Point-of-care ultrasound by emergency physicians for direct ureteral stone detection: a case series and review of the literature.

IF 2.3 Q2 EMERGENCY MEDICINE
Clinical and Experimental Emergency Medicine Pub Date : 2024-06-01 Epub Date: 2024-01-29 DOI:10.15441/ceem.23.096
Nadav Granat, Evan Avraham Alpert
{"title":"Point-of-care ultrasound by emergency physicians for direct ureteral stone detection: a case series and review of the literature.","authors":"Nadav Granat, Evan Avraham Alpert","doi":"10.15441/ceem.23.096","DOIUrl":null,"url":null,"abstract":"<p><p>Symptomatic urolithiasis is a common cause of emergency department visits, with noncontrast computed tomography considered the imaging gold standard. According to the current guidelines, point-of-care ultrasound (POCUS) is limited to evaluating hydronephrosis as a secondary sign of acute ureteral stones. However, the use of POCUS to detect ureteral stones may lead to decreased radiation to the patient and a more rapid diagnosis. This case series describes 10 patients with suspected symptomatic urolithiasis who were diagnosed accurately by emergency physicians using POCUS to detect obstructive ureteral stones. In three of the cases, POCUS significantly changed the patient's management. This article also describes the proper techniques for the emergency physician to learn to master POCUS for ureteral stone detection.</p>","PeriodicalId":10325,"journal":{"name":"Clinical and Experimental Emergency Medicine","volume":" ","pages":"218-223"},"PeriodicalIF":2.3000,"publicationDate":"2024-06-01","publicationTypes":"Journal Article","fieldsOfStudy":null,"isOpenAccess":false,"openAccessPdf":"https://www.ncbi.nlm.nih.gov/pmc/articles/PMC11237256/pdf/","citationCount":"0","resultStr":null,"platform":"Semanticscholar","paperid":null,"PeriodicalName":"Clinical and Experimental Emergency Medicine","FirstCategoryId":"1085","ListUrlMain":"https://doi.org/10.15441/ceem.23.096","RegionNum":0,"RegionCategory":null,"ArticlePicture":[],"TitleCN":null,"AbstractTextCN":null,"PMCID":null,"EPubDate":"2024/1/29 0:00:00","PubModel":"Epub","JCR":"Q2","JCRName":"EMERGENCY MEDICINE","Score":null,"Total":0}
引用次数: 0

Abstract

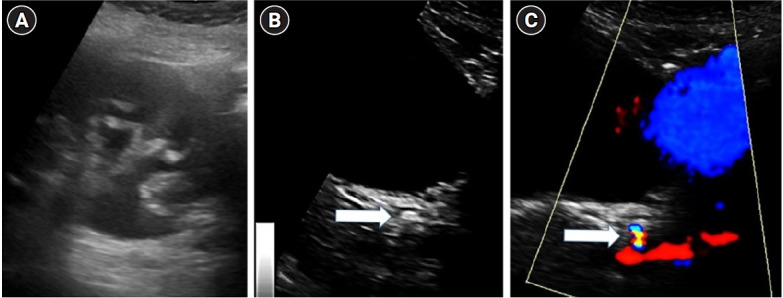
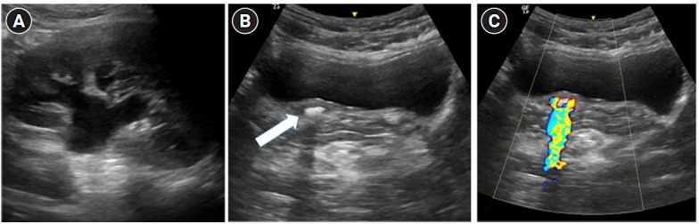
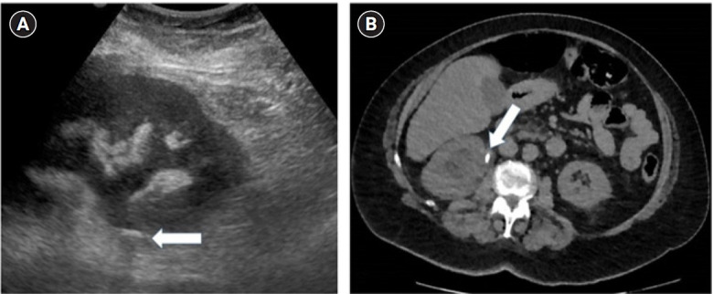
Symptomatic urolithiasis is a common cause of emergency department visits, with noncontrast computed tomography considered the imaging gold standard. According to the current guidelines, point-of-care ultrasound (POCUS) is limited to evaluating hydronephrosis as a secondary sign of acute ureteral stones. However, the use of POCUS to detect ureteral stones may lead to decreased radiation to the patient and a more rapid diagnosis. This case series describes 10 patients with suspected symptomatic urolithiasis who were diagnosed accurately by emergency physicians using POCUS to detect obstructive ureteral stones. In three of the cases, POCUS significantly changed the patient's management. This article also describes the proper techniques for the emergency physician to learn to master POCUS for ureteral stone detection.

Abstract Image

Abstract Image

Abstract Image

由急诊医生进行护理点超声波输尿管结石检测:病例系列和文献综述。
无症状性尿路结石是急诊科(ED)就诊的常见原因,非对比计算机断层扫描(NCCT)被认为是成像的金标准。根据现行指南,POCUS 仅限于评估作为急性输尿管结石次要征兆的肾积水。然而,使用 POCUS 检测输尿管结石可减少对患者的辐射,并能更快速地做出诊断。本病例系列描述了急诊医生使用 POCUS 检测梗阻性输尿管结石准确诊断出的 10 名疑似症状性尿路结石患者。在其中三个病例中,POCUS 显著改变了患者的治疗方案。本文还介绍了急诊医生学习掌握 POCUS 检测输尿管结石的正确技术。
本文章由计算机程序翻译,如有差异,请以英文原文为准。
求助全文
约1分钟内获得全文 求助全文
来源期刊
CiteScore
2.80
自引率
10.50%
发文量
59
×
引用
GB/T 7714-2015
复制
MLA
复制
APA
复制
导出至
BibTeX EndNote RefMan NoteFirst NoteExpress
×
提示
您的信息不完整,为了账户安全,请先补充。
现在去补充
×
提示
您因"违规操作"
具体请查看互助需知
我知道了
×
提示
确定
请完成安全验证×
copy
已复制链接
快去分享给好友吧!
我知道了
右上角分享
点击右上角分享
0
联系我们:info@booksci.cn Book学术提供免费学术资源搜索服务,方便国内外学者检索中英文文献。致力于提供最便捷和优质的服务体验。 Copyright © 2023 布克学术 All rights reserved.
京ICP备2023020795号-1
ghs 京公网安备 11010802042870号
Book学术文献互助
Book学术文献互助群
群 号:604180095
Book学术官方微信