Long-term response with the atypical reaction to nivolumab in microsatellite stability metastatic colorectal cancer: A case report.

IF 2.5 Q3 PHARMACOLOGY & PHARMACY
Drug Target Insights Pub Date : 2024-01-23 eCollection Date: 2024-01-01 DOI:10.33393/dti.2024.2637
Nataliya Babyshkina, Nataliya Popova, Evgeny Grigoryev, Tatyana Dronova, Polina Gervas, Alexey Dobrodeev, Dmitry Kostromitskiy, Victor Goldberg, Sergey Afanasiev, Nadejda Cherdyntseva
{"title":"Long-term response with the atypical reaction to nivolumab in microsatellite stability metastatic colorectal cancer: A case report.","authors":"Nataliya Babyshkina, Nataliya Popova, Evgeny Grigoryev, Tatyana Dronova, Polina Gervas, Alexey Dobrodeev, Dmitry Kostromitskiy, Victor Goldberg, Sergey Afanasiev, Nadejda Cherdyntseva","doi":"10.33393/dti.2024.2637","DOIUrl":null,"url":null,"abstract":"<p><p>Immunotherapy has become an integral part of a comprehensive treatment approach to metastatic colorectal cancer (mCRC). Nivolumab (Opdivo) is a human immunoglobulin G4 monoclonal antibody that blocks the interaction between the programmed cell death 1 (PD-1) receptor and its ligands 1/2 (PD-L1/PD-L2), leading to inhibition of T-cell proliferation, cytokine secretion, and enhanced immune response. The US Food and Drug Administration (FDA) has approved this drug for use in high microsatellite instability (MSI-high)/deficiencies in mismatch repair (dMMR) advanced CRC patients. However, its efficacy is extremely limited in microsatellite stability (MSS)/mismatch repair proficient (pMMR) patients. We report a case of a 42-year-old man diagnosed with MSS/pMMR mCRC who has achieved a durable response to nivolumab after a progression under chemotherapy with antiangiogenic treatment. We observed for the first time an atypical response after 8 months of nivolumab treatment, with the regression of previous primary pulmonary lesions and the presence of new para-aortic lymph node lesions. This report demonstrates that a subset of pretreated mCRC patients with the MSS/pMMR phenotype may benefit from nivolumab and these patients need more attention.</p>","PeriodicalId":11326,"journal":{"name":"Drug Target Insights","volume":"18 ","pages":"4-7"},"PeriodicalIF":2.5000,"publicationDate":"2024-01-23","publicationTypes":"Journal Article","fieldsOfStudy":null,"isOpenAccess":false,"openAccessPdf":"https://www.ncbi.nlm.nih.gov/pmc/articles/PMC10813188/pdf/","citationCount":"0","resultStr":null,"platform":"Semanticscholar","paperid":null,"PeriodicalName":"Drug Target Insights","FirstCategoryId":"1085","ListUrlMain":"https://doi.org/10.33393/dti.2024.2637","RegionNum":0,"RegionCategory":null,"ArticlePicture":[],"TitleCN":null,"AbstractTextCN":null,"PMCID":null,"EPubDate":"2024/1/1 0:00:00","PubModel":"eCollection","JCR":"Q3","JCRName":"PHARMACOLOGY & PHARMACY","Score":null,"Total":0}
引用次数: 0

