Prostate cancer in workers exposed to night-shift work: two cases recognized by the Korean Epidemiologic Investigation Evaluation Committee.

IF 1.8 Q4 PUBLIC, ENVIRONMENTAL & OCCUPATIONAL HEALTH
Annals of Occupational and Environmental Medicine Pub Date : 2023-12-07 eCollection Date: 2023-01-01 DOI:10.35371/aoem.2023.35.e52
Sungkyun Park, Seongwon Ma, Hoekyeong Seo, Sang Gil Lee, Jihye Lee, Shinhee Ye
{"title":"Prostate cancer in workers exposed to night-shift work: two cases recognized by the Korean Epidemiologic Investigation Evaluation Committee.","authors":"Sungkyun Park, Seongwon Ma, Hoekyeong Seo, Sang Gil Lee, Jihye Lee, Shinhee Ye","doi":"10.35371/aoem.2023.35.e52","DOIUrl":null,"url":null,"abstract":"<p><strong>Background: </strong>In 2019, the International Agency for Research on Cancer re-evaluated the carcinogenicity of night-shift work and reported that there is limited evidence that night-shift work is carcinogenic for the development of prostate cancer. Therefore, in 2020 and 2021, the Korean Epidemiologic Investigation Evaluation Committee concluded that 2 cases of prostate cancer were occupational diseases related to the night-shift work. Here, we report the 2 cases of prostate cancer in night-shift workers which were first concluded as occupational diseases by the Korean Epidemiologic Investigation Evaluation Committee.</p><p><strong>Case presentation: </strong>Patient A: A 61-year-old man worked as a city bus driver for approximately 17 years, from 2002 to 2019, and was exposed to night-shift work during this period. In March 2017, the patient was diagnosed with high-grade prostate cancer through core-needle biopsy after experiencing stinging pain lasting for 2 months. Patient B: A 56-year-old man worked as an electrician and an automated equipment operator in a cement manufacturing plant for 35 years from 1976 to 2013 and was exposed to night-shift work during this period. In 2013, the patient was diagnosed with high-grade prostate cancer through core needle biopsy at a university hospital because of dysuria that lasted for 6 months.</p><p><strong>Conclusions: </strong>The 2 workers were diagnosed with high-grade prostate cancer after working night shifts for 17 and 35 years respectively. Additionally, previous studies have reported that high-grade prostate cancer has a stronger relationship with night-shift work than low or medium-grade prostate cancer. Therefore, the Korean Epidemiologic Investigation Evaluation Committee concluded that night-shift work in these 2 patients contributed to the development of their prostate cancer.</p>","PeriodicalId":46631,"journal":{"name":"Annals of Occupational and Environmental Medicine","volume":"35 ","pages":"e52"},"PeriodicalIF":1.8000,"publicationDate":"2023-12-07","publicationTypes":"Journal Article","fieldsOfStudy":null,"isOpenAccess":false,"openAccessPdf":"https://www.ncbi.nlm.nih.gov/pmc/articles/PMC10808083/pdf/","citationCount":"0","resultStr":null,"platform":"Semanticscholar","paperid":null,"PeriodicalName":"Annals of Occupational and Environmental Medicine","FirstCategoryId":"1085","ListUrlMain":"https://doi.org/10.35371/aoem.2023.35.e52","RegionNum":0,"RegionCategory":null,"ArticlePicture":[],"TitleCN":null,"AbstractTextCN":null,"PMCID":null,"EPubDate":"2023/1/1 0:00:00","PubModel":"eCollection","JCR":"Q4","JCRName":"PUBLIC, ENVIRONMENTAL & OCCUPATIONAL HEALTH","Score":null,"Total":0}
引用次数: 0

Abstract

Background: In 2019, the International Agency for Research on Cancer re-evaluated the carcinogenicity of night-shift work and reported that there is limited evidence that night-shift work is carcinogenic for the development of prostate cancer. Therefore, in 2020 and 2021, the Korean Epidemiologic Investigation Evaluation Committee concluded that 2 cases of prostate cancer were occupational diseases related to the night-shift work. Here, we report the 2 cases of prostate cancer in night-shift workers which were first concluded as occupational diseases by the Korean Epidemiologic Investigation Evaluation Committee.

