Increased medial talar tilt may incite ankle pain and predispose ankle osteoarthritis after correction of severity of knee varus deformity among patients undergoing bilateral total knee arthroplasty: a prospective observation.

IF 4.4 Q2 Medicine
Arghya Kundu Choudhury, Shivam Bansal, J Pranav, Balgovind S Raja, Tushar Gupta, Souvik Paul, Kshitij Gupta, Roop Bhushan Kalia
{"title":"Increased medial talar tilt may incite ankle pain and predispose ankle osteoarthritis after correction of severity of knee varus deformity among patients undergoing bilateral total knee arthroplasty: a prospective observation.","authors":"Arghya Kundu Choudhury, Shivam Bansal, J Pranav, Balgovind S Raja, Tushar Gupta, Souvik Paul, Kshitij Gupta, Roop Bhushan Kalia","doi":"10.1186/s43019-024-00212-x","DOIUrl":null,"url":null,"abstract":"<p><strong>Purpose: </strong>Patients with varus knee osteoarthritis usually compensate at the ankle and typically walk with hindfoot valgus alignment. As the neutral weight-bearing axis of the lower limbs is restored with Total Knee Arthroplasty (TKA), ankle and hindfoot biomechanics also acutely change. This study aims to investigate whether any ankle clinical-radiographical changes occur as a result of bilateral mechanical TKA in patients with bilateral Osteoarthritis knee at a minimum follow-up of 6 months.</p><p><strong>Methods: </strong>The prospective observational study included 61 patients (122 knees) undergoing simultaneous bilateral TKA (mechanical alignment). Tibio-talar angle(TTA), tibial Anterior Surface angle (TAS), lateral distal tibial angle (LDTA), talar-tilt angle (TT), anatomical talocrural angle (aTC), ground surface and distal tibial plafond angle (GP), ground surface and an upper surface of talus angle (GT)and tibial plateau and tibial plafond angle (PP) were measured on long-film radiographs to look for changes in the ankle, whereas functional assessment was done using American Foot and Ankle Society (AOFAS), Foot and Ankle Disability Index (FADI), and Forgotten Joint (FJS-12) scores. Patients were sub-grouped based on the Hip-Knee-Ankle (HKA) axis, and the effect of the severity of knee varus on the ankles after TKA was also analyzed. The minimum follow-up was 6 months.</p><p><strong>Results: </strong>A significant decrease in the tibial plateau-tibial plafond (PP), ground-tibial plafond (GP), and ground-talar dome (GT) angles was noted after TKA (p-value < 0.05). Postoperative functional parameters were comparable to the preoperative status except for FADI, which significantly improved (p-value-0.03). Sub-group analysis based on the severity of knee varus (HKA) revealed GT to be most significantly reduced (p-value-0.036), while the talar tilt (TT) increased (p-value-0.044). Functional outcomes of the ankles clinically improved with the correction of severe knee varus after TKA. At a mean follow-up of 13.2 months post-TKA, 7 out of 61 (11.4%) patients complained of post-TKA ipsilateral ankle pain.</p><p><strong>Conclusion: </strong>Mechanically aligned bilateral TKA in severe varus deformity of the knee significantly decreases the GT angle but increases the varus tilt of the talus with lateral talar incongruency and under-coverage. Although the acute correction of severe knee varus deformity aligns the tibia more neutrally, resulting in an overall clinically evident improvement in ankle functional outcome, the increased varus talar tilt remains a deep concern.</p><p><strong>Level of evidence: </strong>Prospective, observational, comparative study Level II.</p>","PeriodicalId":36317,"journal":{"name":"Knee Surgery and Related Research","volume":"36 1","pages":"7"},"PeriodicalIF":4.4000,"publicationDate":"2024-01-24","publicationTypes":"Journal Article","fieldsOfStudy":null,"isOpenAccess":false,"openAccessPdf":"https://www.ncbi.nlm.nih.gov/pmc/articles/PMC10807238/pdf/","citationCount":"0","resultStr":null,"platform":"Semanticscholar","paperid":null,"PeriodicalName":"Knee Surgery and Related Research","FirstCategoryId":"1085","ListUrlMain":"https://doi.org/10.1186/s43019-024-00212-x","RegionNum":0,"RegionCategory":null,"ArticlePicture":[],"TitleCN":null,"AbstractTextCN":null,"PMCID":null,"EPubDate":"","PubModel":"","JCR":"Q2","JCRName":"Medicine","Score":null,"Total":0}
引用次数: 0

Abstract

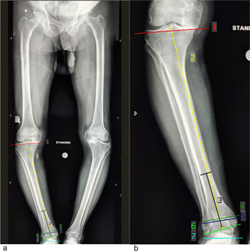
Purpose: Patients with varus knee osteoarthritis usually compensate at the ankle and typically walk with hindfoot valgus alignment. As the neutral weight-bearing axis of the lower limbs is restored with Total Knee Arthroplasty (TKA), ankle and hindfoot biomechanics also acutely change. This study aims to investigate whether any ankle clinical-radiographical changes occur as a result of bilateral mechanical TKA in patients with bilateral Osteoarthritis knee at a minimum follow-up of 6 months.