Abstract

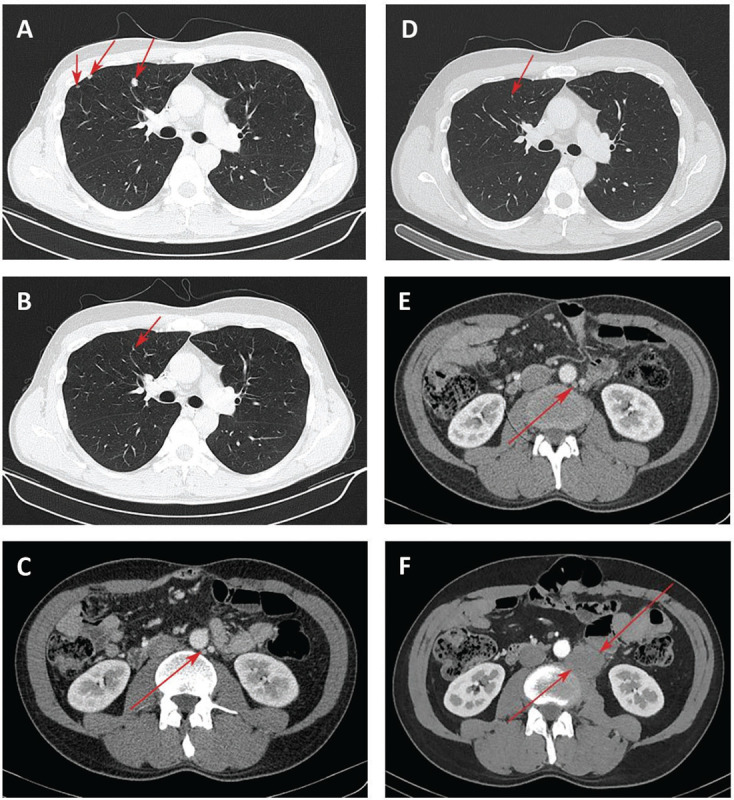
Immunotherapy has become an integral part of a comprehensive treatment approach to metastatic colorectal cancer (mCRC). Nivolumab (Opdivo) is a human immunoglobulin G4 monoclonal antibody that blocks the interaction between the programmed cell death 1 (PD-1) receptor and its ligands 1/2 (PD-L1/PD-L2), leading to inhibition of T-cell proliferation, cytokine secretion, and enhanced immune response. The US Food and Drug Administration (FDA) has approved this drug for use in high microsatellite instability (MSI-high)/deficiencies in mismatch repair (dMMR) advanced CRC patients. However, its efficacy is extremely limited in microsatellite stability (MSS)/mismatch repair proficient (pMMR) patients. We report a case of a 42-year-old man diagnosed with MSS/pMMR mCRC who has achieved a durable response to nivolumab after a progression under chemotherapy with antiangiogenic treatment. We observed for the first time an atypical response after 8 months of nivolumab treatment, with the regression of previous primary pulmonary lesions and the presence of new para-aortic lymph node lesions. This report demonstrates that a subset of pretreated mCRC patients with the MSS/pMMR phenotype may benefit from nivolumab and these patients need more attention.

Abstract Image

Abstract Image

微卫星稳定性转移性结直肠癌患者对尼伐单抗非典型反应的长期应答:病例报告。
免疫疗法已成为转移性结直肠癌(mCRC)综合治疗方法中不可或缺的一部分。Nivolumab(Opdivo)是一种人免疫球蛋白G4单克隆抗体,可阻断程序性细胞死亡1(PD-1)受体与其配体1/2(PD-L1/PD-L2)之间的相互作用,从而抑制T细胞增殖、细胞因子分泌并增强免疫反应。美国食品和药物管理局(FDA)已批准将这种药物用于微卫星不稳定性高(MSI-high)/错配修复缺陷(dMMR)的晚期 CRC 患者。然而,它对微卫星稳定性(MSS)/错配修复能力(pMMR)患者的疗效却极为有限。我们报告了一例被诊断为 MSS/pMMR mCRC 的 42 岁男性患者,他在接受化疗和抗血管生成治疗后病情出现进展,但对 nivolumab 获得了持久应答。我们首次观察到患者在接受 nivolumab 治疗 8 个月后出现非典型反应,之前的原发性肺部病变消退,但出现了新的主动脉旁淋巴结病变。该报告表明,一部分具有 MSS/pMMR 表型的预处理 mCRC 患者可能会从 nivolumab 中获益,这些患者需要更多关注。
本文章由计算机程序翻译,如有差异,请以英文原文为准。
求助全文
约1分钟内获得全文 求助全文
来源期刊
Drug Target Insights
Drug Target Insights PHARMACOLOGY & PHARMACY-
CiteScore
2.70
自引率
0.00%
发文量
5
审稿时长
8 weeks
×
引用
GB/T 7714-2015
复制
MLA
复制
APA
复制
导出至
BibTeX EndNote RefMan NoteFirst NoteExpress
×
提示
您的信息不完整,为了账户安全,请先补充。
现在去补充
×
提示
您因"违规操作"
具体请查看互助需知
我知道了
×
提示
确定
请完成安全验证×
copy
已复制链接
快去分享给好友吧!
我知道了
右上角分享
点击右上角分享
0
联系我们:info@booksci.cn Book学术提供免费学术资源搜索服务,方便国内外学者检索中英文文献。致力于提供最便捷和优质的服务体验。 Copyright © 2023 布克学术 All rights reserved.
京ICP备2023020795号-1
ghs 京公网安备 11010802042870号
Book学术文献互助
Book学术文献互助群
群 号:604180095
Book学术官方微信