Right Atrium Primary Cardiac Lymphoma Causing Heart Failure.

IF 0.3 Q4 SURGERY
Thoracic and Cardiovascular Surgeon Reports Pub Date : 2024-01-22 eCollection Date: 2024-01-01 DOI:10.1055/a-2228-7405
Angel Doño, Cassidy Lounsbury, Harvey Edward Garrett
{"title":"Right Atrium Primary Cardiac Lymphoma Causing Heart Failure.","authors":"Angel Doño, Cassidy Lounsbury, Harvey Edward Garrett","doi":"10.1055/a-2228-7405","DOIUrl":null,"url":null,"abstract":"<p><p><b>Background</b>  Patients with primary cardiac tumors may present with symptoms based on the size and location of the tumor. Symptoms may include congestive heart failure secondary to intracardiac obstruction, systemic embolization, arrhythmias, and constitutional symptoms. <b>Case Description</b>  A patient presented with new onset atrial fibrillation and heart failure. Workup including open surgery revealed a primary cardiac lymphoma. <b>Conclusion</b>  Cardiac tumors present with a variety of symptoms and are best evaluated by echocardiogram, computed tomography angiography, and magnetic resonance imaging. Tissue diagnosis is necessary. Although primary cardiac lymphoma is rare, long-term survival after chemotherapy and rituximab is superior to other cardiac malignancies.</p>","PeriodicalId":41729,"journal":{"name":"Thoracic and Cardiovascular Surgeon Reports","volume":"13 1","pages":"e1-e3"},"PeriodicalIF":0.3000,"publicationDate":"2024-01-22","publicationTypes":"Journal Article","fieldsOfStudy":null,"isOpenAccess":false,"openAccessPdf":"https://www.ncbi.nlm.nih.gov/pmc/articles/PMC10803137/pdf/","citationCount":"0","resultStr":null,"platform":"Semanticscholar","paperid":null,"PeriodicalName":"Thoracic and Cardiovascular Surgeon Reports","FirstCategoryId":"1085","ListUrlMain":"https://doi.org/10.1055/a-2228-7405","RegionNum":0,"RegionCategory":null,"ArticlePicture":[],"TitleCN":null,"AbstractTextCN":null,"PMCID":null,"EPubDate":"2024/1/1 0:00:00","PubModel":"eCollection","JCR":"Q4","JCRName":"SURGERY","Score":null,"Total":0}
引用次数: 0

Abstract

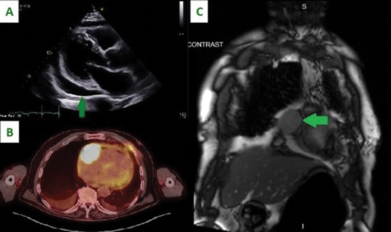
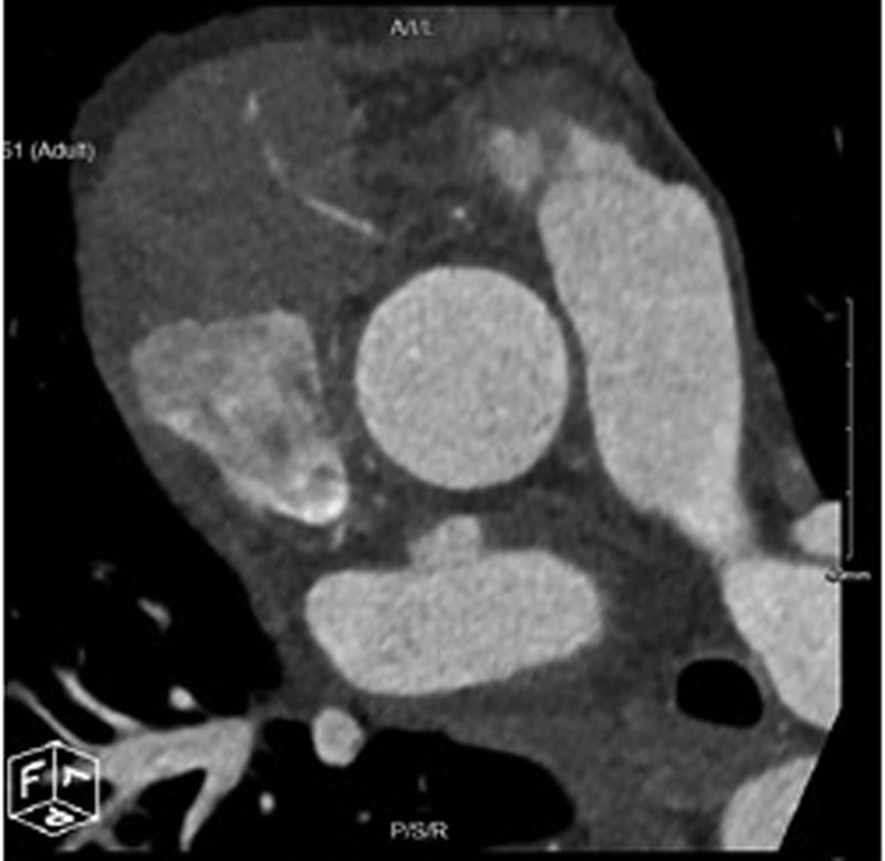
Background  Patients with primary cardiac tumors may present with symptoms based on the size and location of the tumor. Symptoms may include congestive heart failure secondary to intracardiac obstruction, systemic embolization, arrhythmias, and constitutional symptoms. Case Description  A patient presented with new onset atrial fibrillation and heart failure. Workup including open surgery revealed a primary cardiac lymphoma. Conclusion  Cardiac tumors present with a variety of symptoms and are best evaluated by echocardiogram, computed tomography angiography, and magnetic resonance imaging. Tissue diagnosis is necessary. Although primary cardiac lymphoma is rare, long-term survival after chemotherapy and rituximab is superior to other cardiac malignancies.

Abstract Image

Abstract Image

Abstract Image

导致心力衰竭的右心房原发性心脏淋巴瘤
背景原发性心脏肿瘤患者可能会根据肿瘤的大小和位置出现各种症状。症状可能包括继发于心内梗阻的充血性心力衰竭、全身性栓塞、心律失常和体质性症状。病例描述 一名患者因新发心房颤动和心力衰竭就诊。包括开放性手术在内的检查发现患者患有原发性心脏淋巴瘤。结论 心脏肿瘤的症状多种多样,最好通过超声心动图、计算机断层扫描血管造影和磁共振成像进行评估。组织诊断是必要的。原发性心脏淋巴瘤虽然罕见,但化疗和利妥昔单抗治疗后的长期生存率优于其他心脏恶性肿瘤。
本文章由计算机程序翻译,如有差异,请以英文原文为准。
求助全文
约1分钟内获得全文 求助全文
来源期刊
自引率
0.00%
发文量
20
×
引用
GB/T 7714-2015
复制
MLA
复制
APA
复制
导出至
BibTeX EndNote RefMan NoteFirst NoteExpress
×
提示
您的信息不完整,为了账户安全,请先补充。
现在去补充
×
提示
您因"违规操作"
具体请查看互助需知
我知道了
×
提示
确定
请完成安全验证×
copy
已复制链接
快去分享给好友吧!
我知道了
右上角分享
点击右上角分享
0
联系我们:info@booksci.cn Book学术提供免费学术资源搜索服务,方便国内外学者检索中英文文献。致力于提供最便捷和优质的服务体验。 Copyright © 2023 布克学术 All rights reserved.
京ICP备2023020795号-1
ghs 京公网安备 11010802042870号
Book学术文献互助
Book学术文献互助群
群 号:604180095
Book学术官方微信