Methods: The prospective observational study included 61 patients (122 knees) undergoing simultaneous bilateral TKA (mechanical alignment). Tibio-talar angle(TTA), tibial Anterior Surface angle (TAS), lateral distal tibial angle (LDTA), talar-tilt angle (TT), anatomical talocrural angle (aTC), ground surface and distal tibial plafond angle (GP), ground surface and an upper surface of talus angle (GT)and tibial plateau and tibial plafond angle (PP) were measured on long-film radiographs to look for changes in the ankle, whereas functional assessment was done using American Foot and Ankle Society (AOFAS), Foot and Ankle Disability Index (FADI), and Forgotten Joint (FJS-12) scores. Patients were sub-grouped based on the Hip-Knee-Ankle (HKA) axis, and the effect of the severity of knee varus on the ankles after TKA was also analyzed. The minimum follow-up was 6 months.

Results: A significant decrease in the tibial plateau-tibial plafond (PP), ground-tibial plafond (GP), and ground-talar dome (GT) angles was noted after TKA (p-value < 0.05). Postoperative functional parameters were comparable to the preoperative status except for FADI, which significantly improved (p-value-0.03). Sub-group analysis based on the severity of knee varus (HKA) revealed GT to be most significantly reduced (p-value-0.036), while the talar tilt (TT) increased (p-value-0.044). Functional outcomes of the ankles clinically improved with the correction of severe knee varus after TKA. At a mean follow-up of 13.2 months post-TKA, 7 out of 61 (11.4%) patients complained of post-TKA ipsilateral ankle pain.

Conclusion: Mechanically aligned bilateral TKA in severe varus deformity of the knee significantly decreases the GT angle but increases the varus tilt of the talus with lateral talar incongruency and under-coverage. Although the acute correction of severe knee varus deformity aligns the tibia more neutrally, resulting in an overall clinically evident improvement in ankle functional outcome, the increased varus talar tilt remains a deep concern.

Level of evidence: Prospective, observational, comparative study Level II.

Abstract Image

Abstract Image

Abstract Image

在接受双侧全膝关节置换术的患者中,膝关节屈曲畸形的严重程度得到矫正后,距骨内侧倾斜的增加可能会引发踝关节疼痛并诱发踝关节骨关节炎:一项前瞻性观察。
目的:膝关节外翻骨关节炎患者通常在踝关节处进行代偿,行走时通常后足外翻。随着全膝关节置换术(TKA)恢复下肢的中性负重轴,踝关节和后足的生物力学也会发生急剧变化。本研究旨在探讨双侧膝关节骨性关节炎患者在接受双侧机械性 TKA 后,在至少 6 个月的随访期间,踝关节是否会发生临床放射学变化:前瞻性观察研究包括61名患者(122个膝关节),他们同时接受了双侧TKA(机械对位)。胫骨-跗骨角(TTA)、胫骨前表面角(TAS)、胫骨外侧远端角(LDTA)、距骨倾斜角(TT)、解剖距骨角(aTC)、地表面和胫骨远端平台角(GP)、功能评估则采用美国足踝协会(AOFAS)、足踝残疾指数(FADI)和遗忘关节(FJS-12)评分。根据髋-膝-踝(HKA)轴对患者进行分组,并分析膝关节外翻的严重程度对 TKA 术后踝关节的影响。最短随访时间为 6 个月:结果:TKA术后,胫骨平台-胫骨平台(PP)、地面-胫骨平台(GP)和地面-跗骨穹隆(GT)角度均明显下降(P值 结论:TKA术后,胫骨平台-胫骨平台(PP)、地面-胫骨平台(GP)和地面-跗骨穹隆(GT)角度均明显下降(P值对严重膝关节屈曲畸形进行机械对齐的双侧 TKA 可显著降低 GT 角,但会增加距骨的屈曲倾斜度,并伴有距骨外侧不协调和覆盖不足。虽然严重膝关节内翻畸形的急性矫正能使胫骨更中性地对齐,从而在临床上明显改善踝关节的功能,但距骨内翻的增加仍是一个令人深感忧虑的问题:前瞻性、观察性、比较研究 II 级。
本文章由计算机程序翻译,如有差异,请以英文原文为准。
求助全文
约1分钟内获得全文 求助全文
来源期刊
CiteScore
6.50
自引率
0.00%
发文量
42
审稿时长
19 weeks
×
引用
GB/T 7714-2015
复制
MLA
复制
APA
复制
导出至
BibTeX EndNote RefMan NoteFirst NoteExpress
×
提示
您的信息不完整,为了账户安全,请先补充。
现在去补充
×
提示
您因"违规操作"
具体请查看互助需知
我知道了
×
提示
确定
请完成安全验证×
copy
已复制链接
快去分享给好友吧!
我知道了
右上角分享
点击右上角分享
0
联系我们:info@booksci.cn Book学术提供免费学术资源搜索服务,方便国内外学者检索中英文文献。致力于提供最便捷和优质的服务体验。 Copyright © 2023 布克学术 All rights reserved.
京ICP备2023020795号-1
ghs 京公网安备 11010802042870号
Book学术文献互助
Book学术文献互助群
群 号:604180095
Book学术官方微信