Torsion of an Accessory Liver Lobe in a Newborn.

IF 0.7 Q4 SURGERY
European Journal of Pediatric Surgery Reports Pub Date : 2024-01-15 eCollection Date: 2024-01-01 DOI:10.1055/s-0043-1778663
Tobias Krause, Dietmar Cholewa, Benjamin Liniger, Steffen Berger, Milan Milosevic
{"title":"Torsion of an Accessory Liver Lobe in a Newborn.","authors":"Tobias Krause, Dietmar Cholewa, Benjamin Liniger, Steffen Berger, Milan Milosevic","doi":"10.1055/s-0043-1778663","DOIUrl":null,"url":null,"abstract":"<p><p>Accessory liver lobes are rare. We present the rare case of torsion of an accessory liver lobe in a neonate. A 13-day-old newborn presented with failure to thrive and hematemesis without fever. The initial workup with sonography, magnetic resonance imaging, and upper gastrointestinal study was suspicious of a duplication cyst, most likely in the posterior wall of the stomach. Laboratory and radiological findings were not suggesting a choledochal cyst. We performed a laparotomy with resection of the 3.2 × 2.1 × 1.1 cm mass. Intraoperatively, the cystic formation extended from of the liver bed up to the lesser curvature of the stomach. The mass was attached to the left liver lobe with fibrous bands. Histopathology revealed necrotic liver parenchyma with patent viable biliary ducts, indicative of an accessory liver lobe that underwent torsion in the perinatal period. The postoperative course and follow-up (6 months so far) were uneventful. To our knowledge, this is the youngest described patient in the literature with an accessory liver lobe torsion and the second case report concerning this entity in a neonate. It presents an extremely rare differential diagnosis in symptomatic neonates with a cystic mass in the upper abdomen.</p>","PeriodicalId":43204,"journal":{"name":"European Journal of Pediatric Surgery Reports","volume":"12 1","pages":"e7-e10"},"PeriodicalIF":0.7000,"publicationDate":"2024-01-15","publicationTypes":"Journal Article","fieldsOfStudy":null,"isOpenAccess":false,"openAccessPdf":"https://www.ncbi.nlm.nih.gov/pmc/articles/PMC10789581/pdf/","citationCount":"0","resultStr":null,"platform":"Semanticscholar","paperid":null,"PeriodicalName":"European Journal of Pediatric Surgery Reports","FirstCategoryId":"1085","ListUrlMain":"https://doi.org/10.1055/s-0043-1778663","RegionNum":0,"RegionCategory":null,"ArticlePicture":[],"TitleCN":null,"AbstractTextCN":null,"PMCID":null,"EPubDate":"2024/1/1 0:00:00","PubModel":"eCollection","JCR":"Q4","JCRName":"SURGERY","Score":null,"Total":0}
引用次数: 0

Abstract

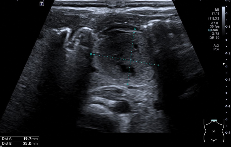
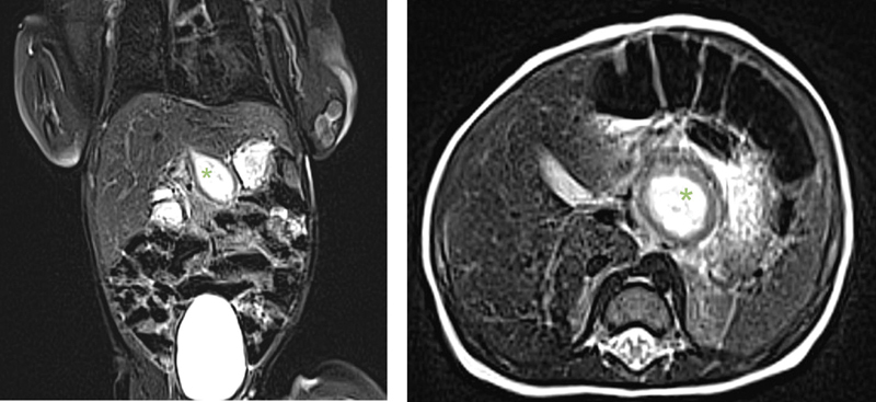
Accessory liver lobes are rare. We present the rare case of torsion of an accessory liver lobe in a neonate. A 13-day-old newborn presented with failure to thrive and hematemesis without fever. The initial workup with sonography, magnetic resonance imaging, and upper gastrointestinal study was suspicious of a duplication cyst, most likely in the posterior wall of the stomach. Laboratory and radiological findings were not suggesting a choledochal cyst. We performed a laparotomy with resection of the 3.2 × 2.1 × 1.1 cm mass. Intraoperatively, the cystic formation extended from of the liver bed up to the lesser curvature of the stomach. The mass was attached to the left liver lobe with fibrous bands. Histopathology revealed necrotic liver parenchyma with patent viable biliary ducts, indicative of an accessory liver lobe that underwent torsion in the perinatal period. The postoperative course and follow-up (6 months so far) were uneventful. To our knowledge, this is the youngest described patient in the literature with an accessory liver lobe torsion and the second case report concerning this entity in a neonate. It presents an extremely rare differential diagnosis in symptomatic neonates with a cystic mass in the upper abdomen.

Abstract Image

Abstract Image

Abstract Image

新生儿附属肝叶扭转
附属肝叶非常罕见。我们介绍了一例新生儿附属肝叶扭转的罕见病例。一名出生 13 天的新生儿因发育不良和吐血而就诊,但没有发烧。通过超声波检查、磁共振成像和上消化道检查,初步怀疑是胃后壁重复囊肿。实验室和放射学检查结果均未提示胆总管囊肿。我们进行了开腹手术,切除了 3.2 × 2.1 × 1.1 厘米的肿块。术中,囊肿从肝床一直延伸到胃小弯。肿块以纤维带与左肝叶相连。组织病理学检查显示,肝脏实质坏死,胆管通畅,表明是围产期发生扭转的附属肝叶。术后过程和随访(至今已有 6 个月)均无大碍。据我们所知,这是文献中描述的最年轻的附属肝叶扭转患者,也是第二例新生儿附属肝叶扭转的病例报告。在上腹部有囊性肿块的无症状新生儿中,这是一种极为罕见的鉴别诊断。
本文章由计算机程序翻译,如有差异,请以英文原文为准。
求助全文
约1分钟内获得全文 求助全文
来源期刊
自引率
33.30%
发文量
39
审稿时长
12 weeks
×
引用
GB/T 7714-2015
复制
MLA
复制
APA
复制
导出至
BibTeX EndNote RefMan NoteFirst NoteExpress
×
提示
您的信息不完整,为了账户安全,请先补充。
现在去补充
×
提示
您因"违规操作"
具体请查看互助需知
我知道了
×
提示
确定
请完成安全验证×
copy
已复制链接
快去分享给好友吧!
我知道了
右上角分享
点击右上角分享
0
联系我们:info@booksci.cn Book学术提供免费学术资源搜索服务,方便国内外学者检索中英文文献。致力于提供最便捷和优质的服务体验。 Copyright © 2023 布克学术 All rights reserved.
京ICP备2023020795号-1
ghs 京公网安备 11010802042870号
Book学术文献互助
Book学术文献互助群
群 号:604180095
Book学术官方微信