A Rare Case of Primary Malignant Melanoma of Cervical Spine Having Extramedullary Intradural Origin: A Single Case Report and Literature Review.

Journal of cancer & allied specialties Pub Date : 2024-01-22 eCollection Date: 2024-01-01 DOI:10.37029/jcas.v10i1.513
Irfan Haider, Sarah Khan, Fawad Ul Qamar, Yasir Inam, Kashmala Gul, Iftikhar Ali Rana
{"title":"A Rare Case of Primary Malignant Melanoma of Cervical Spine Having Extramedullary Intradural Origin: A Single Case Report and Literature Review.","authors":"Irfan Haider, Sarah Khan, Fawad Ul Qamar, Yasir Inam, Kashmala Gul, Iftikhar Ali Rana","doi":"10.37029/jcas.v10i1.513","DOIUrl":null,"url":null,"abstract":"<p><strong>Introduction: </strong>Primary spinal malignant melanoma (PSMM) of extramedullary intradural origin is a rare malignant condition with limited current literature regarding its clinical course, magnetic resonance imaging (MRI) findings, treatment strategies, and outcomes.</p><p><strong>Case discussion: </strong>This is a case report of a patient with PSMM who was treated with surgery followed by radiotherapy for his residual disease in Shaukat Khanum Memorial Trust, Pakistan. The clinical and radiological findings of this case were retrospectively analyzed using the Hospital Information System.</p><p><strong>Practical implementations: </strong>PSMM of extramedullary intradural origin is a rare malignant tumor that shows characteristic findings on MRI. Surgical resection is the preferred treatment, and radiotherapy is useful for residual disease.</p>","PeriodicalId":73631,"journal":{"name":"Journal of cancer & allied specialties","volume":"10 1","pages":"513"},"PeriodicalIF":0.0000,"publicationDate":"2024-01-22","publicationTypes":"Journal Article","fieldsOfStudy":null,"isOpenAccess":false,"openAccessPdf":"https://www.ncbi.nlm.nih.gov/pmc/articles/PMC10793715/pdf/","citationCount":"0","resultStr":null,"platform":"Semanticscholar","paperid":null,"PeriodicalName":"Journal of cancer & allied specialties","FirstCategoryId":"1085","ListUrlMain":"https://doi.org/10.37029/jcas.v10i1.513","RegionNum":0,"RegionCategory":null,"ArticlePicture":[],"TitleCN":null,"AbstractTextCN":null,"PMCID":null,"EPubDate":"2024/1/1 0:00:00","PubModel":"eCollection","JCR":"","JCRName":"","Score":null,"Total":0}
引用次数: 0

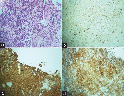
Abstract

Introduction: Primary spinal malignant melanoma (PSMM) of extramedullary intradural origin is a rare malignant condition with limited current literature regarding its clinical course, magnetic resonance imaging (MRI) findings, treatment strategies, and outcomes.

Case discussion: This is a case report of a patient with PSMM who was treated with surgery followed by radiotherapy for his residual disease in Shaukat Khanum Memorial Trust, Pakistan. The clinical and radiological findings of this case were retrospectively analyzed using the Hospital Information System.

Practical implementations: PSMM of extramedullary intradural origin is a rare malignant tumor that shows characteristic findings on MRI. Surgical resection is the preferred treatment, and radiotherapy is useful for residual disease.

Abstract Image

Abstract Image

一例罕见的颈椎髓外髓内原发性恶性黑色素瘤:一例病例报告和文献综述。
简介:髓外硬膜内原发性脊柱恶性黑色素瘤(Primary spinal malignant melanoma,PSMM)是一种罕见的恶性肿瘤,目前有关其临床过程、磁共振成像(MRI)结果、治疗策略和疗效的文献有限:这是巴基斯坦肖卡特-卡努姆纪念信托基金会(Shaukat Khanum Memorial Trust)的一例 PSMM 患者的病例报告。我们利用医院信息系统对该病例的临床和放射学检查结果进行了回顾性分析:髓外硬膜内 PSMM 是一种罕见的恶性肿瘤,在核磁共振成像上显示出特征性结果。手术切除是首选治疗方法,放射治疗对残留病灶有帮助。
本文章由计算机程序翻译,如有差异,请以英文原文为准。
求助全文
约1分钟内获得全文 求助全文
来源期刊
自引率
0.00%
发文量
0
审稿时长
12 weeks
×
引用
GB/T 7714-2015
复制
MLA
复制
APA
复制
导出至
BibTeX EndNote RefMan NoteFirst NoteExpress
×
提示
您的信息不完整,为了账户安全,请先补充。
现在去补充
×
提示
您因"违规操作"
具体请查看互助需知
我知道了
×
提示
确定
请完成安全验证×
copy
已复制链接
快去分享给好友吧!
我知道了
右上角分享
点击右上角分享
0
联系我们:info@booksci.cn Book学术提供免费学术资源搜索服务,方便国内外学者检索中英文文献。致力于提供最便捷和优质的服务体验。 Copyright © 2023 布克学术 All rights reserved.
京ICP备2023020795号-1
ghs 京公网安备 11010802042870号
Book学术文献互助
Book学术文献互助群
群 号:604180095
Book学术官方微信