A New Case of Granulomatosis with Polyangiitis Presented with Tolosa-Hunt Syndrome Manifestations.

Case Reports in Rheumatology Pub Date : 2024-01-22 eCollection Date: 2024-01-01 DOI:10.1155/2024/5552402
Maryam Mohebbi, Shahriar Nafissi, Majid Alikhani
{"title":"A New Case of Granulomatosis with Polyangiitis Presented with Tolosa-Hunt Syndrome Manifestations.","authors":"Maryam Mohebbi, Shahriar Nafissi, Majid Alikhani","doi":"10.1155/2024/5552402","DOIUrl":null,"url":null,"abstract":"<p><strong>Background: </strong>Tolosa-Hunt syndrome (THS) is a rare disorder involving the orbital and retro-orbital space. The typical symptoms include sensory loss in the trigeminal nerve's distribution, orbital pain, swelling, headaches, and cranial nerve palsies. <i>Case Presentation</i>. We report a 40-year-old female who initially presented with biparietal headache, unresponsive to medication, which then led to ophthalmoplegia and orbital pain. Serological findings demonstrated positive CANCA-PR3. She was initially treated with 1 g pulse methylprednisolone for three days. Based on the rheumatological evaluation and her positive lung nodule, hematuria, dysmorphic red blood cells, and positive antiproteinase 3 classic antineutrophil cytoplasm antibodies (CANCA-PR3) and also based on the diagnostic criteria for granulomatosis with polyangiitis criteria for Wegner disease, her treatment was continued with prednisolone 1 mg/kg and also rituximab at the first and 14<sup>th</sup> day of treatment.</p><p><strong>Conclusion: </strong>In our case of THS, we achieved satisfactory improvement in symptoms through the administration of high-dose steroids.</p>","PeriodicalId":9622,"journal":{"name":"Case Reports in Rheumatology","volume":"2024 ","pages":"5552402"},"PeriodicalIF":0.0000,"publicationDate":"2024-01-22","publicationTypes":"Journal Article","fieldsOfStudy":null,"isOpenAccess":false,"openAccessPdf":"https://www.ncbi.nlm.nih.gov/pmc/articles/PMC10824575/pdf/","citationCount":"0","resultStr":null,"platform":"Semanticscholar","paperid":null,"PeriodicalName":"Case Reports in Rheumatology","FirstCategoryId":"1085","ListUrlMain":"https://doi.org/10.1155/2024/5552402","RegionNum":0,"RegionCategory":null,"ArticlePicture":[],"TitleCN":null,"AbstractTextCN":null,"PMCID":null,"EPubDate":"2024/1/1 0:00:00","PubModel":"eCollection","JCR":"","JCRName":"","Score":null,"Total":0}
引用次数: 0

Abstract

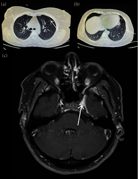
Background: Tolosa-Hunt syndrome (THS) is a rare disorder involving the orbital and retro-orbital space. The typical symptoms include sensory loss in the trigeminal nerve's distribution, orbital pain, swelling, headaches, and cranial nerve palsies. Case Presentation. We report a 40-year-old female who initially presented with biparietal headache, unresponsive to medication, which then led to ophthalmoplegia and orbital pain. Serological findings demonstrated positive CANCA-PR3. She was initially treated with 1 g pulse methylprednisolone for three days. Based on the rheumatological evaluation and her positive lung nodule, hematuria, dysmorphic red blood cells, and positive antiproteinase 3 classic antineutrophil cytoplasm antibodies (CANCA-PR3) and also based on the diagnostic criteria for granulomatosis with polyangiitis criteria for Wegner disease, her treatment was continued with prednisolone 1 mg/kg and also rituximab at the first and 14th day of treatment.

Conclusion: In our case of THS, we achieved satisfactory improvement in symptoms through the administration of high-dose steroids.

Abstract Image

Abstract Image

多发性肉芽肿病伴有托洛萨-亨特综合征表现的新病例。
背景介绍托洛萨-亨特综合征(Tolosa-Hunt syndrome,THS)是一种涉及眼眶和眶后空间的罕见疾病。典型症状包括三叉神经分布区感觉缺失、眼眶疼痛、肿胀、头痛和颅神经麻痹。病例介绍。我们报告了一名 40 岁女性的病例,她最初表现为双顶头痛,对药物治疗无反应,随后出现眼球震颤和眼眶疼痛。血清学检查结果显示 CANCA-PR3 阳性。她最初接受了为期三天的 1 克脉冲甲基强的松龙治疗。根据风湿病学评估、肺结节阳性、血尿、红细胞畸形、抗蛋白酶 3 经典抗中性粒细胞抗体(CANCA-PR3)阳性以及魏格纳肉芽肿伴多血管炎的诊断标准,她继续接受泼尼松龙 1 毫克/公斤的治疗,并在治疗的第 1 天和第 14 天使用利妥昔单抗:在我们的 THS 病例中,通过使用大剂量类固醇药物,症状得到了令人满意的改善。
本文章由计算机程序翻译,如有差异,请以英文原文为准。
求助全文
约1分钟内获得全文 求助全文
来源期刊
自引率
0.00%
发文量
35
审稿时长
12 weeks
×
引用
GB/T 7714-2015
复制
MLA
复制
APA
复制
导出至
BibTeX EndNote RefMan NoteFirst NoteExpress
×
提示
您的信息不完整,为了账户安全,请先补充。
现在去补充
×
提示
您因"违规操作"
具体请查看互助需知
我知道了
×
提示
确定
请完成安全验证×
copy
已复制链接
快去分享给好友吧!
我知道了
右上角分享
点击右上角分享
0
联系我们:info@booksci.cn Book学术提供免费学术资源搜索服务,方便国内外学者检索中英文文献。致力于提供最便捷和优质的服务体验。 Copyright © 2023 布克学术 All rights reserved.
京ICP备2023020795号-1
ghs 京公网安备 11010802042870号
Book学术文献互助
Book学术文献互助群
群 号:604180095
Book学术官方微信