Successful Response to Golimumab in a Case of Relapsing Polychondritis Overlapping with Ulcerative Colitis.

IF 3.4 Q1 MEDICINE, RESEARCH & EXPERIMENTAL
Biologics : Targets & Therapy Pub Date : 2024-01-12 eCollection Date: 2024-01-01 DOI:10.2147/BTT.S436301
Shu Kojima, Satohiro Matsumoto, Yudai Koito, Takaya Miura, Masanari Sekine, Takeshi Uehara, Takeharu Asano, Yasuhiro Yamaguchi, Hirosato Mashima
{"title":"Successful Response to Golimumab in a Case of Relapsing Polychondritis Overlapping with Ulcerative Colitis.","authors":"Shu Kojima, Satohiro Matsumoto, Yudai Koito, Takaya Miura, Masanari Sekine, Takeshi Uehara, Takeharu Asano, Yasuhiro Yamaguchi, Hirosato Mashima","doi":"10.2147/BTT.S436301","DOIUrl":null,"url":null,"abstract":"<p><p>A 51-year-old Japanese man was diagnosed with left-sided ulcerative colitis (UC) at age 41. He was treated with mesalazine and azathioprine and maintained remission. At age 51, the patient developed bloody stools, abdominal pain, scleritis, arthritis, cough, bloody sputum, and pericardial effusion. Considering that pericardial effusion is an atypical extraintestinal complication of UC, and the patient met the diagnostic criteria for relapsing polychondritis (RP), a diagnosis of RP complicating a relapse of UC was made. Steroid therapy was administered, and both diseases improved. Golimumab, an anti-tumor necrosis factor-α inhibitor, was introduced as maintenance therapy for UC. All symptoms, including pericardial effusion, improved. Subsequently, no relapse of UC or RP was observed. As only a few cases of RP overlapping with UC have been reported and no treatment protocol has been established, we considered this case valuable and worthy of publication.</p>","PeriodicalId":9025,"journal":{"name":"Biologics : Targets & Therapy","volume":"18 ","pages":"1-6"},"PeriodicalIF":3.4000,"publicationDate":"2024-01-12","publicationTypes":"Journal Article","fieldsOfStudy":null,"isOpenAccess":false,"openAccessPdf":"https://www.ncbi.nlm.nih.gov/pmc/articles/PMC10790666/pdf/","citationCount":"0","resultStr":null,"platform":"Semanticscholar","paperid":null,"PeriodicalName":"Biologics : Targets & Therapy","FirstCategoryId":"1085","ListUrlMain":"https://doi.org/10.2147/BTT.S436301","RegionNum":0,"RegionCategory":null,"ArticlePicture":[],"TitleCN":null,"AbstractTextCN":null,"PMCID":null,"EPubDate":"2024/1/1 0:00:00","PubModel":"eCollection","JCR":"Q1","JCRName":"MEDICINE, RESEARCH & EXPERIMENTAL","Score":null,"Total":0}
引用次数: 0

Abstract

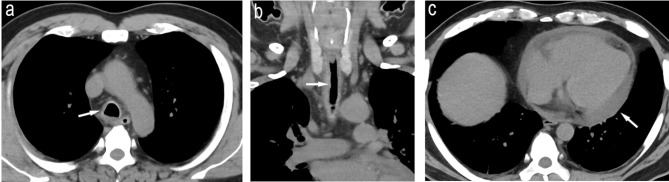
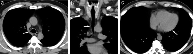
A 51-year-old Japanese man was diagnosed with left-sided ulcerative colitis (UC) at age 41. He was treated with mesalazine and azathioprine and maintained remission. At age 51, the patient developed bloody stools, abdominal pain, scleritis, arthritis, cough, bloody sputum, and pericardial effusion. Considering that pericardial effusion is an atypical extraintestinal complication of UC, and the patient met the diagnostic criteria for relapsing polychondritis (RP), a diagnosis of RP complicating a relapse of UC was made. Steroid therapy was administered, and both diseases improved. Golimumab, an anti-tumor necrosis factor-α inhibitor, was introduced as maintenance therapy for UC. All symptoms, including pericardial effusion, improved. Subsequently, no relapse of UC or RP was observed. As only a few cases of RP overlapping with UC have been reported and no treatment protocol has been established, we considered this case valuable and worthy of publication.

Abstract Image

Abstract Image

Abstract Image

复发性多软骨炎与溃疡性结肠炎重叠病例对戈利木单抗的成功应答
一名 51 岁的日本男子在 41 岁时被诊断出患有左侧溃疡性结肠炎(UC)。他接受了美沙拉嗪和硫唑嘌呤治疗,病情得到了缓解。51 岁时,患者出现血便、腹痛、巩膜炎、关节炎、咳嗽、血痰和心包积液。考虑到心包积液是多发性硬化症的非典型肠外并发症,而且患者符合复发性多软骨炎(RP)的诊断标准,因此诊断为多发性硬化症复发并发 RP。患者接受了类固醇治疗,两种疾病都得到了改善。患者开始使用抗肿瘤坏死因子-α抑制剂戈利木单抗(Golimumab)作为治疗慢性阻塞性肺疾病的维持疗法。包括心包积液在内的所有症状都得到了改善。随后,未发现 UC 或 RP 复发。由于仅有少数几例 RP 与 UC 重合的病例被报道,且尚未制定治疗方案,我们认为该病例很有价值,值得发表。
本文章由计算机程序翻译,如有差异,请以英文原文为准。
求助全文
约1分钟内获得全文 求助全文
来源期刊
Biologics : Targets & Therapy
Biologics : Targets & Therapy MEDICINE, RESEARCH & EXPERIMENTAL-
CiteScore
8.30
自引率
0.00%
发文量
22
审稿时长
16 weeks
×
引用
GB/T 7714-2015
复制
MLA
复制
APA
复制
导出至
BibTeX EndNote RefMan NoteFirst NoteExpress
×
提示
您的信息不完整,为了账户安全,请先补充。
现在去补充
×
提示
您因"违规操作"
具体请查看互助需知
我知道了
×
提示
确定
请完成安全验证×
copy
已复制链接
快去分享给好友吧!
我知道了
右上角分享
点击右上角分享
0
联系我们:info@booksci.cn Book学术提供免费学术资源搜索服务,方便国内外学者检索中英文文献。致力于提供最便捷和优质的服务体验。 Copyright © 2023 布克学术 All rights reserved.
京ICP备2023020795号-1
ghs 京公网安备 11010802042870号
Book学术文献互助
Book学术文献互助群
群 号:604180095
Book学术官方微信