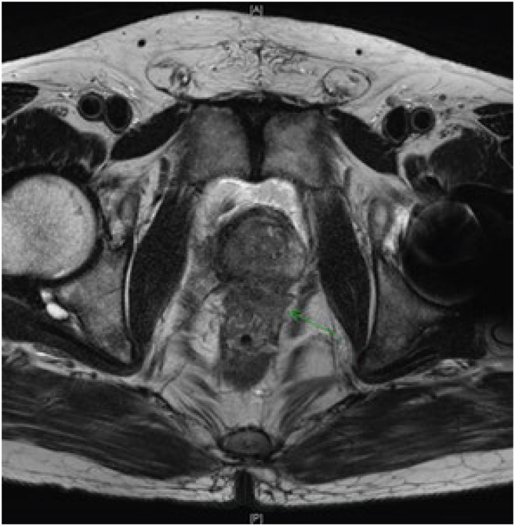
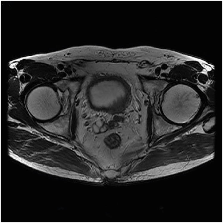
Case presentation: Patient A: A 61-year-old man worked as a city bus driver for approximately 17 years, from 2002 to 2019, and was exposed to night-shift work during this period. In March 2017, the patient was diagnosed with high-grade prostate cancer through core-needle biopsy after experiencing stinging pain lasting for 2 months. Patient B: A 56-year-old man worked as an electrician and an automated equipment operator in a cement manufacturing plant for 35 years from 1976 to 2013 and was exposed to night-shift work during this period. In 2013, the patient was diagnosed with high-grade prostate cancer through core needle biopsy at a university hospital because of dysuria that lasted for 6 months.

Conclusions: The 2 workers were diagnosed with high-grade prostate cancer after working night shifts for 17 and 35 years respectively. Additionally, previous studies have reported that high-grade prostate cancer has a stronger relationship with night-shift work than low or medium-grade prostate cancer. Therefore, the Korean Epidemiologic Investigation Evaluation Committee concluded that night-shift work in these 2 patients contributed to the development of their prostate cancer.

Abstract Image

Abstract Image

Abstract Image

夜班工人的前列腺癌:韩国流行病学调查评估委员会确认的两个病例。
背景:2019年,国际癌症研究机构重新评估了夜班工作的致癌性,并报告称,有有限证据表明夜班工作对前列腺癌的发展具有致癌性。因此,在 2020 年和 2021 年,韩国流行病学调查评估委员会认定 2 例前列腺癌病例与夜班工作有关,属于职业病。在此,我们报告了韩国流行病学调查评估委员会首次认定为职业病的 2 例夜班工人前列腺癌病例:患者 A:一名 61 岁的男性从 2002 年至 2019 年担任城市公交车司机约 17 年,在此期间接触过夜班工作。2017 年 3 月,患者出现持续 2 个月的刺痛,通过核心针活检被诊断为高级别前列腺癌。患者 B:一名 56 岁的男子从 1976 年至 2013 年在一家水泥制造厂担任电工和自动化设备操作员长达 35 年,在此期间接触过夜班工作。2013 年,患者因持续 6 个月排尿困难,在一家大学医院通过核心针活检被诊断为高级别前列腺癌:这两名工人分别在夜班工作 17 年和 35 年后被诊断出患有高级别前列腺癌。此外,以往的研究还表明,与中低级别前列腺癌相比,高级别前列腺癌与夜班工作的关系更为密切。因此,韩国流行病学调查评估委员会得出结论,这两名患者的前列腺癌是由夜班工作导致的。
本文章由计算机程序翻译,如有差异,请以英文原文为准。
求助全文
约1分钟内获得全文 求助全文
来源期刊
Annals of Occupational and Environmental Medicine
Annals of Occupational and Environmental Medicine PUBLIC, ENVIRONMENTAL & OCCUPATIONAL HEALTH-
CiteScore
1.90
自引率
0.00%
发文量
25
审稿时长
16 weeks
期刊介绍: Annals of Occupational and Environmental Medicine (AOEM) is an open access journal that considers original contributions relevant to occupational and environmental medicine and related fields, in the form of original articles, review articles, short letters and case reports. AOEM is aimed at clinicians and researchers working in the wide-ranging discipline of occupational and environmental medicine. Topic areas focus on, but are not limited to, interactions between work and health, covering occupational and environmental epidemiology, toxicology, hygiene, diagnosis and treatment of diseases, management, organization and policy. As the official journal of the Korean Society of Occupational and Environmental Medicine (KSOEM), members and authors based in the Republic of Korea are entitled to a discounted article-processing charge when they publish in AOEM.
×
引用
GB/T 7714-2015
复制
MLA
复制
APA
复制
导出至
BibTeX EndNote RefMan NoteFirst NoteExpress
×
提示
您的信息不完整,为了账户安全,请先补充。
现在去补充
×
提示
您因"违规操作"
具体请查看互助需知
我知道了
×
提示
确定
请完成安全验证×
copy
已复制链接
快去分享给好友吧!
我知道了
右上角分享
点击右上角分享
0
联系我们:info@booksci.cn Book学术提供免费学术资源搜索服务,方便国内外学者检索中英文文献。致力于提供最便捷和优质的服务体验。 Copyright © 2023 布克学术 All rights reserved.
京ICP备2023020795号-1
ghs 京公网安备 11010802042870号
Book学术文献互助
Book学术文献互助群
群 号:604180095
Book学术官方微信