia (CAP).</p><p><strong>Methods: </strong>This single-center, retrospective, observational study analyzed elderly patients (≥65 years) with CAP hospitalized through an emergency department between March 2020 and December 2022. We collected their baseline characteristics and laboratory data at the time of admission. The paraspinal muscle index and attenuation were calculated at the level of the 12th thoracic vertebra using chest computed tomography taken within 48 hours before or after admission. Univariable and multivariable logistic regression analyses were conducted to evaluate the association between paraspinal muscle measurements and 28-day mortality. Receiver operating characteristic (ROC) curve and area under the curve (AUC) analyses were used to evaluate the prognostic predictive power.</p><p><strong>Results: </strong>Of the 338 enrolled patients, 60 (17.8%) died within 28 days after admission. A high paraspinal muscle index was associated with low 28-day mortality in elderly patients with CAP (adjusted odds ratio, 0.994; 95% confidence interval, 0.992-0.997). The area under the ROC curve for the muscle index was 0.75, which outperformed the pneumonia severity index and the CURB-65 (confusion, urea, respiratory rate, blood pressure, age ≥65 years) metric, both of which showed an AUC of 0.64 in predicting mortality.</p><p><strong>Conclusion: </strong>A high paraspinal muscle index was associated with low 28-day mortality in patients aged 65 years or older with CAP.</p>","PeriodicalId":10325,"journal":{"name":"Clinical and Experimental Emergency Medicine","volume":" ","pages":"171-180"},"PeriodicalIF":2.3000,"publicationDate":"2024-06-01","publicationTypes":"Journal Article","fieldsOfStudy":null,"isOpenAccess":false,"openAccessPdf":"https://www.ncbi.nlm.nih.gov/pmc/articles/PMC11237258/pdf/","citationCount":"0","resultStr":null,"platform":"Semanticscholar","paperid":null,"PeriodicalName":"Clinical and Experimental Emergency Medicine","FirstCategoryId":"1085","ListUrlMain":"https://doi.org/10.15441/ceem.23.142","RegionNum":0,"RegionCategory":null,"ArticlePicture":[],"TitleCN":null,"AbstractTextCN":null,"PMCID":null,"EPubDate":"2024/1/29 0:00:00","PubModel":"Epub","JCR":"Q2","JCRName":"EMERGENCY MEDICINE","Score":null,"Total":0}
引用次数: 0

Abstract

Objective: This study investigated the associations between paraspinal muscle measurements on chest computed tomography and clinical outcomes of elderly patients with community-acquired pneumonia (CAP).

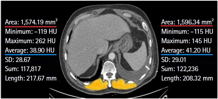
Methods: This single-center, retrospective, observational study analyzed elderly patients (≥65 years) with CAP hospitalized through an emergency department between March 2020 and December 2022. We collected their baseline characteristics and laboratory data at the time of admission. The paraspinal muscle index and attenuation were calculated at the level of the 12th thoracic vertebra using chest computed tomography taken within 48 hours before or after admission. Univariable and multivariable logistic regression analyses were conducted to evaluate the association between paraspinal muscle measurements and 28-day mortality. Receiver operating characteristic (ROC) curve and area under the curve (AUC) analyses were used to evaluate the prognostic predictive power.

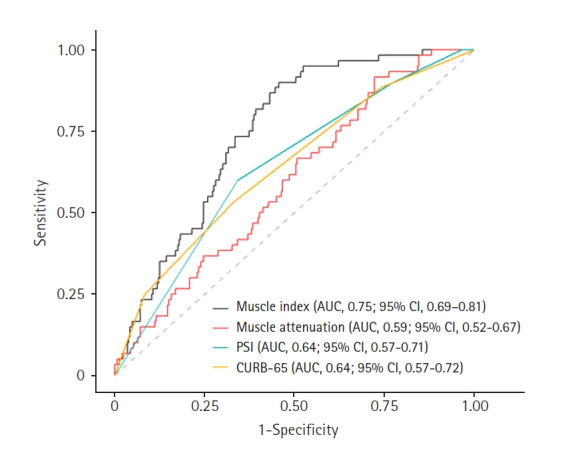
Results: Of the 338 enrolled patients, 60 (17.8%) died within 28 days after admission. A high paraspinal muscle index was associated with low 28-day mortality in elderly patients with CAP (adjusted odds ratio, 0.994; 95% confidence interval, 0.992-0.997). The area under the ROC curve for the muscle index was 0.75, which outperformed the pneumonia severity index and the CURB-65 (confusion, urea, respiratory rate, blood pressure, age ≥65 years) metric, both of which showed an AUC of 0.64 in predicting mortality.

Conclusion: A high paraspinal muscle index was associated with low 28-day mortality in patients aged 65 years or older with CAP.

Abstract Image

Abstract Image

Abstract Image

社区获得性肺炎老年患者脊柱旁肌肉指数的预后效用。
研究目的本研究旨在探讨使用胸部计算机断层扫描(CT)测量脊柱旁肌肉与老年社区获得性肺炎(CAP)患者临床预后之间的关联:这是一项单中心、回顾性、观察性研究,纳入了2020年3月至2022年12月期间通过急诊科住院的老年(≥65岁)CAP患者。我们收集了他们入院时的基线特征和实验室数据。利用入院前后 48 小时内拍摄的胸部 CT,计算第 12 胸椎水平的脊柱旁肌肉指数和衰减。进行单变量和多变量逻辑回归分析,以评估脊柱旁肌肉测量值与 28 天死亡率之间的关系。受体操作特征曲线(ROC)和曲线下面积(AUC)分析用于评估预后预测能力:结果:在 338 名登记的患者中,有 60 人(17.8%)在入院后 28 天内死亡。高脊柱旁肌肉指数与老年 CAP 患者 28 天内的低死亡率相关(调整后的几率比为 0.994;95% 置信区间为 0.992-0.997)。肌肉指数的ROC曲线下面积为0.75,优于肺炎严重程度指数(PSI)和混淆、尿素、呼吸频率、血压、年龄≥65岁(CURB-65),两者在预测死亡率方面的ROC曲线下面积均为0.64:结论:在 65 岁或以上的 CAP 患者中,高脊柱旁肌肉指数与低 28 天死亡率相关。
本文章由计算机程序翻译,如有差异,请以英文原文为准。
求助全文
约1分钟内获得全文 求助全文
来源期刊
CiteScore
2.80
自引率
10.50%
发文量
59
×
引用
GB/T 7714-2015
复制
MLA
复制
APA
复制
导出至
BibTeX EndNote RefMan NoteFirst NoteExpress
×
提示
您的信息不完整,为了账户安全,请先补充。
现在去补充
×
提示
您因"违规操作"
具体请查看互助需知
我知道了
×
提示
确定
请完成安全验证×
copy
已复制链接
快去分享给好友吧!
我知道了
右上角分享
点击右上角分享
0
联系我们:info@booksci.cn Book学术提供免费学术资源搜索服务,方便国内外学者检索中英文文献。致力于提供最便捷和优质的服务体验。 Copyright © 2023 布克学术 All rights reserved.
京ICP备2023020795号-1
ghs 京公网安备 11010802042870号
Book学术文献互助
Book学术文献互助群
群 号:604180095
Book学术官方微信